Найти в Дзене
Маммолог в Туле

Плотность молочной железы

Что такое высокая плотность молочной железы и почему она так важна для клиницистов. Рентгенологическая плотность молочной железы никак не связана с плотностью железы на ощупь, и не зависит от размеров и формы железы. Она отражает способность железы поглощать рентгенологическое излучение, что влияет на качество, получаемого рентгенографического изображения. Сама железа состоит из трех основных видов тканей, соотношение которых определяет рентгенологическую плотность: Чем больше железистой и соединительной ткани в железе, тем плотнее она выглядит на снимке. BI-RADS (Breast Imaging Reporting and Data System) - стандартизированная система обработки и описания лучевых исследований молочной железы, разработанная Американским Колледжем Радиологии (ACR) Согласно этим рекомендациям, выделяют 4 типа желез, в зависимости от их плотности. Тип C и D принято называть железой высокой плотности, который, как мы видим, встречается у 40-50% женщин. Железа высокой плотности (Тип C и D ACR) способна маск
Оглавление

Что такое высокая плотность молочной железы и почему она так важна для клиницистов.

Рентгенологическая плотность молочной железы никак не связана с плотностью железы на ощупь, и не зависит от размеров и формы железы.

Она отражает способность железы поглощать рентгенологическое излучение, что влияет на качество, получаемого рентгенографического изображения.

Сама железа состоит из трех основных видов тканей, соотношение которых определяет рентгенологическую плотность:

  • жировая ткань - имеет наименьшую плотность и хорошо пропускает рентгеновские лучи,
  • железистая ткань - плотная, состоящая из долек железы и протоков,
  • соединительная (фиброзная) ткань - плотная, поддерживает форму и структуру железы.

Чем больше железистой и соединительной ткани в железе, тем плотнее она выглядит на снимке.

BI-RADS

BI-RADS (Breast Imaging Reporting and Data System) - стандартизированная система обработки и описания лучевых исследований молочной железы, разработанная Американским Колледжем Радиологии (ACR)

Согласно этим рекомендациям, выделяют 4 типа желез, в зависимости от их плотности.

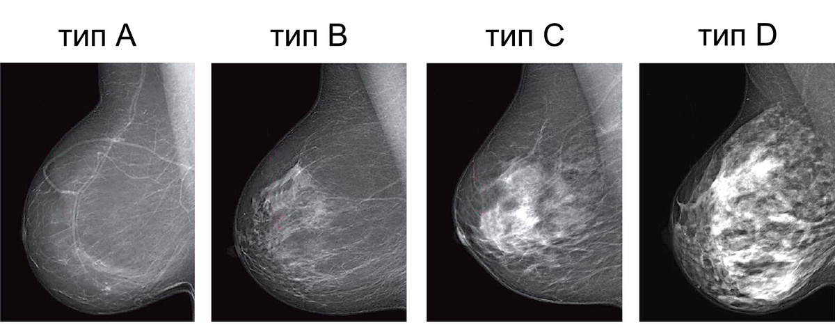
Типы плотности молочных желез ACR
Типы плотности молочных желез ACR
  1. Тип A (около 10% всех женщин) - железа практически полностью представлена жировой тканью.
  2. Тип В (около 40%) - железа состоит из жировой ткани, с разбросанными участками железистой.
  3. Тип C (около 40%) - железа неоднородной плотности
  4. Тип D (около 10%) - очень плотная железа, ткань которой практически полностью поглощает рентгеновское излучение.

Тип C и D принято называть железой высокой плотности, который, как мы видим, встречается у 40-50% женщин.

Почему это важно?

Железа высокой плотности (Тип C и D ACR) способна маскировать наличие опухолевых образований при проведении стандартной рентген-маммографии, используемой для скрининга.

Вероятность пропустить злокачественную опухоль молочной железы на маммографии у пациенток с железой типа A составляет около 2%.

У женщины с железой высокой плотности риск пропуска патологии составляет уже порядка 60%.

Слева стандартный снимок железы высокой плотности. Справа комбинированное изображение этой же железы, полученное с помощью двуэнергетической контрастной маммографии. На снимке отчетливо видно образование, незаметное на стандартной маммографии.
Слева стандартный снимок железы высокой плотности. Справа комбинированное изображение этой же железы, полученное с помощью двуэнергетической контрастной маммографии. На снимке отчетливо видно образование, незаметное на стандартной маммографии.

Кроме того, как показывает статистика, риск развития злокачественного новообразования выше у женщин с высокой плотностью молочной железы.

Что влияет на плотность железы?

Плотность железы зависит от множества факторов, одним из которых является генетически-заложенное соотношение железистой, фиброзной и жировой тканей.

Также на плотность железы влияет возраст пациента. Железа женщин репродуктивного возраста обычно плотнее. Со временем железа подвергается жировой инволюции, особенно после менопаузы.

Заместительная гормональная терапия и использование гормональной контрацепции повышает плотность молочной железы.

На плотность железы влияет беременность, роды и кормление грудью.

Железа нерожавшей женщины имеет максимальную плотность. После каждой беременности и лактации плотность железы снижается.

Поздняя первая беременность также способствует более длительному сохранению высокой рентген-плотности железы.

Употребление алкоголя способствует повышению плотности молочной железы.

Физическая активность напротив снижает рентгенологическую плотность.

-3

Что нужно делать?

Во первых, каждая женщина должна быть информирована о типе плотности её молочной железы. Поэтому крайне важно пройти первую маммографию в возрасте 39 лет для оценки плотности железы и выработки тактики дальнейшего скрининга.

Во вторых, пациентке нужно знать свой персональный уровень риска развития рака молочной железы. Если в вашей семье у близких кровных родственников были случаи рака молочной железы, яичников, предстательной железы или поджелудочной железы в молодом возрасте до 50 лет, случаи двустороннего рака молочной железы, рак молочной железы у мужчины, необходимо обсудить этот вопрос с врачом.

Он может назначить дополнительные обследования на мутации генов BRCA1, BRCA2, PALB и других более редкие мутации.

Пациенткам с высоким риском развития рака молочной железы может понадобится индивидуальный вариант скрининга:

  • проведение ежегодной маммографии до 40 лет
  • более частые скрининговые обследования
  • дополнительные обследования, например УЗИ молочных желез, МРТ молочных желез или рентген-маммография с контрастированием.
  • если вы носитель мутации BRCA1/2, то необходимо рассмотреть вопрос о превентивном хирургическом лечении.

Подробнее о контрастной маммографии можно почитать здесь:

Подробнее о профилактической мастэктомии при наличии мутации генов BRCA1/2 можно почитать здесь: