Добавить в корзинуПозвонить
Найти в Дзене

Метастазы в кости: какие опухоли угрожают скелету и можно ли их обнаружить вовремя?

Метастазы в кости — одно из самых тяжелых осложнений онкологических заболеваний. Они возникают, когда раковые клетки из первичной опухоли мигрируют в скелет, разрушая костную ткань и провоцируя мучительные симптомы. По статистике, костные метастазы выявляются у 60-70% пациентов с прогрессирующим раком, а их раннее обнаружение часто становится ключом к сохранению качества жизни. При каких диагнозах это происходит чаще всего? Можно ли распознать угрозу до появления необратимых повреждений? Разберемся в деталях. Практически любой рак способен дать метастазы в скелет, но некоторые опухоли делают это особенно агрессивно: Интересный факт:
Метастазы в кости редко возникают при раке желудка или поджелудочной железы — это связано с биологией опухолей и особенностями их метастазирования. Симптомы зависят от локализации и типа поражения (остеолитическое — разрушение, остеобластическое — уплотнение): Парадокс: У 20% пациентов метастазы в кости обнаруживаются случайно, до появления симптомов, — нап
Оглавление

Метастазы в кости — одно из самых тяжелых осложнений онкологических заболеваний. Они возникают, когда раковые клетки из первичной опухоли мигрируют в скелет, разрушая костную ткань и провоцируя мучительные симптомы. По статистике, костные метастазы выявляются у 60-70% пациентов с прогрессирующим раком, а их раннее обнаружение часто становится ключом к сохранению качества жизни. При каких диагнозах это происходит чаще всего? Можно ли распознать угрозу до появления необратимых повреждений? Разберемся в деталях.

Какие опухоли чаще всего метастазируют в кости?

Практически любой рак способен дать метастазы в скелет, но некоторые опухоли делают это особенно агрессивно:

  1. Рак молочной железы
    65-75%
    пациенток с IV стадией имеют костные метастазы.
    Чаще поражаются позвоночник, таз, ребра и бедренные кости.
  2. Рак предстательной железы
    У 80% мужчин с распространенным процессом обнаруживаются метастазы в кости.
    Характерно остеобластическое поражение (уплотнение костной ткани).
  3. Рак легкого
    30-40%
    случаев сопровождаются костными метастазами.
    Опасны быстрым разрушением костей и высоким риском переломов.
  4. Рак почки и щитовидной железы
    Дают «отсроченные» метастазы — иногда через годы после удаления первичной опухоли.

Интересный факт:
Метастазы в кости редко возникают при раке желудка или поджелудочной железы — это связано с биологией опухолей и особенностями их метастазирования.

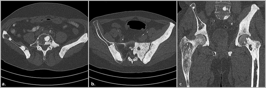
Как проявляются метастазы в кости: тревожные сигналы

Симптомы зависят от локализации и типа поражения (остеолитическое — разрушение, остеобластическое — уплотнение):

  • Боль. Усиливается ночью и при движении.
  • Патологические переломы. Кости ломаются при минимальной нагрузке (например, поворот в кровати).
  • Компрессия спинного мозга. При поражении позвоночника — онемение конечностей, паралич.

Парадокс: У 20% пациентов метастазы в кости обнаруживаются случайно, до появления симптомов, — например, при ПЭТ-КТ в рамках планового обследования.

Справа - литический метастаз в позвонке
Справа - литический метастаз в позвонке

Можно ли выявить метастазы в кости на ранней стадии?

Ранняя диагностика сложна, но возможна. Современные методы:

  1. Сцинтиграфия костей (остеосцинтиграфия)
    «Золотой стандарт» скрининга. Выявляет аномальные участки накопления радиофармпрепарата.
    Недостаток: Низкая специфичность — воспаление или травма тоже дают сигнал.
  2. ПЭТ-КТ с радиофармпрепаратами (например, 18F-фтордезоксиглюкоза)
    Показывает метаболически активные очаги.
  3. Анализ крови на маркеры
    Щелочная фосфатаза, кальций:
    повышены при разрушении кости.
    TRAP 5b (тартрат-резистентная кислая фосфатаза): в ряде исследований описывается как специфичный маркер костной резорбции.

Важно! Пациентам с первичными опухолями, склонными к костному метастазированию, рекомендуется проходить обследование каждые 6-12 месяцев, даже при отсутствии жалоб.

Сцинтиграфия костей
Сцинтиграфия костей

Лечение: как защитить кости и улучшить прогноз

Терапия направлена на:

  • Уменьшение боли.
  • Предотвращение переломов.
  • Контроль роста метастазов.

Основные методы ( названия конкретных препаратов на данной площадке указывать нельзя):

  1. Бисфосфонаты
    Подавляют разрушение кости. Снижают риск переломов на 30-50%.
  2. Моноклональные антитела
    Моноклональное антитело блокирует остеокласты. Эффективнее бисфосфонатов при метастатическом раке.
  3. Лучевая терапия
    Купирует боль в 70-90% случаев. Используется при локальных поражениях.
  4. Радиофармпрепараты
    При раке простаты: накапливаются в костях, уничтожая метастазы изнутри.
  5. Хирургия
    Стабилизация переломов титановыми пластинами, вертебропластика при разрушении позвонков.

Заключение

Даже при запущенном раке есть методы, которые помогут вам оставаться активными. Современная онкология учится не только продлевать жизнь, но и делать ее полноценной. Метастазы в кости — это не конец пути, а новый этап борьбы. И на этом этапе важна каждая деталь: от точной диагностики до правильно подобранного обезболивания. Не стесняйтесь задавать вопросы и требовать внимания к вашему состоянию.

Здоровья Вам и вашим близким!

Поддержать автора можно по этой кнопке.

Подписывайтесь на мой Telegram канал, чтобы узнавать еще больше полезной информации.