Добавить в корзинуПозвонить
Найти в Дзене
Parodoctor

Само не нарастет. Только резать.

Оголение корней штука неприятная. Но только лишь для тех, кто по этому поводу «парится»: чувствительность зубов появилась или просто не устраивает такая вот эстетика. В других случаях пациента такая проблема беспокоит мало. Беспокоятся доктора, которые его наблюдают😬😁 И зря делают. Все эти страшилки про «выпадет» зуб, сгниет корень, мывсеумрем хоть и имеют под собой почву, но такие случаи настолько единичны, что можно их игнорировать. Если пациент говорит, что его ничего не беспокоит - оставьте его в покое. В случае с рецессиями лучше так и поступить. Конечно, если планируется какое-то дальнейшее комплексное, дорогое лечение с тотальной ортопедией, ортодонтией и важна каждая деталь - беремся за дело. Кто мы такие, что бы портить всю картину😁 Что же делать, если рецессии жить не дают? Не паниковать, найти несколько клиник и докторов и отправляться в путь - собирать мнения, смотреть портфолио, слушать в оба уха и мотать на ус. Разберем клинический случай из моей практики. Пациентк
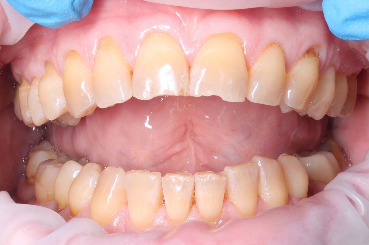
Невооруженным глазом видны рецесси десны (оголение корней).
Невооруженным глазом видны рецесси десны (оголение корней).

Оголение корней штука неприятная. Но только лишь для тех, кто по этому поводу «парится»: чувствительность зубов появилась или просто не устраивает такая вот эстетика.

В других случаях пациента такая проблема беспокоит мало. Беспокоятся доктора, которые его наблюдают😬😁

И зря делают. Все эти страшилки про «выпадет» зуб, сгниет корень, мывсеумрем хоть и имеют под собой почву, но такие случаи настолько единичны, что можно их игнорировать.

Если пациент говорит, что его ничего не беспокоит - оставьте его в покое. В случае с рецессиями лучше так и поступить. Конечно, если планируется какое-то дальнейшее комплексное, дорогое лечение с тотальной ортопедией, ортодонтией и важна каждая деталь - беремся за дело. Кто мы такие, что бы портить всю картину😁

Что же делать, если рецессии жить не дают?

Не паниковать, найти несколько клиник и докторов и отправляться в путь - собирать мнения, смотреть портфолио, слушать в оба уха и мотать на ус.

Разберем клинический случай из моей практики.

Пациентка планирует установку виниров на верхние фронтальные 5 зубов. С ортопедом они приходят ко мне и просят подсобить в этом хорошем деле.

Не могу отказать.

То, что хотели закрыть ортопед с пациенткой.
То, что хотели закрыть ортопед с пациенткой.

Но расширяю зону своей работы. Решаем оперировать всю челюсть в 2 этапа.

Да, лечение оперативное. Если вкратце - берём лоскут с нёба, пришиваем к оголенным корням😵‍💫

Защитная капа для донорской зоны - нёба. Можно перекрывать всё нёбо, можно частично.
Защитная капа для донорской зоны - нёба. Можно перекрывать всё нёбо, можно частично.

Для начала изготавливаем защитную капу на нёбо. Она будет создавать давление на донорский участок, препятствовать кровотечению, защищать от травмы при приеме пищи.

Через 2 недели снимаем швы.

Выглядит уже симпатично)
Выглядит уже симпатично)
Вид нёба через 2 недели после операции. Ничего не болит, всё хорошо.
Вид нёба через 2 недели после операции. Ничего не болит, всё хорошо.

Через 3 месяца прооперировали другую сторону.

Сняли швы.
Сняли швы.

Фотографировала на телефон. Прошу простить за качество.

Как итог - пациентка очень довольна. Оказывается, она не призналась изначально, что были большие проблемы с чувствительностью зубов. Человек не верил, что операция поможет, все затевалось только ради эстетики.

А тут такой неожиданный бонус.

Впереди виниры и, можно сказать, новая жизнь😉

До и после снятия швов (2 недели).
До и после снятия швов (2 недели).

#рецессии