Добавить в корзинуПозвонить
Найти в Дзене
В мире медицины

Синдром Уилки: как артерия может сдавить часть кишки

Развитию данного синдрома чаще подвержены худые девушки и подростки. Верхняя брыжеечная артерия при определенных условиях может формировать "пинцет" для двенадцатиперстной кишки, а приведет это к ее непроходимости. Верхняя мезентериальная артерия в месте отхождения от брюшной аорты образует угол, величина которого в норме составляет от 25°до 60°. При синдроме верхней мезентериальной артерии (СВМА) или синдроме Уилки величина этого угла менее 20°. Двенадцатиперстная кишка анатомически делится на несколько отделов, а на уровне горизонтальной ее части (D3) спереди ее пересекает та самая верхняя мезентериальная артерия. В случае малого угла между аортой и верхней брыжеечной артерией двенадцатиперстная кишка подвергается сосудистой компрессии. Принцип возникновения тот же самый, что и при синдроме щелкунчика. Но там - сосуд, а здесь - кишка, поэтому и клинически будут проявления со стороны органов ЖКТ. Английский хирург Дэвид Уилки в 1927 году изучил и подробно описал данный синдром, да
Оглавление
Развитию данного синдрома чаще подвержены худые девушки и подростки. Верхняя брыжеечная артерия при определенных условиях может формировать "пинцет" для двенадцатиперстной кишки, а приведет это к ее непроходимости.

Верхняя мезентериальная артерия в месте отхождения от брюшной аорты образует угол, величина которого в норме составляет от 25°до 60°. При синдроме верхней мезентериальной артерии (СВМА) или синдроме Уилки величина этого угла менее 20°.

SMA - верхняя брыжеечная артерия, D2,D3 - отделы двенадцатиперстной кишки
SMA - верхняя брыжеечная артерия, D2,D3 - отделы двенадцатиперстной кишки

Механизм возникновения синдрома Уилки

Двенадцатиперстная кишка анатомически делится на несколько отделов, а на уровне горизонтальной ее части (D3) спереди ее пересекает та самая верхняя мезентериальная артерия.

В случае малого угла между аортой и верхней брыжеечной артерией двенадцатиперстная кишка подвергается сосудистой компрессии.

Принцип возникновения тот же самый, что и при синдроме щелкунчика. Но там - сосуд, а здесь - кишка, поэтому и клинически будут проявления со стороны органов ЖКТ.

Английский хирург Дэвид Уилки в 1927 году изучил и подробно описал данный синдром, дав ему название "синдром верхней брыжеечной артерии".
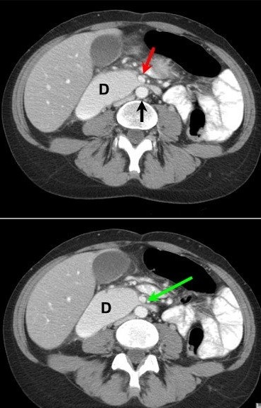
На аксиальных срезах ОБП в венозную фазу исследования отчётливо видно уменьшенное расстояние между аортой (черная стрелка на верхнем изображении) и ВБА (красная и зелёная стрелки): менее 10 мм. D-duodenum, престенотическое расширение нисходящей части и компрессия горизонтального отдела двенадцатиперстной кишки между двумя сосудами (симптом "клюва")
На аксиальных срезах ОБП в венозную фазу исследования отчётливо видно уменьшенное расстояние между аортой (черная стрелка на верхнем изображении) и ВБА (красная и зелёная стрелки): менее 10 мм. D-duodenum, престенотическое расширение нисходящей части и компрессия горизонтального отдела двенадцатиперстной кишки между двумя сосудами (симптом "клюва")

Причины:

  • индивидуальные анатомические особенности (врожденные особенности высокого прикрепления связки Трейтца (соединяет двенадцатиперстную кишку с диафрагмой);
  • низкое отхождение ВБА от брюшной аорты;
  • чрезмерная худоба или резкая потеря массы тела за короткий промежуток времени;
  • выраженный гиперлордоз в поясничном отделе позвоночника (изгиб последнего кпереди).

Клиническая картина

Развивается постепенно, а по мере нарастания кишечной непроходимости симптомы усиливаются. Вначале это тошнота и рвота с постепенным расширением желудка и развитием гастростаза (застой желудочного содержимого). Основные жалобы:

  • боли в верхних отделах живота, усиливающиеся в положении лёжа и уменьшающиеся на левом боку;
  • отрыжка кислым содержимым;
  • тошнота, рвота после каждого приема пищи;
  • слабость, потеря массы тела.

Впоследствии развиваются выраженные электролитные нарушения, кахексия, а при несвоевременной коррекции данное состояние может закончиться крайне неблагоприятным исходом.

Особенности лучевой диагностики

Рентгеноскопия пищевода и желудка в запущенных стадиях показывает вторично перерастянутый желудок.

Характерен заброс бариевой взвеси в пищевод, свидетельствующий о гастроэзофагеальном рефлюксе. Отмечается застой бария в горизонтальной части двенадцатиперстной кишки с замедленным опорожнением желудка (признаки высокой кишечной непроходимости). Отмечается снижение перистальтики ДПК с ее расширенными начальными отделами.

"Золотым стандартом" в диагностике является КТ-ангиография брюшной аорты и ее ветвей, позволяющая достоверно оценить анатомические взаимоотношения конфликтующих структур.

Лечение оперативное. Если интересны этапы и виды операций, могу сделать отдельную статью. Жду ваших вопросов и ответов в комментариях.

Здесь о компрессии почечной вены, но с участием тех же самых артериальных стволов (по этому поводу мне довелось перенести достаточно серьезную операцию):

Благодарю за внимание и до скорых встреч.