Найти в Дзене
В мире медицины

Пороки развития коры головного мозга

Кора является главным центром всех психических функций в организме и носителем интеллекта. Какие аномалии ее развития существуют, как это выглядит на МРТ и проявляется клинически, можете прочитать в статье. К сожалению, аномалии развития коры мозга составляют большую группу нарушений, возникающих в процессе эмбриогенеза. Выделяют следующие основные формы данной группы нарушений: Крайним вариантом данной формы является агирия - полное отсутствие извилин. Для понимания: борозды в мозге - это углубления в коре, а извилины - выпуклые участки между ними. Клинические проявления зависят от степени недоразвития извилин и более выражены при полном их отсутствии. Умственная отсталость и приступы эпилепсии по типу инфантильных спазмов - основная симптоматика. Диагностируется аномалия, как правило, ещё до рождения. Сильвиевы щели расположены вертикально, мозг при этом имеет вид неправильной восьмерки, как на примере ниже: Порок, при котором клетки серого вещества располагаются в нетипичных для
Оглавление
Кора является главным центром всех психических функций в организме и носителем интеллекта. Какие аномалии ее развития существуют, как это выглядит на МРТ и проявляется клинически, можете прочитать в статье.

Интересные факты о мозге:

  • на поверхности коры располагается большое количество борозд и извилин. Чем больше плошадь коры, тем больше нейронов, соответственно, лучше способности мозга;
  • суммарная площадь коры мозга составляет около 20 квадратных метров;
  • каждое полушарие отвечает за одну сторону тела: левое - за правую, а правое - за левую;
  • длина всех нейронных связей составляет 3 расстояния от Земли до Луны, а скорость распространения нервного импульса варьирует от 2 до 120 м/с (зависит от типа нервного волокна);
  • примерно у 90 % людей левое полушарие обеспечивает языковые навыки и логику, а правое "управляет" художественными и музыкальными способностями.
К сожалению, аномалии развития коры мозга составляют большую группу нарушений, возникающих в процессе эмбриогенеза.

Выделяют следующие основные формы данной группы нарушений:

  • нарушение формирования борозд и извилин;
  • нарушение процесса миграции нейронов;
  • изменение объема мозга.

Нарушение формирования борозд и извилин - лиссэнцефалия ("гладкий мозг")

Крайним вариантом данной формы является агирия - полное отсутствие извилин.

Для понимания: борозды в мозге - это углубления в коре, а извилины - выпуклые участки между ними.

Клинические проявления зависят от степени недоразвития извилин и более выражены при полном их отсутствии. Умственная отсталость и приступы эпилепсии по типу инфантильных спазмов - основная симптоматика. Диагностируется аномалия, как правило, ещё до рождения.

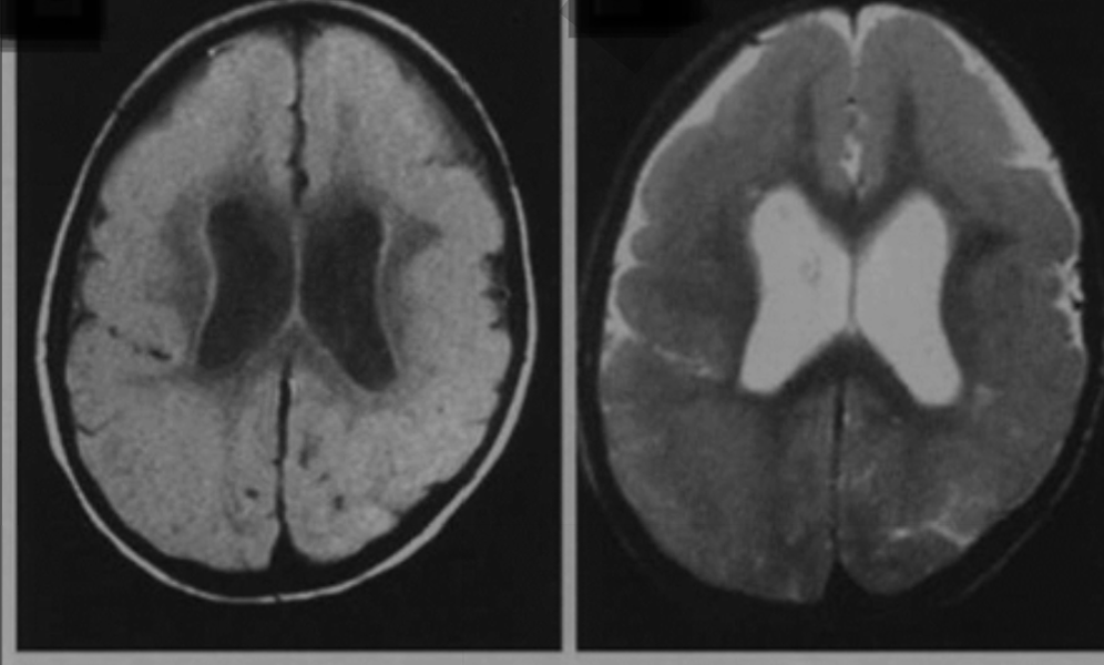
Пример лиссэнцефалии на МРТ: широкие и плоские извилины с мелкими единичными бороздами в лобных долях, а также в теменно-затылочных областях. Боковые желудочки расширены, белое вещество слабо развито.
Пример лиссэнцефалии на МРТ: широкие и плоские извилины с мелкими единичными бороздами в лобных долях, а также в теменно-затылочных областях. Боковые желудочки расширены, белое вещество слабо развито.

Сильвиевы щели расположены вертикально, мозг при этом имеет вид неправильной восьмерки, как на примере ниже:

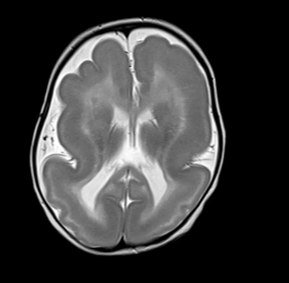
МРТ, режим Т2-ВИ: неполная лиссэнцефалия в сочетании с фокальной пахигирией (широкие и плоские извилины) в правой лобной доле, деформация задних рогов боковых желудочков мозга
МРТ, режим Т2-ВИ: неполная лиссэнцефалия в сочетании с фокальной пахигирией (широкие и плоские извилины) в правой лобной доле, деформация задних рогов боковых желудочков мозга

Гетеротопии серого вещества

Порок, при котором клетки серого вещества располагаются в нетипичных для них местах. На МР-сканах они выглядят как изоинтенсивные участки, не накапливающие контраст.

Практически у всех больных с гетеротопией серого вещества клинически выражена эпилепсия.

Выделяют следующие виды гетеротопии:

  • перивентрикулярная (субэпендимарная);
а) субэпендимарная гетеротопия серого вещества в виде очагов последнего по краю боковых желудочков мозга с фестончатостью их контура b) субкортикальная гетеротопия (см. ниже) и киста прозрачной перегородки
а) субэпендимарная гетеротопия серого вещества в виде очагов последнего по краю боковых желудочков мозга с фестончатостью их контура b) субкортикальная гетеротопия (см. ниже) и киста прозрачной перегородки
  • субкортикальная (иллюзия "двойной коры");
МРТ, Т1-ВИ: между корой и основной массой белого вещества располагается второй слой серого вещества. Он повторяет ход извилин и отделен тонким слоем белого вещества (симптом "двойной коры")
МРТ, Т1-ВИ: между корой и основной массой белого вещества располагается второй слой серого вещества. Он повторяет ход извилин и отделен тонким слоем белого вещества (симптом "двойной коры")
  • фокальная гетеротопия (в виде очага скопления нейронов);
Очаг узловой гетеротопии серого вещества по латеральному контуру заднего рога правого бокового желудочка. Пример со статьи Горчхановой З.К. "Вестник эпилептологии"
Очаг узловой гетеротопии серого вещества по латеральному контуру заднего рога правого бокового желудочка. Пример со статьи Горчхановой З.К. "Вестник эпилептологии"
  • диффузная (по типу полос).

Кортикальная дисплазия

Это аномалия миграции нейронов, при которой они способны достигать коры, но формируются при этом маленькие извилины. Характерной локализацией является Сильвиева щель (при полимикрогирии), но могут поражаться любые области.

Клинически проявляется резистентной к терапии эпилепсией. Выделяют очаговую (фокальную) и диффузную формы.

Впервые термин фокальной кортикальной дисплазии был употреблен в 1971 г. британским нейрохирургом Тэйлором. В настоящее время доказано, что фокальная форма кортикальной дисплазии является причиной эпилепсии.

Данная микроскопическая аномалия была обнаружена в образцах лобэктомии у пациентов, выполненной по поводу медикаментозно-устойчивой формы эпилепсии.

ФКД может быть диагностирована только с помощью высокопольной МРТ, а подтверждена - гистологически.

Характерные МР-критерии ФКД:

  • очаговое утолщение коры головного мозга;
  • стертость границ между белым и серым веществом;
Утолщение коры надкраевой извилины левой теменной доли на Т1-ВИ и локальная гиперинтенсивность сигнала в режиме FLAIR
Утолщение коры надкраевой извилины левой теменной доли на Т1-ВИ и локальная гиперинтенсивность сигнала в режиме FLAIR
  • трансмантийный знак на T2-FLAIR (локальный гиперинтенсивный сигнал, распространяющийся по направлению к желудочку);
  • избыточная сулькация коры (аномально мелкие извилины) с увеличением субарахноидальных пространств;
  • кортикальное усиление интенсивности сигнала в режиме FLAIR на границе раздела серое/белое вещество.
Фокальная кортикальная дисплазия левой прецентральной извилины у пациентки 7 лет с клиникой фокальной эпилепсии
Фокальная кортикальная дисплазия левой прецентральной извилины у пациентки 7 лет с клиникой фокальной эпилепсии

По изменениям объема мозга сделаю отдельно (возможно), если статья найдет свою аудиторию. Благодарю за внимание и до скорых встреч.