Найти в Дзене

Метастазы в грыжевом мешке позвилили диагностировать рак. Редкий случай из практики

Пациентка была госпитализирована в клинику с жалобами на общую слабость, потерю аппетита, ухудшение общего состояния. При компьютерной томографии была выявлена крупная опухоль в поджелудочной железе: размеры опухоли в наибольшем измерении превышали 10 см. Как ни странно, ни желтухи, ни выраженного болевого синдрома у пациентки при этом не было. Для назначения лечения в онкологии обязательным этапом является верификация заболевания, то есть биопсия опухоли с последующим её гистологическим исследованием под микроскопом. Учитывая глубокое расположение опухоли и развитую у пациентки подкожную жировую клетчатку, чрескожная биопсия опухоли поджелудочной представляла из себя трудную и небезопасную задачу. Однако у пациентки имелась довольно крупная грыжа передней брюшной стенки, которая отлично визуализировалась на снимках компьютерной томографии. Содержимое грыжи представляло из себя прядь большого сальника. Удивительным было то, что в грыжевом мешке отчетливо визуализировались два накаплива

Пациентка была госпитализирована в клинику с жалобами на общую слабость, потерю аппетита, ухудшение общего состояния.

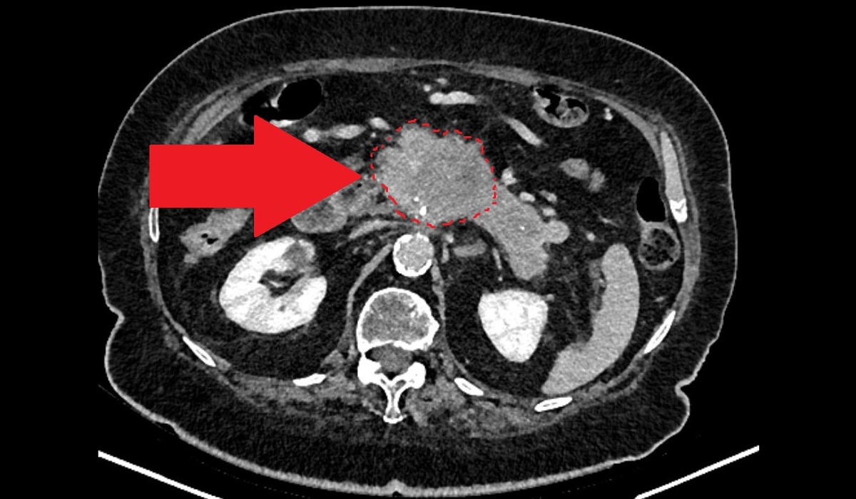
При компьютерной томографии была выявлена крупная опухоль в поджелудочной железе: размеры опухоли в наибольшем измерении превышали 10 см. Как ни странно, ни желтухи, ни выраженного болевого синдрома у пациентки при этом не было.

Вовлечение магистральных сосудов указывает на неоперабельность опухоли, то есть технически такую опухоль удалить невозможно.
Вовлечение магистральных сосудов указывает на неоперабельность опухоли, то есть технически такую опухоль удалить невозможно.
Пунктиром указаны примерные границы опухоли поджелудочной железы.
Пунктиром указаны примерные границы опухоли поджелудочной железы.

Для назначения лечения в онкологии обязательным этапом является верификация заболевания, то есть биопсия опухоли с последующим её гистологическим исследованием под микроскопом. Учитывая глубокое расположение опухоли и развитую у пациентки подкожную жировую клетчатку, чрескожная биопсия опухоли поджелудочной представляла из себя трудную и небезопасную задачу.

Однако у пациентки имелась довольно крупная грыжа передней брюшной стенки, которая отлично визуализировалась на снимках компьютерной томографии.

Сплошными желтыми линиями очерчены грыжевые ворота, желтым пунктиром очерчен грыжевой мешок. Стрелка указывает на грыжу.
Сплошными желтыми линиями очерчены грыжевые ворота, желтым пунктиром очерчен грыжевой мешок. Стрелка указывает на грыжу.

Содержимое грыжи представляло из себя прядь большого сальника. Удивительным было то, что в грыжевом мешке отчетливо визуализировались два накапливающих контраст метастатических очага:

-4

Размеры метастазов были 13 и 14 мм, что позволило без проблем выполнить чрескожную кор-биопсию под контролем УЗИ.

Вот так один из двух метастазов выглядел по УЗИ. Из него и был получен материал для гистологического исследования.
Вот так один из двух метастазов выглядел по УЗИ. Из него и был получен материал для гистологического исследования.

По данным гистологического исследования получен материал злокачественной эпителиальной опухоли:

-6

Для уверенного определения органопринадлежности опухоли потребовалось ИГХ (иммуногистохимическое) - исследование:

-7

По данным иммуногистохимического исследования был верифицирован протоковый рак поджелудочной железы. Выявленная по компьютерной томографии нетипичная находка позволила точно установить диагноз, не подвергая пациентку рискованной биопсии, либо лапароскопическому хирургическому вмешательству.

Также Вам может быть интересно: