Найти в Дзене
В мире медицины

Киста в головном мозге: переживать или наблюдать

Часто практикующему рентгенологу приходится сталкиваться с ситуацией, когда пациенты приходят на обследование по поводу кисты в мозге для оценки динамики ее размеров. Большинство кист являются врожденными, а о половине из них никто бы и не узнал, если не пришлось делать обследование (порой совсем по другому поводу, например, при исследовании придаточных пазух носа мозг все равно захватывается в область исследования, а честный и уважающий себя рентгенолог обязан по всем правилам описать ЛЮБЫЕ изменения и отклонения, даже если они не являются зоной интереса). Волнение пациента в таком случае вполне оправдано: пришел здоровый, а ушел с кистой. Обычно начинается чтение интернета, поиск ряда симптомов, часто выполнение не совсем обоснованного КТ/МРТ-исследования головного мозга через какое-то время. Иногда такое состояние может приводить к реальным неврозам. А если речь идет о маленьком ребенке?! Тревожные мамы поймут. Да, есть серьезные случаи, требующие обязательного нейрохирургическог
Оглавление
Часто практикующему рентгенологу приходится сталкиваться с ситуацией, когда пациенты приходят на обследование по поводу кисты в мозге для оценки динамики ее размеров.

Большинство кист являются врожденными, а о половине из них никто бы и не узнал, если не пришлось делать обследование (порой совсем по другому поводу, например, при исследовании придаточных пазух носа мозг все равно захватывается в область исследования, а честный и уважающий себя рентгенолог обязан по всем правилам описать ЛЮБЫЕ изменения и отклонения, даже если они не являются зоной интереса). Волнение пациента в таком случае вполне оправдано: пришел здоровый, а ушел с кистой.

Сгенерировано нейросетью для оформления статьи
Сгенерировано нейросетью для оформления статьи

Обычно начинается чтение интернета, поиск ряда симптомов, часто выполнение не совсем обоснованного КТ/МРТ-исследования головного мозга через какое-то время. Иногда такое состояние может приводить к реальным неврозам. А если речь идет о маленьком ребенке?! Тревожные мамы поймут.

Да, есть серьезные случаи, требующие обязательного нейрохирургического вмешательства, однако, здесь будет выражена клиническая картина с признаками повышенного внутричерепного давления и соответствующей неврологической симптоматикой.

В статье я хочу остановиться немного на другом и поговорить о "нормальных" кистах в мозге, которые можно считать анатомическим вариантом развития.

Чтобы было понятнее, приведу пример: в норме почка кровоснабжается одной почечной артерией, имеет одну лоханку и один мочеточник. Но бывает так, что у человека две, три и более почечных артерии или два мочеточника, отходящих от одной почки. Это аномалия развития, но считается вариантом анатомической нормы, если нет никаких клинических проявлений (не нарушен пассаж мочи, отсутствует гидронефроз и т.д.) По каким-то неизвестным причинам эмбрионально произошел такой вариант развития. Да, так быть не должно, но человек с этим может жить абсолютно нормально всю свою жизнь.

Точно так же и в головном мозге: если нет никакой неврологической симптоматики, задержки в развитии у ребенка, эндокринных расстройств и прогрессирующего снижения остроты зрения (у детей более старшего возраста), то переживать не стоит. Тем более, не нужно облучаться каждые полгода (если речь идет о КТ головного мозга, как правило, маленьким детям назначают именно КТ).

Обычно таких детей достаточно регулярно наблюдать у невролога, выполнять нейросонографию до закрытия родничков и лишь по показаниям (например, нарастание расширения желудочков мозга в динамике) направлять на МСКТ.

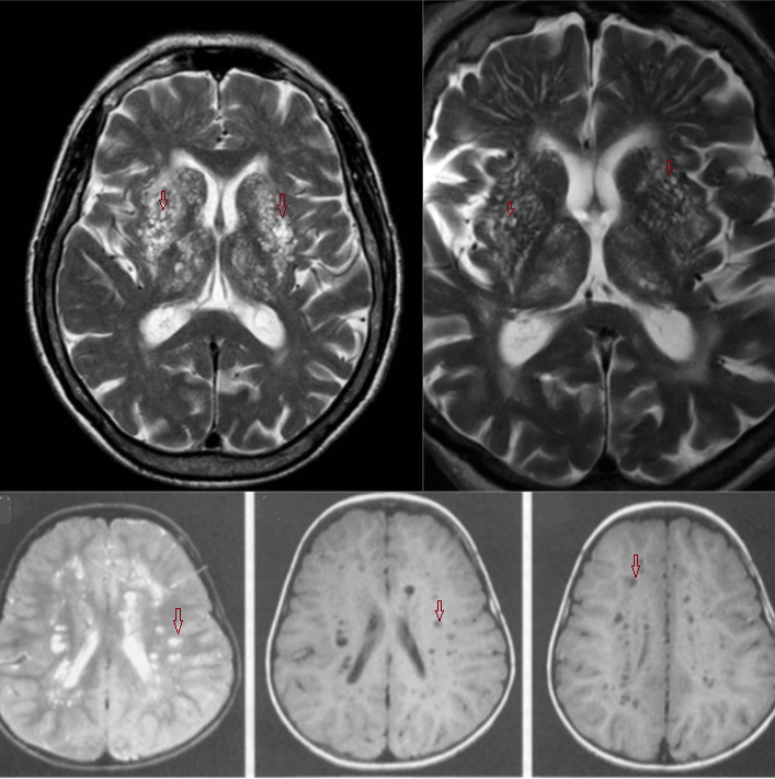
Расширенные пространства Робина-Вирхова

Они формируются в эмбриональном периоде за счет роста кровеносных сосудов в вещество мозга, при этом, по мере их роста отмечается втяжение за собой участка мягкой мозговой оболочки. Ряд авторов считает, что они участвуют в регуляции оттока спинномозговой жидкости. Данные пространства можно увидеть практически у всех пациентов на МР-аппарате 3,0 Тесла.

На МРТ в режиме Т1- и Т2-ВИ расширенные периваскулярные пространства определяются на аксиальных сканах в виде округлых образований с четкими ровными контурами, расположенными по ходу перфорирующих сосудов, по характеристикам сигнала соответствуют сигналу от ликвора. Отсутствует контрастное усиление, нет кальцинатов и перифокального отека в прилежащих отделах головного мозга
На МРТ в режиме Т1- и Т2-ВИ расширенные периваскулярные пространства определяются на аксиальных сканах в виде округлых образований с четкими ровными контурами, расположенными по ходу перфорирующих сосудов, по характеристикам сигнала соответствуют сигналу от ликвора. Отсутствует контрастное усиление, нет кальцинатов и перифокального отека в прилежащих отделах головного мозга

Арахноидальные кисты

Являются врожденным (наиболее часто) объемным образованием, стенкой которого является паутинная оболочка головного мозга.

По данным нейрохирургов института им. Н.И. Бурденко РАМН, арахноидальные кисты составляют около 10% среди всех объемных образований у детей.

Клиника будет зависеть от локализации кисты, ее размеров и взаимоотношения к путям ликворооттока. Арахноидальные кисты могут достигать больших размеров, но при этом могут обнаруживаться достаточно поздно в случае, если они не создают механического препятствия для оттока ликвора. Обычно клиника появляется лишь в стадии декомпенсации за счет объемного воздействия, особенно при расположении в определенных анатомических областях.

Например, при локализации в области мосто-мозжечкового угла объемное воздействие оказывается на ствол мозга, при супраселлярном расположении (над областью турецкого седла) могут развиваться симптомы сдавления хиазмы (перекрест зрительных нервов) и т.д.

Арахноидальная киста имеет свойство увеличиваться в размерах. Пожалуй, это одна из тех кист, которую нужно наблюдать у растущего ребенка при изначально больших размерах кисты.
Арахноидальная киста задней черепной ямки гигантских размеров (ретроцеребеллярная локализация): ликворная киста сдавливает ствол мозга, мозжечка, последние выраженно деформированы и оттеснены кпереди
Арахноидальная киста задней черепной ямки гигантских размеров (ретроцеребеллярная локализация): ликворная киста сдавливает ствол мозга, мозжечка, последние выраженно деформированы и оттеснены кпереди

Киста прозрачной перегородки

Находится между боковыми желудочками мозга. Часто сообщается с полостью III желудочка и не имеет связи с субарахноидальным пространством. Как правило, является случайной находкой при исследовании.

На МРТ в режимах Т1-и Т2-ВИ в проекции прозрачной перегородки визуализируется полость, заполненная ликвором. Фронтальная реконструкция позволяет определить отграниченность кисты от желудочков мозга
На МРТ в режимах Т1-и Т2-ВИ в проекции прозрачной перегородки визуализируется полость, заполненная ликвором. Фронтальная реконструкция позволяет определить отграниченность кисты от желудочков мозга

Полость VI желудочка (полость Верге)

Впервые была описана анатомом Верге в 1851 г. Как правило, имеет сообщение с кистой прозрачной перегородки, чаще встречается совместно с ней, а обе они являются определенной стадией развития мозга. Обычно наблюдаются у недоношенных детей. По сигнальным характеристикам также идентична сигналу от ликвора.

МРТ, Т1- Т2- ВИ, аксиальные и сагиттальный срезы: в задних отделах прозрачной перегородки определяется кистозное образование, по сигнальным характеристикам соответствующее ликвору, не накапливающее контраст. На 2 изображении имеет сообщение с полостью прозрачной перегородки
МРТ, Т1- Т2- ВИ, аксиальные и сагиттальный срезы: в задних отделах прозрачной перегородки определяется кистозное образование, по сигнальным характеристикам соответствующее ликвору, не накапливающее контраст. На 2 изображении имеет сообщение с полостью прозрачной перегородки

Кисты сосудистых сплетений

Представляют кистозные образования в проекции сосудистых сплетений боковых желудочков головного мозга, обычно двусторонние, а размер, как правило, не превышает 10 мм. По периферии кисты может отмечаться отложение кальция.

Киста сосудистого сплетения заднего рога левого бокового желудочка в виде округлого образования с четкими ровными контурами, пониженной плотности с признаками периферической кальцификации
Киста сосудистого сплетения заднего рога левого бокового желудочка в виде округлого образования с четкими ровными контурами, пониженной плотности с признаками периферической кальцификации

Киста шишковидной железы

Шишковидная железа (эпифиз) представляет собой небольшое анатомическое образование - эндокринную железу, вырабатывающую мелатонин. Расположена в центре мозга между двумя полушариями.

На МР-изображениях киста шишковидной железы визуализируется в виде жидкостного образования ликворной плотности, для некоторых кист характерно наличие ободка контрастного усиления (в случае сохранившейся ткани железы, т.к. в капиллярах эпифиза нет гематоэнцефалического барьера), а также наличие участков обызвествления по периферии.

Как правило, никак не проявляется клинически, но при размерах более 10 мм может сдавливать пластинку четверохолмия и компремировать водопровод мозга с развитием вторичной гидроцефалии.

В области эпифиза определяется кистозное образование с минимальной компрессий пластинки четверохолмия и компрессией водопровода мозга
В области эпифиза определяется кистозное образование с минимальной компрессий пластинки четверохолмия и компрессией водопровода мозга

Итак, какие выводы можно сделать

Если у вас случайно обнаружили кисту головного мозга и у вас нет выраженных неврологических симптомов (например, сильнейших регулярных головных болей, сопровождающихся рвотой без облегчения на высоте приступа, резкой потери зрения, нарушения чувствительной и двигательной функций конечностей, судорожных припадков и т.д.) не стоит заранее переживать.

Обычно рентгенолог в заключении пишет рекомендации: через какое время делать динамику.

Я считаю, что не ранее, чем через год. Как правило, случайные находки (обозначенной выше локализации) никак динамически себя не проявляют, а если сделать обследование раньше, то можно и не понять: действительно ли имеет рост киста, особенно если динамику оценивают разные врачи (желательно попасть к тому же самому).

Кроме того, нужно понимать: обычно все, что по характеристикам описывается как ликвор, является жидкостным по природе (при вышеуказанных локализациях особенно), а не новообразованием (нет роста ткани, как при истинной опухоли).

Если нет симптомов сдавления, деформации и отека прилежащих отделов мозга, не нарушена ликвородинамика (обычно в описании это указывается), то, с большей вероятностью, процесс является вариантом анатомического развития.

На этом пока все. Делали МРТ/КТ головного мозга? По какому поводу? Можете писать в комментариях. Благодарю за внимание и до скорых встреч.