Добавить в корзинуПозвонить
Найти в Дзене

Тихий убийца: что нужно знать об инсульте. Часть вторая – геморрагический инсульт.

По данным Всемирной организации здравоохранения, инсульт занимает третье место, после болезней сердца и онкологических заболеваний, среди причин смерти взрослого населения планеты. О том, что такое геморрагический инсульт головного мозга мы расскажем в данной статье. Болезни системы кровообращения являются ведущей причиной смертности в Российской Федерации (47%), а инсульт является преобладающей причиной инвалидизации населения в нашей стране. По данным Национального регистра инсульта, 31% пациентов, перенесших инсульт, нуждаются в посторонней помощи для ухода за собой, 20% не могут самостоятельно ходить. Лишь 8% выживших больных могут вернуться к прежней работе. В первой части статьи, рассказывающей об ишемическом инсульте, мы также дали определение тому, что такое инсульт в целом: инсульт – это острое нарушение мозгового кровообращения, приводящее к повреждению тканей мозга и неврологическим нарушениям. Выделяют два основных механизма нарушения кровотока в тканях мозга и, соответстве
Оглавление

По данным Всемирной организации здравоохранения, инсульт занимает третье место, после болезней сердца и онкологических заболеваний, среди причин смерти взрослого населения планеты. О том, что такое геморрагический инсульт головного мозга мы расскажем в данной статье.

Болезни системы кровообращения являются ведущей причиной смертности в Российской Федерации (47%), а инсульт является преобладающей причиной инвалидизации населения в нашей стране. По данным Национального регистра инсульта, 31% пациентов, перенесших инсульт, нуждаются в посторонней помощи для ухода за собой, 20% не могут самостоятельно ходить. Лишь 8% выживших больных могут вернуться к прежней работе.

-2

В первой части статьи, рассказывающей об ишемическом инсульте, мы также дали определение тому, что такое инсульт в целом:

инсульт – это острое нарушение мозгового кровообращения, приводящее к повреждению тканей мозга и неврологическим нарушениям.

Выделяют два основных механизма нарушения кровотока в тканях мозга и, соответственно, 2 формы заболевания: геморрагическая и ишемическая.

Ишемический инсульт (инфаркт мозга) – это «голодание» мозга:

· происходит, когда сосуд забивается (тромбом или бляшкой), и кровь перестает поступать;

· клетки мозга гибнут без кислорода, как при инфаркте сердца.

ГЕМОРРАГИЧЕСКИЙ ИНСУЛЬТ

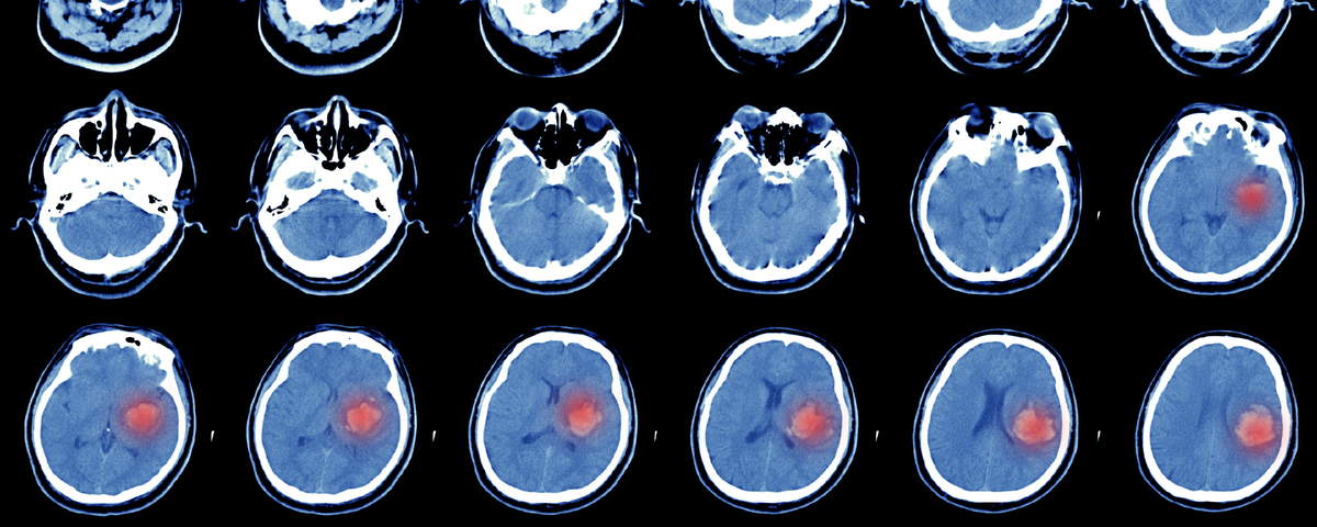
Геморрагический инсульт – это острое нарушение мозгового кровообращения, вызванное разрывом сосуда и кровоизлиянием в мозг. В отличие от ишемического инсульта, при геморрагическом происходит прямое повреждение тканей из-за излившейся крови.

-3

Это наиболее опасный тип инсульта, с высокой летальностью и тяжелыми последствиями. Летальность от геморрагического инсульта достигает 40-50%, а инвалидность развивается у 70-75% выживших.

Геморрагический инсульт составляет 10-15% от всех видов нарушения мозгового кровообращения. Средний возраст пациентов – 60-65 лет. Риск развития геморрагического инсульта значительно повышается после 55 лет и удваивается с каждым последующим десятилетием.

ПРИЧИНЫ И ФАКТОРЫ РИСКА ГЕМОРРАГИЧЕСКОГО ИНСУЛЬТА

-4

Артериальная гипертензия (повышенное давление). Постоянные колебания артериального давления истончают сосудистую стенку, что в итоге может привести к ее полному или частичному разрыву. Если разрыв неполный, кровь проникает через поврежденную стенку в окружающие ткани – это явление называют диапедезным кровоизлиянием.

Патологии сосудов, например, аневризма – выпячивание стенки сосуда вследствие ее истончения.

Возраст старше 60 лет – с годами сосудистые стенки становятся более хрупкими.

У пожилых людей (60 лет и старше) инсульт встречается в 17 раз чаще, чем в возрасте до 45 лет. Доказано, что у женщин инсульты развиваются в более старшем возрасте, чем у мужчин: на 10-20 лет позднее. Инфаркт мозга при атеросклерозе у мужчин встречается примерно на 30% чаще, чем у женщин[1].

Злоупотребление алкоголем. Этанол повреждает печень, где синтезируются ключевые факторы свертывания крови. Их дефицит резко повышает риск кровотечений.

Курение.Под влиянием никотина, окиси углерода и других веществ (всего в дыме содержится больше 3400 соединений) быстро наступают изменения в составе крови. Повышается артериальное давление, увеличивается частота сердечных сокращений. Поскольку курение способствует повышению артериального давления, риск кровоизлияния в мозг у курящих увеличивается в 2,5 раза по сравнению с некурящими.

Наркомания. Психоактивные вещества способны провоцировать резкий сосудистый спазм и скачки давления, что может привести к разрыву сосуда.

Прием антикоагулянтов и тромболитиков, которые снижают свертываемость крови.

Болезни крови, такие как гемофилия, тромбоцитопения (дефицит тромбоцитов), тромбоцитопатия (нарушение функции тромбоцитов при их нормальном уровне), а также антифосфолипидный синдром, способный вызывать мозговые кровоизлияния даже у молодых.

Сахарный диабет. При данном заболевании страдают не только углеводный, но и жировой и белковый обмены, отмечаются аутоиммунные и гормональные сдвиги, изменяются реологические свойства крови, концентрация жизненно важных веществ в организме.

Риск инсульта у мужчин, страдающих сахарным диабетом 2-го типа, в 3 раза, а у женщин в 5 раз выше, чем у тех, у кого не было этого заболевания.

Ожирение играет большую роль в развитии артериальной гипертонии, сахарного диабета, повышения уровня холестерина в крови, которые увеличивают риск острых нарушений мозгового кровообращения.

Наблюдение за некоторыми народами Южной Африки, питающимися в основном просом, рыбой, финиками и орехами, показало, что у них отсутствуют сосудистые заболевания мозга и сердца, определяются нормальное артериальное давление, низкое содержание холестерина в крови. Они остаются физически крепкими и активными до старости.

Малоподвижный образ жизни. Малоподвижный образ жизни изменяет реактивность центральной нервной системы, тонуса сосудов, создает предрасположенность к стрессам. У физически активных людей реже отмечаются сосудистые заболевания мозга.

Эмоциональный стресс – под действием эмоционального стресса изменяются биохимический состав крови, содержание электролитов, возникает кислородное голодание сосудистой стенки с последующими ее изменениями.

Вклад эмоционального стресса в развитие сосудистых заболеваний мозга подтвержден широкомасштабными эпидемиологическими исследованиями, проводившимися в экономически развитых странах мира.

-5

В городах эмоциональный стресс встречается чаще, чем в сельской местности. Чаще, чем у населения в целом, он обнаруживается среди людей, работа которых связана с большим нервным напряжением: у работников связи, журналистов, рабочих шумных цехов, водителей и др. У них же значительно чаще, чем у населения в целом, выявляются артериальная гипертония и ее осложнения. В два раза чаще, чем у рабочих, обнаруживают это заболевание у людей, занимающихся умственным трудом[2].

Травмы головы (ДТП, падения, удары).

Наличие в анамнезе предыдущих нарушений мозгового кровообращения.

Наследственность (семейные случаи аневризм).

СИМПТОМЫ ГЕМОРРАГИЧЕСКОГО ИНСУЛЬТА

-6

Общемозговые признаки (из-за повышения внутричерепного давления):

· внезапная невыносимая головная боль («как удар молнии»);

· тошнота и рвота (без облегчения);

· потеря сознания или кома;

· судороги.

Очаговые неврологические симптомы (зависят от зоны поражения):

· паралич руки/ноги (обычно одной стороны тела);

· нарушение речи (невнятная речь или непонимание слов);

· перекос лица (опущение уголка рта);

· потеря координации, головокружение;

· нарушение зрения (двоение, выпадение полей зрения).

Важно! Диагностика инсульта методом «УДАР»:

  • «У – улыбка»: улыбнуться не получается – лицо перекошено, один уголок рта остается опущенным.
  • «Д – движение»: необходимо одновременно поднять две руки или ноги (в положении лежа). Руки или ноги поднимаются неравномерно – одна конечность сразу опускается или вообще не слушается.
  • «А – артикуляция»: речь становится неразборчивой – слова звучат смазано, будто у человека «каша во рту».
  • «Р – решение»: помните! У врача есть только 4,5 часа, чтобы спасти больного. При обнаружении у человека вышеописанных симптомов следует незамедлительно вызвать скорую помощь (по номеру 103 или 112) и сразу сообщить диспетчеру о выявленных симптомах.
-7
! До приезда скорой помощи:
- уложите больного на горизонтальную поверхность;
- обеспечьте приток свежего воздуха;
- успокойте больного.

ВИДЫ ГЕМОРРАГИЧЕСКОГО ИНСУЛЬТА

· Внутримозговое кровоизлияние (80% случаев)

Кровь изливается непосредственно в ткань мозга, образуя гематому. Чаще всего возникает из-за гипертонии, амилоидоза или сосудистых аномалий.

· Субарахноидальное кровоизлияние (20% случаев)

Кровь попадает в пространство между мозгом и его оболочками. Основная причина – разрыв аневризмы или артериовенозной мальформации (АВМ).

· Другие редкие формы

- Субдуральная и эпидуральная гематомы (обычно связаны с травмами).

- Внутрижелудочковое кровоизлияние (особенно у недоношенных детей).

Осложнения геморрагического инсульта

Геморрагический инсульт может привести к ряду серьезных последствий, как в остром периоде, так и в отдаленном будущем. Среди наиболее опасных осложнений:

· повторные острые нарушения мозгового кровообращения (ОНМК) – риск нового кровоизлияния или ишемии;

· гидроцефалия – избыточное скопление спинномозговой жидкости в мозге из-за нарушения его оттока;

· критическое повреждение ствола мозга – может вызвать нарушение жизненно важных функций (дыхания, сердцебиения).

В зависимости от тяжести инсульта у пациентов могут развиваться постинсультные расстройства:

· когнитивные нарушения (ухудшение памяти, снижение интеллекта);

· психические расстройства (спутанность сознания, депрессия);

· нарушения сна (бессонница, гиперсомния);

· дисфункция тазовых органов (недержание мочи и кала).

Эти симптомы могут проявиться сразу после инсульта или спустя месяцы, а их выраженность зависит от обширности поражения мозга.

Длительное лежачее положение значительно ухудшает прогноз и способствует развитию вторичных патологий:

· тромбоз глубоких вен ног → риск тромбоэмболии легочной артерии (ТЭЛА) → инфаркт легкого;

· инфекции мочевыводящих путей (цистит, пиелонефрит) → при прогрессировании уросепсис – опасное для жизни состояние, при котором инфекция распространяется по всему организму;

· повышается риск застойной пневмонии из-за сниженной вентиляции легких;

· образованию пролежней, особенно в местах постоянного давления;

· могут развиваться контрактуры (стойкое ограничение подвижности) в крупных суставах (особенно уязвимы плечевой и тазобедренный суставы из-за их сложного мышечного строения);

· проблемы с передвижением (ходьбой);

· когнитивные нарушения (ухудшение памяти; нарушения мышления, речевые расстройства);

· дисфагия (нарушение глотания).

Последствия перенесенного инсульта могут также приводить к развитию постинсультной депрессии.

О диагностике и лечении геморрагического инсульта нами будет рассказано в отдельной статье. Обговорим лишь то, что первичной диагностикой инсульта чаще всего занимаются врачи скорой помощи.

-8

В стационаре диагностику и лечение проводит врач-невролог.

ПРОФИЛАКТИКА ГЕМОРРАГИЧЕСКОГО ИНСУЛЬТА

Неблагоприятные исходы геморрагического инсульта еще раз подчеркивают важнейшее значение профилактики заболевания. Основные мероприятия в этом направлении заключаются в раннем выявлении и адекватном медикаментозном лечении больных, страдающих гипертонической болезнью, а также в устранении факторов риска гипертонической болезни и инсульта: курения, сахарного диабета, гиперхолестеринемии и приема больших доз алкоголя. Эти меры уменьшают риск инсульта на 40-50%.

Первичная профилактика направлена на предотвращение первого случая геморрагического инсульта. Ключевые меры включают:

  • коррекцию образа жизни – отказ от курения и злоупотребления алкоголем, регулярную физическую активность, сбалансированное питание;
  • контроль артериального давления – своевременную медикаментозную коррекцию гипертензии под наблюдением врача;
  • регулярное медицинское наблюдение – для пациентов с высоким риском ОНМК обязательны плановые осмотры у терапевта, кардиолога или невролога (частота определяется индивидуально).

Вторичная профилактика применяется у пациентов, перенесших инсульт, и направлена на предотвращение рецидива. Она включает:

  • динамическое наблюдение у невролога, кардиолога и других специалистов;
  • лабораторный и инструментальный мониторинг – анализы крови (включая липидный профиль), мочи, УЗИ сосудов, ЭКГ и другие исследования по показаниям;
  • индивидуальный подбор терапии с учетом степени сосудистых нарушений и сопутствующих заболеваний.

Общие принципы профилактики ОНМК:

-9
  • поддержание целевого уровня артериального давления;
  • коррекция свертываемости крови и липидного обмена;
  • борьба с гиподинамией;
  • хирургические методы (при наличии показаний) – каротидная эндартерэктомия, ангиопластика и стентирование (решение принимается нейрохирургом или сосудистым хирургом).

ПОДВОДЯ ИТОГИ

Геморрагический инсульт остается одной из наиболее тяжелых форм острого нарушения мозгового кровообращения, сопровождающейся высоким риском инвалидизации и летальности. Несмотря на достижения современной медицины в области диагностики и лечения, ключевыми факторами, влияющими на прогноз, остаются своевременность оказания медицинской помощи, точность инструментальной диагностики и комплексность реабилитационных мероприятий.

Профилактика геморрагического инсульта и раннее выявление сосудистых аномалий, играет решающую роль в снижении заболеваемости. Дальнейшие исследования в области нейропротекции, малоинвазивной хирургии и персонализированной реабилитации открывают новые перспективы в улучшении исходов у пациентов с этим тяжелым заболеванием.

Приглашаем Вас присоединиться к нашему каналу в Telegram.