Найти в Дзене

Поздние отторжения имплантатов: причины и профилактика

У нас уже вышло две статьи, посвящённые ранним и поздним отторжениям имплантатов. Если вы их ещё не читали — рекомендую начать именно с них. В этой статье мы продолжаем разбирать тему поздних отторжений имплантатов. Всё, о чём пойдёт речь ниже, основано на моём личном клиническом опыте, а также опираемся на опыт нашего хирурга с более чем 20-летней практикой. Помимо периимплантита и периимплантатного мукозита, которые являются наиболее известными причинами позднего отторжения имплантатов, существуют ещё два важных осложнения: Рассмотрим их подробнее. Основная причина расхождения мягких тканей — тонкий биотип десны, то есть бедная слизистая. В таких условиях края десны оказываются в натяжении, и со временем начинают расходиться. На клинических фотографиях хорошо видно, как после установки имплантата происходит рецессия десны. Когда десна уходит, оголяются нижележащие элементы имплантата. Это приводит к присоединению вторичной микрофлоры, развитию местного воспаления, которое со времене
Оглавление

У нас уже вышло две статьи, посвящённые ранним и поздним отторжениям имплантатов. Если вы их ещё не читали — рекомендую начать именно с них.

В этой статье мы продолжаем разбирать тему поздних отторжений имплантатов.

Всё, о чём пойдёт речь ниже, основано на моём личном клиническом опыте, а также опираемся на опыт нашего хирурга с более чем 20-летней практикой.

Причины позднего отторжения имплантатов

Помимо периимплантита и периимплантатного мукозита, которые являются наиболее известными причинами позднего отторжения имплантатов, существуют ещё два важных осложнения:

  • расхождение мягких тканей (десны) вокруг имплантата;
  • маргинальная (краевая) потеря костной ткани.

Рассмотрим их подробнее.

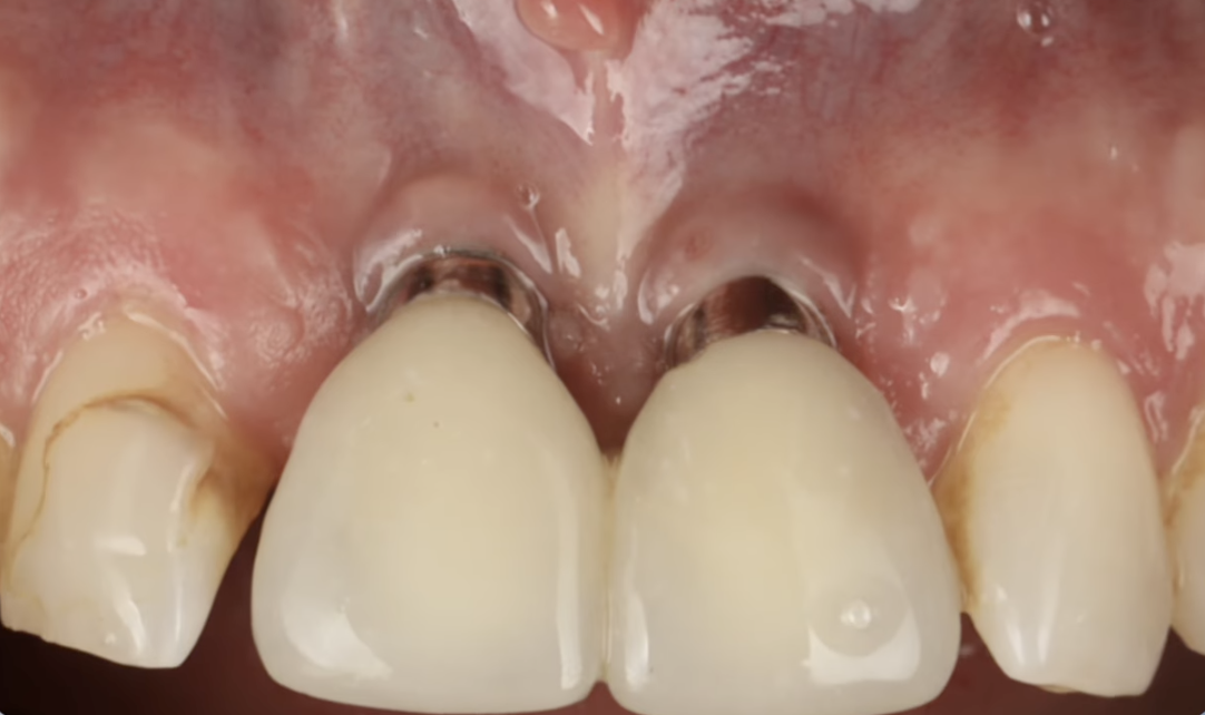
Расхождение десны вокруг имплантата

Основная причина расхождения мягких тканей — тонкий биотип десны, то есть бедная слизистая. В таких условиях края десны оказываются в натяжении, и со временем начинают расходиться.

На клинических фотографиях хорошо видно, как после установки имплантата происходит рецессия десны.

-2

Когда десна уходит, оголяются нижележащие элементы имплантата. Это приводит к присоединению вторичной микрофлоры, развитию местного воспаления, которое со временем переходит на костную ткань и заканчивается формированием периимплантита.

Профилактика

Профилактика достаточно простая:

  • увеличение объёма мягких тканей до имплантации — пересадка фрагмента десны;
  • в ряде случаев — увеличение объёма слизистой одновременно с имплантацией.
-3

Главный принцип — десны вокруг имплантата должно быть достаточно.

-4

Маргинальная потеря костной ткани

Маргинальная потеря — это краевое оседание костной ткани, которая непосредственно прилегает к основанию имплантата.

-5

Тип соединения коронки с имплантатом

Одним из ключевых факторов риска является тип соединения коронки с имплантатом.

Когда коронка выходит непосредственно из основания имплантата, установленного на уровне костной ткани, в зоне соединения формируется микрозазор. В нём могут скапливаться микроорганизмы, вызывающие воспаление и последующую убыль костной ткани.

Профилактика

Существует несколько решений:

1. Смещение соединения коронки и имплантата внутрь — это отодвигает микрозазор от краевой кости.

-6

2. Поднятие основания коронки на 2 мм выше уровня имплантата, чтобы это пространство заняла десна и сформировала более плотный биологический барьер.

-7

3. Использование имплантатов, у которых зона соединения с коронкой изначально выведена на уровень десны — такие решения есть в разных имплантационных системах.

-8

Все эти варианты направлены на снижение риска воспаления и маргинальной потери костной ткани.

Угол выхода коронки

Ещё один важный фактор риска — угол, под которым коронка выходит из имплантата.

  • при угле до 30 градусов риск минимален;
  • при увеличении угла до 40–50 градусов формируется нависающий край, в котором скапливаются остатки пищи и микроорганизмы.
-9

Это приводит к локальному воспалению и ускоренной убыли костной ткани.

Согласно научным данным, при угле выхода коронки более 30–40 градусов риск маргинальной потери костной ткани увеличивается примерно в два раза.

Важно отметить, что это правило не является абсолютным. При использовании имплантатов, у которых зона соединения с коронкой выведена выше уровня костной ткани (например, некоторые линейки Straumann), допускается более выпуклая форма коронки. В ряде случаев это даже улучшает эстетику и формирование мягких тканей.

Неправильное положение имплантата

Неправильное позиционирование имплантата также существенно увеличивает риск маргинальной потери костной ткани. Подробнее этот вопрос разобран во второй статье нашего материала.

Цементная фиксация коронки

В ряде клинических ситуаций невозможно выполнить винтовую фиксацию коронки из-за угла установки имплантата. В таких случаях применяется цементная фиксация с использованием угловых абатментов.

-10

Сам по себе цемент не является проблемой. Основной риск связан с остатками цемента, которые могут оставаться в десневой борозде и вызывать воспаление и убыль костной ткани.

Профилактика

  • обязательный рентгенологический контроль;
  • тщательное удаление остатков цемента после фиксации.

Роль мягких тканей

Бедная слизистая (менее 2 мм десны вокруг имплантата) — самостоятельный фактор риска маргинальной убыли костной ткани.

-11

Современные концепции допускают меньший объём костной ткани вокруг имплантата, но объём десны остаётся критически важным. Поэтому подсадка мягких тканей перед имплантацией — эффективная профилактическая мера.

Бруксизм

Бруксизм — один из самых значимых факторов риска, так как это:

  • усиливает нагрузку на имплантат;
  • провоцирует рассасывание костной ткани;
  • приводит к расшатыванию и потере имплантата.

Систематический обзор, включающий 27 исследований, показывает: у пациентов с бруксизмом риск позднего отторжения имплантатов значительно выше.

Фактор времени

Чем дольше имплантат находится в полости рта, тем выше риск развития осложнений. Это прямая и неизбежная зависимость.

Клинический опыт и статистика

За 20 лет практики у нашего хирурга было всего около 8 случаев отторжения имплантатов: 2 — в раннем периоде, остальные — в позднем.

За 4 года работы нашей клиники зафиксирован всего 1 случай раннего отторжения, история которого разобрана в первой статье.

Такой низкий процент осложнений мы связываем с консервативным подходом и строгим соблюдением протоколов. Если ситуацию можно разделить на этапы ради снижения рисков — мы именно так и поступаем.

Выводы

Современная имплантация — безопасный и предсказуемый метод лечения. При правильном подходе количество осложнений минимально. Имплантация остаётся самым эффективным и физиологичным способом восстановления зубов при их отсутствии.

На этом серия статей, посвящённая имплантации, не заканчивается. В следующем материале я дам чёткий свод правил по профилактике осложнений после имплантации.

Если у вас есть вопросы - переходите и подписывайтесь в наш телеграм-канал. В нём мы публикуем много важной врачебной информации на все темы стоматологии!