Добавить в корзинуПозвонить
Найти в Дзене
Клиники Президент

Зубной камень: почему появляется, эффективные способы удаления, можно ли убрать камни самостоятельно

По данным Всемирной организации здравоохранения, зубной камень встречается у большинства людей после формирования постоянного прикуса. Примерно 90% взрослого населения планеты, независимо от пола, страдают от заболеваний десен, связанных с образованием зубного камня. [1] Материал подготовлен при участии Соснина Евгения Игоревича, стоматолога терапевта-ортопеда клиники ПрезиДЕНТ в Новогиреево, специалиста по лечению всех видов кариеса и других заболеваний полости рта. Зубной камень — твердый налет, который образуется на поверхности зубов. Он формируется из налета — мягкого биопленочного образования, состоящего из бактерий, остатков пищи и слюны. Этот процесс начинается с момента, когда налет не удаляется с поверхности зубов. Зубной камень классифицируется по месту локализации: Если камень находится под десной, то патология является признаком развития пародонтита и может быть связана с разрушением костной ткани зуба. Часто его диагностируют при проведении пародонтологических операций или
Оглавление

По данным Всемирной организации здравоохранения, зубной камень встречается у большинства людей после формирования постоянного прикуса. Примерно 90% взрослого населения планеты, независимо от пола, страдают от заболеваний десен, связанных с образованием зубного камня. [1]

Материал подготовлен при участии Соснина Евгения Игоревича, стоматолога терапевта-ортопеда клиники ПрезиДЕНТ в Новогиреево, специалиста по лечению всех видов кариеса и других заболеваний полости рта.

-2

Что такое зубной камень и каким он бывает

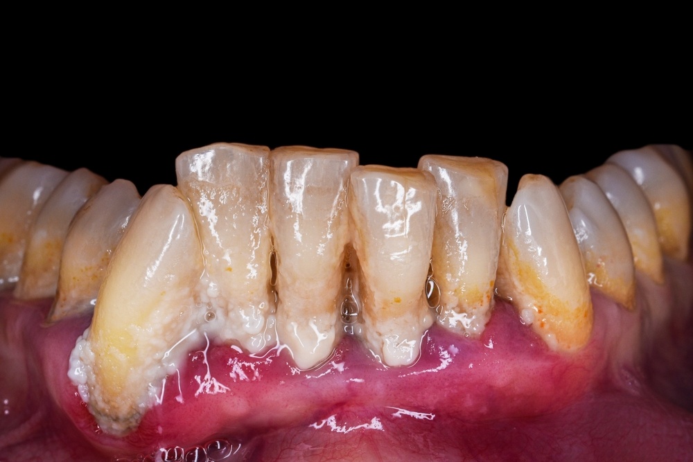
Зубной камень — твердый налет, который образуется на поверхности зубов. Он формируется из налета — мягкого биопленочного образования, состоящего из бактерий, остатков пищи и слюны. Этот процесс начинается с момента, когда налет не удаляется с поверхности зубов.

Зубной камень классифицируется по месту локализации:

  • Наддесневой. Образуется выше уровня десны и заметен сразу, даже при обычном осмотре зубов. Цвет налета: темный или с желтым оттенком.
  • Поддесневой. Не виден при осмотре и локализуется ниже уровня десны. Среди основных симптомов — синюшный цвет, отечность и кровоточивость десны.
Если камень находится под десной, то патология является признаком развития пародонтита и может быть связана с разрушением костной ткани зуба. Часто его диагностируют при проведении пародонтологических операций или при зондировании пародонтальных карманов.

Почему появляется зубной камень

Как мы уже говорили, камень — затвердевший зубной налет, счистить который можно только с помощью зубной щетки или нити. Сделать это необходимо в течение первых 72 часов (периода минерализации). Поэтому первой и основной причиной образования налета является недостаточный уход за полостью рта.

К другим причинам относят:

Питание

Употребление продуктов с высоким содержанием сахара и углеводов влияет на рост бактерий в полости рта, что увеличивает вероятность образования налета и, как следствие, зубного камня [2]. Кислые продукты также могут ускорять процесс минерализации.

Генетический фактор

Существуют исследования, которые показывают, что предрасположенность к образованию зубного камня может быть связана с генетикой. Некоторые генетические особенности влияют на состав слюны, уровень минералов и микробиом полости рта, что в свою очередь способствует образованию зубного камня.

Сухость во рту

Сухость во рту (в научном мире, ксеростомия) может привести к уменьшению слюноотделения, что затрудняет естественное очищение зубов от налета [4]. Это может быть вызвано различными факторами, включая прием некоторых лекарств.

Курение

Курение, как и любые вредные привычки, негативно влияет на здоровье десен и полости рта, а также может способствовать образованию зубного камня. Никотин уменьшает приток крови к тканям десен, что ухудшает их состояние. [3]

Какие заболевания может вызвать зубной камень

Если зубной камень уже образовался (а вы еще не дошли до стоматолога), то надо быть готовым к последствиям и развитию ряда заболеваний полости рта и организма в целом.

  • Гингивит и пародонтит

Зубной камень является источником хронического воспаления десен, что может привести к гингивиту — воспалению десен, сопровождающемуся кровоточивостью и болезненностью. А если не лечить, гингивит превращается в пародонтит — более серьезное заболевание, которое порой приводит к потере зубов [5].

-3
  • Кариес

Наличие зубного камня создает благоприятную среду для размножения бактерий, что кратно увеличивает риск развития кариеса. Бактерии выделяют кислоты, которые разрушают зубную эмаль.

Можно ли вычистить зубной камень самостоятельно?

Если отвечать коротко — нет! Именно камень в домашних условиях убрать невозможно. Вы можете найти народные способы, но лучше к ним не прибегать, ведь есть вероятность навредить эмали и деснам. Необходимо сразу обращаться к специалисту, который проведет профессиональную гигиену без вреда для полости рта.

Эффективные способы удаления зубного камня

Вот мы и добрались до вопроса: «Как же стоматолог удаляет зубной камень?» Есть два варианта, как проходит гигиена в клинике.

-4

Ультразвуковая чистка — против сильных отложений

Стоматолог использует ультразвуковой прибор со специальным наконечником.

Инструмент с помощью колебаний открепляет твердые отложения от эмали. Одновременно на кончик насадки подается вода с антисептиком, которые смывают разрушенные частицы зубного камня. После ультразвуковой чистки врач полирует и фторирует эмаль.

Немного о пользе ультразвука. Он дополнительно борется с микробами, что особенно важно для пациентов, у которых есть проблемы с деснами.

Air Flow — от мелких кусочков камня

Под высоким давлением на поверхность зубов распыляется водо-воздушная смесь с абразивными частичками, которая бережно разрушает отложения.

Лечение зубного камня методом Air Flow никак не вредит зубной эмали. Процедура приносит меньше неудобств пациенту по сравнению с ультразвуковой.

Важно понимать, что это лишь некоторые этапы профессиональной гигиены, которую проводят в стоматологической клинике. Однако удаление зубного камня можно считать основным.

Профилактика: что поможет предотвратить образование зубного камня

Сразу после гигиены вам будет нравиться отражение улыбки в зеркале, поэтому нужно придерживаться ряда правил, чтобы предупредить образование налета и камня в будущем.

Не забудьте сделать еще одно важное действие после профессиональной гигиены — заменить зубную щетку. Иначе старые бактерии окажутся на чистых зубках.

Домашняя гигиена. Чистить зубы нужно 2 раза в день по 2–3 минуты. Пользуйтесь зубной нитью или ершиком для межзубных промежутков. И конечно же, чистите язык (на нем скапливается много бактерий).

Еще важно регулярно менять зубную щетку — раз в 3 месяца, при необходимости можно чаще.

Как правильно ухаживать за полостью рта
Как правильно ухаживать за полостью рта
Также необходимо грамотно подобрать средства по уходу за полостью рта. Лучше всего сделать это вместе со стоматологом.

Пройдите лечение у ортодонта. Если у вас есть скученность зубов, то вероятность появления зубного камня растет, потому что гораздо сложнее поддерживать гигиену на должном уровне.

Добавьте в свой рацион больше твердой пищи. Если в качестве перекусов в вашем меню будут яблоки или морковь, то вы сможете удалить налет естественным путем до того момента, как он затвердеет.

Сократите в рационе количество быстрых углеводов — сладости, выпечку и газировки. Такое меню очень любят бактерии.

Устраните все, что может повлиять на состав слюны. Если он изменяется, то слюна перестает нейтрализовать выделяемую бактериями кислоту. На состав слюны влияют: антибиотики, сахарный диабет, гормональные нарушения, курение.

Канцерогены из табачного дыма оседают на эмали, вследствие чего быстро образуется твердая бактериальная бляшка.

Большая часть причин изменения состава слюны кроется в проблемах со здоровьем, поэтому не лишним будет пройти обследование.

Профгигиена раз в 6 месяцев

Следует прислушаться к рекомендации стоматологов и проходить профессиональную гигиену полости рта раз в полгода. Это отличная профилактика не только образования камня, но и других стоматологических заболеваний. Если вы носите брекеты, имеете проблемы с прикусом или у вас есть вредные привычки (например, курение), то стоит бывать у гигиениста чаще — раз в 3 месяца.

-6

Источники:

  1. World Health Organization [Электронный ресурс]. Режим доступа: https://www.who.int/health-topics/oral-health
  2. Dietary factors and dental caries. [Электронный ресурс]. Режим доступа: https://www.ncbi.nlm.nih.gov/pmc/articles/PMC2862385/
  3. Independent and combined effects of smoking, drinking and depression on periodontal disease [Электронный ресурс]. Режим доступа: https://bmcoralhealth.biomedcentral.com/articles/10.1186/s12903-024-04287-6
  4. Salivary flow patterns and the health of hard and soft oral tissues [Электронный ресурс]. Режим доступа: https://jada.ada.org/article/S0002-8177(14)63878-2/fulltext
  5. The Relationship Between Periodontitis and Systemic Diseases – Hype or Hope? [Электронный ресурс]. Режим доступа: https://www.ncbi.nlm.nih.gov/pmc/articles/PMC3644469/

Больше полезных материалов

Записывайтесь на консультацию в сеть стоматологических клиник ПрезиДЕНТ
по номеру +7 (499) 290-17-32 или
на сайте.