Добавить в корзинуПозвонить
Найти в Дзене
Parodoctor

А у вас точно оголены корни зубов? Учимся чётко видеть проблему и избегать ошибок

"Пришейте мне десну, всё очень плохо и уже давно!" - говорит мне пациентка. А давайте. Я оперирую рецессии по запросу пациента, а запрос имеется самый что ни на есть серьёзный. Но, для начала - присаживайтесь в кресло, открывайте рот, посмотрим. Смотрю - а ничего нет странного, страшного, срочного. Хорошие десны, хорошие зубы. Интересуюсь, по какому поводу паника? Откуда мысли взялись о неполноценности? "На профгигиене сказали. Каждый год гигиенист твердит - корни оголяются, надо делать пластику. Вот номер хирурга имеется даже. Только он в отпуске оказался, поэтому родственники посоветовали обратиться к Вам. Дело срочное, скоро уезжать в другую страну". Тот момент, что все срочные дела нужно обязательно решать в авральном режиме перед поездкой в дальние дали, пропустим мимо. Бывает у людей, бывало и будет бывать. Но я точно могу отличить оголённые корни зубов от тех, что сидят себе тихонько на своих законных местах, прикрывшись десной. И хочу вам рассказать и показать, что есть па
Оглавление

"Пришейте мне десну, всё очень плохо и уже давно!" - говорит мне пациентка.

А давайте. Я оперирую рецессии по запросу пациента, а запрос имеется самый что ни на есть серьёзный.

Но, для начала - присаживайтесь в кресло, открывайте рот, посмотрим. Смотрю - а ничего нет странного, страшного, срочного. Хорошие десны, хорошие зубы.

Интересуюсь, по какому поводу паника? Откуда мысли взялись о неполноценности?

"На профгигиене сказали. Каждый год гигиенист твердит - корни оголяются, надо делать пластику. Вот номер хирурга имеется даже. Только он в отпуске оказался, поэтому родственники посоветовали обратиться к Вам. Дело срочное, скоро уезжать в другую страну".

Тот момент, что все срочные дела нужно обязательно решать в авральном режиме перед поездкой в дальние дали, пропустим мимо. Бывает у людей, бывало и будет бывать.

Но я точно могу отличить оголённые корни зубов от тех, что сидят себе тихонько на своих законных местах, прикрывшись десной.

И хочу вам рассказать и показать, что есть патология, что бы вы не оказались в ситуации, в которой оказалась моя пациентка.

Так же имейте в виду, что сама по себе каноничная рецессия не столь ужасна, как её "малюют".

Зубы не выпадут.

Это всё, что нужно знать многим. Это главная "пугалка". При классической рецессии невоспалительного происхождения рисков практически нет.

Неприятности реальные:

  • страдает эстетика - некрасиво;
  • повышенная чувствительность - болит.

Ну и, если планируется большая комплексная работа, то рецессии могут стать камнем преткновения в достижении достойного результата. Представьте - эстетичные виниры или коронки на зубах с оголёнными корнями. Так себе картинка.

Если вас всё устраивает в своих зубах с оголёнными корнями, то можете сильно не переживать. Повторюсь - не выпадут.

Однако, рецессия не является самостоятельным заболеванием. Она всегда показывает на то, что где-то что-то идёт не так. Что есть проблемы посерьёзнее. Важно вовремя обнаружить "корень зла" и не допустить развития более грозного осложнения.

Что может быть первопричиной:

  1. перегрузка пародонта вследствие неправильного прикуса;
  2. перегрузка пародонта вследствие отсутствия зубов;
  3. нависающие края пломб и коронок;
  4. чрезмерное увлечение жёсткими щётками. Хотя и щётку с щетиной средней жёсткости можно использовать как "оружие массового поражения" эмали;
  5. зубные отложения - камни;
  6. пародонтит - отдельная тема и рецессии тут опасны, характер их воспалительный. «Уходит» кость на фоне развития воспаления. Проявление - кровоточивость десен, отек и гиперемия их, иногда гнойное или серозно-гнойное отделяемое, подвижность зубов. При классических рецессиях десны не отличаются от нормальных, зубы твердо «сидят» в кости.

Кстати, могла о чём-то забыть. Но эти причины самые существенные и встречаются чаще всего. Причём, сразу несколько пунктов в одной полости рта - явление не редкое.

Так что же такое - оголённый корень? Как его отличить от нормального?

Перейдём к наглядному пособию и точно научимся узнавать рецессии.

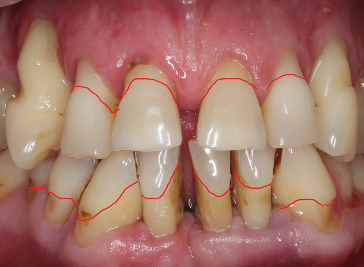
Оголённые корни зубов на верхней челюсти.
Оголённые корни зубов на верхней челюсти.

Я провела линии, разграничивающие норму и патологию. Об этом случае можно почитать вот тут.

Зуб, упрощённо, состоит из эмали (над десной) и корня, покрытого цементом (под десной). Линия, разделяющая эмаль/корень называется ЦЭС - цементно-эмалевое соединение.

ЦЭС без обмана нам показывает способ лечения пациента - либо реставрация (пломба/винир/коронка), либо пластическая операция.

  • Корни НЕЛЬЗЯ пломбировать - ситуация усугубится.
  • Эмаль не покроешь лоскутом, он не прирастёт к ней.

Просто? Очень просто.

Теперь стоит лишь научится видеть этот раздел.

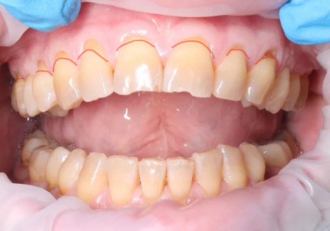
Простой пример - рецессии вследствие хронического генерализованного пародонтита. Причина - бактериальная биопленка (поддесневые зубные отложения) и реакция организма в виде воспаления, деструкции костной ткани.

Рецессии.
Рецессии.

Зато чётко ведь видно, где эмаль а где корень?

А тут прямо таки можно увидеть линию раздела.
А тут прямо таки можно увидеть линию раздела.

Если приглядеться, можно увидеть линию, разделяющую две зоны. Эмаль - светлее, более гладкая и лучше блестит.

Рецессии вследствие перегрузки пародонта из-за неправильного прикуса.
Рецессии вследствие перегрузки пародонта из-за неправильного прикуса.

Снова - эмаль явно светлее. Чётко видно границу раздела. Межзубные сосочки и кость сохранны - это не пародонтит.

Случай посложнее.

Рецессии из-за отсутствия зубов. Красными стрелками обозначена пломба, установленная на корень.
Рецессии из-за отсутствия зубов. Красными стрелками обозначена пломба, установленная на корень.

Фронтальные зубы (передние) испытывают чрезмерную нагрузку из-за отсутствия зубов жевательной группы. Получаем оголение корней. Так же из-за чрезмерной нагрузки зубы «расползаются», выдвигаются вперед, расходятся веером. Можно спутать с пародонтитом. Да и, в общем и целом, инфекция присоединяется не редко.

Часто можно увидеть утолщение слизистой оболочки в той зоне десны, которая прилежит к оголённому корню.
Рецессия невоспалительного генеза.
Рецессия невоспалительного генеза.

Заметьте, утолщение имеется именно у зубов с рецессией десны. На скане ниже тенденция сохранена. Ну и хорошо видно разделение между эмалью и цементом корня.

Кость сохранна, рецессия невоспалительного характера.
Кость сохранна, рецессия невоспалительного характера.

Ещё часто пациенты путают клиновидные дефекты и рецессии. Эту тему будем разбирать отдельно, но вот пример сочетания рецессий и клиновидных дефектов покажу сейчас.

Клиновидные дефекты + рецессии. Ну и пародонтит - смертельный приговор в данном случае зубам выписывает он.
Клиновидные дефекты + рецессии. Ну и пародонтит - смертельный приговор в данном случае зубам выписывает он.

Клиновидный дефект (именно дефект в виде клиновидного углубления, ощущается зрительно и мануально) - некариозное поражение твёрдых тканей зубов, встречающееся как в зоне корня, так и в зоне эмали. А, часто, на границе раздела - захватывая и то, и другое. В таком случае терапевт восстанавливает пломбировочным материалом коронковую часть зуба (до ЦЭС), а хирург-пародонтолог делает пластическую операцию и закрывает корень с клиновидным дефектом нёбным трансплантатом. То, что мы видим на скане выше - терминальная стадия, такое никакой пластикой не закрыть.

Так же плохая идея закрывать пломбировочным материалом зону, относящуюся к корню. Как уже писала, это проблему усугубит в перспективе.
Рецессии закрыты пломбировочным материалом. Невоспалительный генез заболевания.
Рецессии закрыты пломбировочным материалом. Невоспалительный генез заболевания.

На скане выше снова видим слизистые валики - бактерии в этой зоне не успокоятся из-за краёв реставраций (пломб) и рецессии продолжат своё развитие. Корни оголятся ещё больше.

А вот пример, не позволяющий хирургу провести полноценную имплантацию. Статья с разбором уже была, можете почитать тут.

Пломба на корне.
Пломба на корне.
Пломбу убрали.
Пломбу убрали.
Пластика.
Пластика.

Ну и, напоследок, металлокерамические коронки. Вроде ничего этакого.

Металлокерамические коронки. Пародонтита тут нет!
Металлокерамические коронки. Пародонтита тут нет!

Но стоит взглянуть с другого ракурса и видим рецессии. Так называемые нависающие края привели к подобной патологии (ну и отсутствие жевательных зубов, несомненно). Очень часто встречаются при восстановлении зубов металлокерамикой.

Рецессии.
Рецессии.

Надеюсь, теперь вы сможете отличить проблему от нормы и знаете, что нужно делать, если заметили у себя нечто подобное.

Краткая выжимка по лечению:

  • рецессии невоспалительного характера - либо не трогаем вовсе, либо пластическая операция;
  • рецессии воспалительного характера (пародонтит - самый плохой прогноз) - лечим основное заболевание и оцениваем ситуацию. При убыли кости в межзубных пространствах (3-4 класс по классификации Миллера) - рецессии не закрыть;
  • зона эмали - пломба, коронка, винир.

А, если что-то осталось в серой зоне, задавайте вопросы в комментариях.

Пациентку, о которой шла речь в самом начале статьи, я отпустила - предварительно всё рассказав и показав. Она, увидя что проблемы и впрямь нет, убежала в радости.

Всем верных решений и качественной диагностики.

С уважением, Лежачёва Наталия Александровна, главный врач, хирург-пародонтолог стоматологии Parodent, Санкт-Петербург.