Добавить в корзинуПозвонить
Найти в Дзене
Parodoctor

Сушёная рыба и год без зуба. Как мы справлялись с имплантационным провалом

Сегодня о неудачах клинических. Осенью 2024 года рассказывала историю о пациентке, сломавшей передний зуб о вкусняшку, рыбка сушёная подвела. Обидно! Молодая, красивая, социально активная и фронтальная единичка, прямо подстава. Для человека этот зуб был ОЧЕНЬ важен. И кто бы знал, что испытания на этом только начинались и то, что должно было быть простым и быстрым, превратилось в проблему, растянувшуюся почти на год. Удалили зуб, установили имплантат, а через 2 недели удалили и его. Интригующее начало, не правда ли? Ага, особенно для живого человека, умеющего расстраиваться и разочаровываться. Молодая женщина рассчитывала на нас и на успех, но жизнь внесла свои коррективы, знатно всех осадив. Когда работаешь с живыми людьми, случается всякое, не всегда рутина наполнена только лишь приятными моментами. Важно думать наперёд и из двух (или большего количества) зол выбирать верный вариант, который меньше всего травмирует психику пациента, у которого будут хорошие и понятные перспективы н
Оглавление

Сегодня о неудачах клинических. Осенью 2024 года рассказывала историю о пациентке, сломавшей передний зуб о вкусняшку, рыбка сушёная подвела. Обидно! Молодая, красивая, социально активная и фронтальная единичка, прямо подстава. Для человека этот зуб был ОЧЕНЬ важен.

И кто бы знал, что испытания на этом только начинались и то, что должно было быть простым и быстрым, превратилось в проблему, растянувшуюся почти на год.

Удалили зуб, установили имплантат, а через 2 недели удалили и его.

Имплантат Straumann после извлечения из кости
Имплантат Straumann после извлечения из кости

Интригующее начало, не правда ли? Ага, особенно для живого человека, умеющего расстраиваться и разочаровываться. Молодая женщина рассчитывала на нас и на успех, но жизнь внесла свои коррективы, знатно всех осадив.

Когда работаешь с живыми людьми, случается всякое, не всегда рутина наполнена только лишь приятными моментами. Важно думать наперёд и из двух (или большего количества) зол выбирать верный вариант, который меньше всего травмирует психику пациента, у которого будут хорошие и понятные перспективы на долгие годы.

Начало:

Удаление имплантата:

Очень кратко суть - почему удалили имплантат в раннем послеоперационном периоде

Удалили имплантат через 2 недели, так как увидели признаки начинающегося периимплантита. Гнойное отделяемое, неприятный привкус во рту отмечала пациентка, припухлость. Доктор разрезал десну, увидел, что пересаженный костный фрагмент в норме, имплантат почти в норме, на КТ (рентген) ещё не появились признаки разрушения костной ткани, окружающей имплантат. Но появились патологические грануляционные ткани в области шейки имплантата. Признак воспаления, организм пытался отгородиться от очага.

Не стали ожидать деструкции кости, убрали имплантат, вычистили грануляции, зашили. Пациентку отправили выращивать (восстанавливать) кость на 3.5-4 месяца. Всё это время она носила капу с имитацией зуба.

Капа, замещающая зуб
Капа, замещающая зуб

В капе нельзя есть и пить можно только воду. Неудобно в долгосрок! Но что тут поделаешь.

Переустановка имплантата по гарантии и сдача коронки

Зимой 2025 года имплантат переустановили по гарантии - такой же Straumann. Десневая пластика прилагалась, фронтальная (да и любая другая, если уж серьёзно) зона очень важна для эстетики улыбки.

Сломалась старая капа, а с новой вышла накладка - техник не сумел её сделать нормально, что удивительно. Пришлось опять заставлять пациентку нервничать и ждать, обращаться к другому специалисту. И этот другой нам в быстром режиме выполнил новую капу, которая села. Фух. Спасибо за терпение.

В июле 2025 года проверили новый имплантат, всё прижилось. Зелёный свет для коронки дан, пациентка направлена к ортопеду.

Прижившийся имплантат 1.1
Прижившийся имплантат 1.1

Тут тоже не с первого раза удача случилась, но хоть со второго успех был за хвост пойман. Ещё раз спасибо за терпение пациентке нашей чудесной.

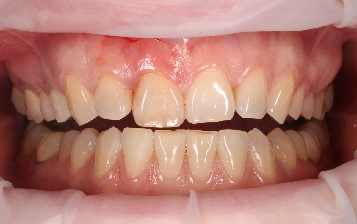
Постоянная коронка на имплантате - 1.1
Постоянная коронка на имплантате - 1.1

Просто счастье, что человек счастлив и можно выкинуть надоевшую капу) Можно пить, есть, кусать и улыбаться во весь рот.

Результат имплантации и протезирования, получилось очень органично
Результат имплантации и протезирования, получилось очень органично

Проверили прилегание коронки, всё ок:

-7

Вывод

Можно было не удалять имплантат, глушить воспаление антибиотиками? Да, конечно. Возможно, добились бы какого-то успеха даже. Но кость уже была затронута, уже не идеальная работа, которая не ясно, как бы проявила себя потом. Надо оно, риски эти? Вроде как нет. Переустановив имплантат, мы получили предсказуемую и качественную работу на долгие годы вперёд. Без всяких "но", без компромиссов.

Цифровые протоколы, шаблоны, современные технологии и оборудование - это всё круто и повышает шансы на то, что и через 15-20 лет пациенты будут ходить с нашими имплантатами, добрым словом вспоминая клинику, доктора, меня. Но от оказий человеческого организма никто не застрахован и бывает всякое. Благо, всё решаемо. Мы не ввязываемся в авантюры, которые не отмотать назад, которые могут погубить кость фатально.

Важно писать о том, что неприживления случаются, что это рабочий момент. Да, плохо, но не нерешаемо. У всех врачей, которые работаю с живыми людьми, случаются неудачи. Но, так же, уверяю - никто никогда осознанно и назло не причинит пациенту вред. Грамотный врач думает наперёд и огромную часть возможных осложнений прорабатывает ещё до оперативного вмешательства, минимизирует риски как ранние, так и поздние.

Но что-то может не получиться. Опять же, довести дело до конца и решить вопрос - задача посильная. Что я и продемонстрировала в статье.

А как бы вы поступили в случае пациентки?

Согласились бы на раннее удаление имплантата или оставили бы первый "болт", надеясь заглушить воспаление?

А, возможно, вообще бы не решились на имплантацию зная, что бывают неудачи?

-----------------------------

Ответы на вопросы, продуктивный и большой блог с адекватными и лояльными подписчиками, истории из практики нашей и других - это всё в моём ТГ канале:

Parodoctor

С уважением, Лежачёва Наталия Александровна, хирург-пародонтолог и главный врач стоматологии Parodent, СПб.