Найти в Дзене
Маммолог в Туле

Контрастная маммография. Будущее скрининга рака молочной железы?

Проведение скрининговой маммографии позволило снизить смертность от рака молочной железы за последние 10 лет боле чем на 40%. Однако ежегодный рост количества новых случаев заболевания у молодых пациенток на 2% бросает новый вызов для онкологов. Недостаточная чувствительность маммографии у молодых женщин, с высокой плотностью молочной железы, требует разработки новых методов диагностики опухолей. Молочная железа женщины репродуктивного возраста, чаще всего, имеет высокую плотность и неоднородную структуру, что значительно затрудняет диагностику. Железа нерожавшей женщины еще плотнее. После каждой лактации плотность снижается, железа становится более однородной. Поздняя первая беременность и раннее начало месячных способствуют повышению плотности молочной железы. Из-за высокой поглощающей способности такой железы и невозможности создать необходимую компрессию тканей чувствительность маммографии значительно снижается. Возникает вероятность пропустить опухоль. Вероятность выявить зл
Оглавление

Проведение скрининговой маммографии позволило снизить смертность от рака молочной железы за последние 10 лет боле чем на 40%.

Однако ежегодный рост количества новых случаев заболевания у молодых пациенток на 2% бросает новый вызов для онкологов.

Недостаточная чувствительность маммографии у молодых женщин, с высокой плотностью молочной железы, требует разработки новых методов диагностики опухолей.

Особенности строения молочной железы в молодом возрасте

Молочная железа женщины репродуктивного возраста, чаще всего, имеет высокую плотность и неоднородную структуру, что значительно затрудняет диагностику.

Железа нерожавшей женщины еще плотнее. После каждой лактации плотность снижается, железа становится более однородной.

Поздняя первая беременность и раннее начало месячных способствуют повышению плотности молочной железы.

Из-за высокой поглощающей способности такой железы и невозможности создать необходимую компрессию тканей чувствительность маммографии значительно снижается. Возникает вероятность пропустить опухоль.

Вероятность выявить злокачественное образование у пациенток с железой низкой плотности составляет порядка 98%. В случае плотной железы, шанс снижается до 30-40%.

Зачем обследовать железу до 40 лет?

Да, вероятность заболеть раком молочной железы до 40 лет ниже, чем в более старшем возрасте.

Однако из-за роста заболеваемости среди молодых женщин, возникает необходимость обследования пациенток репродуктивного возраста.

Пациентам с высоким риском развития рака молочной железы: с отягощенным семейным анамнезом или с наличием генетических мутаций, скрининг следует начинать раньше положенных 40 лет.

Однако из-за низкой эффективности маммографии, высокого риска пропустить патологию и вероятности ложно-положительного результата, маммографию приходится дополнять другими методами обследования.

Цифровая маммография
Цифровая маммография

Дополнительные методы диагностики

Первый, самый доступный вариант, это УЗИ молочных желез. Метод отлично зарекомендовал себя в диагностике доброкачественной патологии молочных желез.

Однако, кроме положительных сторон УЗИ имеет и ряд недостатков, ограничивающих способность выявлять злокачественную патологию:

  • низкая способность выявлять микрокальцинаты - один из первых признаков рака молочной железы;
  • плохая визуализация глубоких отделов крупных желез;
  • невозможность сравнения желез между собой - иногда ранним признаком опухоли является асимметрия;
  • сильная зависимость от квалификации и опыта врача.

Золотым стандартом диагностики патологии железы высокой плотности является магнитно-резонансная томография (МРТ) с внутривенным контрастированием.

Однако она тоже не лишена недостатков, главным из которых является высокая стоимость и низкая доступность исследования.

Кроме того МРТ способна давать ложно-положительные результаты, что может привести к проведению ненужных биопсий.

Двуэнергетическая контрастная маммография

Для улучшения визуализации опухоли часто применяют исследования с использованием контрастного вещества.

Опухолевые образования, зачастую, обладают развитым кровоснабжением, из-за чего активно накапливают контрастное вещество и становятся хорошо видны на снимке.

Однако, применение стандартного подхода к контрастированию не применимо для маммографии, из-за особенностей техники проведения исследования - необходимости компрессии тканей железы.

Для того чтобы контраст равномерно поступил в ткани приходилось ослаблять компрессию, что приводило к смещению тканей и возникновению различий между контрастным и неконтрастным вариантом изображения. Все это создавало трудности в интерпретации.

Двуэнергетическая контрастная маммография (CEM) объединяет преимущества стандартной маммографии и исследования с контрастированием.

Контраст вводится до проведения компрессии железы, что обеспечивает равномерное поступление вещества во все ткани железы, и не приводит к смещению тканей. А затем делается несколько снимков с разной мощностью излучения.

На низкоэнергетическом изображении (LM) не возникает свечения контраста, поэтому снимок схож с обычной - нативной маммографией. На высокоэнергетическом снимке (HM) становится видно контрастное вещество, накопленное в образованиях.

Затем компьютер суммирует оба снимка с помощью различных алгоритмов, получая объединенное изображение (REI).

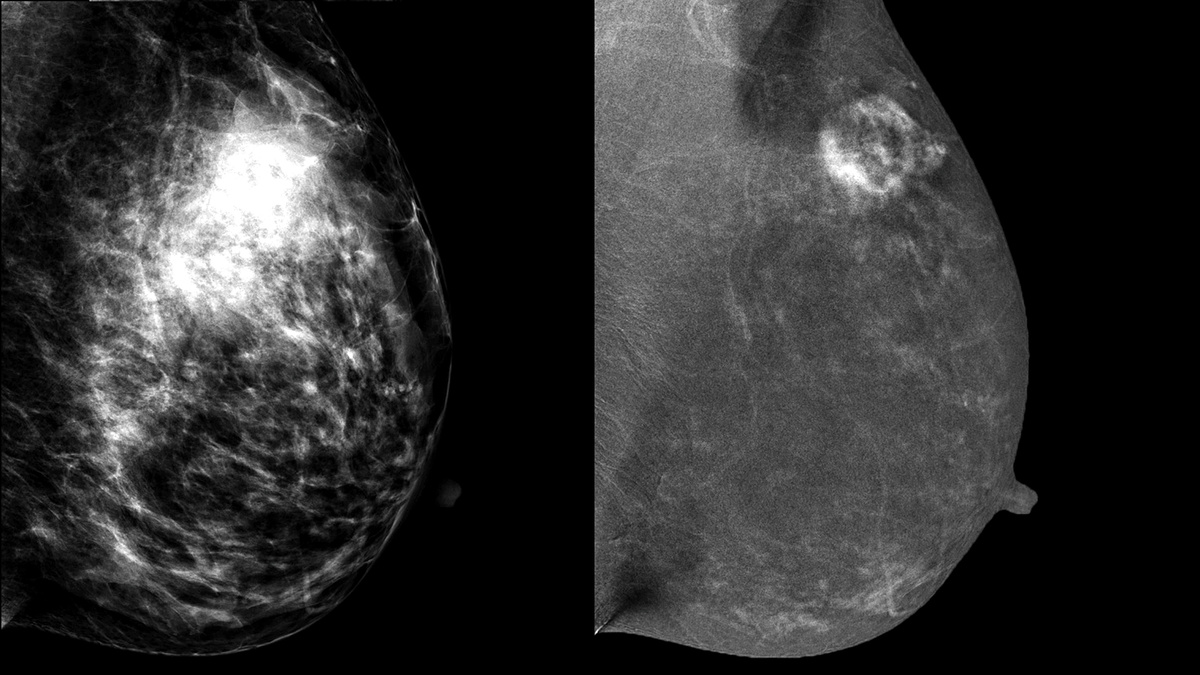
Двуэнергетическая контрастная маммография. Слева "низкоэнергитический" снимок (LM), с очень плотной железистой тканью в верхне-наружном квадранте. Справа объединенный снимок (REI), на котором четко видно образование с неровными толтыми контурами, участками усиления внутри образования. Впоследствии гистологически подтверждена инвазивная протоковая карцинома.
Двуэнергетическая контрастная маммография. Слева "низкоэнергитический" снимок (LM), с очень плотной железистой тканью в верхне-наружном квадранте. Справа объединенный снимок (REI), на котором четко видно образование с неровными толтыми контурами, участками усиления внутри образования. Впоследствии гистологически подтверждена инвазивная протоковая карцинома.

Двуэнергетическая контрастная маммография не лишена своих недостатков.

Самым главным из них является возможность реакции на йодсодержащий контраст. Поэтому исследование невозможно провести у пациентов с аллергией на препараты йода.

Второй - более высокая эффективная дозовая нагрузка, которая впрочем гораздо ниже, чем при проведении РКТ, и не превышает максимально допустимую дозу за год согласно СанПин.

Да, контрастная маммография пока ещё не распространена повсеместно. Однако, само оборудование для проведения исследования дешевле чем для МРТ с контрастированием, что делает маммографию более доступной для медучреждений и пациентов.

А тот факт, что время исследования меньше чем у МРТ и УЗИ, а чувствительность сопоставима с МРТ с контрастированием делает двуэнергетическую контрастную маммографию хорошим выбором для скрининга у молодых пациенток с высоким риском рака молочной железы.

Подробнее про дозовую нагрузку рентгенологических методов исследования можно почитать вот тут: