Добавить в корзинуПозвонить
Найти в Дзене
Орто-Артель

ПРО АЛЬТЕРНАТИВУ ЛЕЧЕНИЯ С УДАЛЕНИЕМ (ч.2)

Если же при такой ситуации (см. предыдущую страницу) удалить премоляры, то получается вроде как "неадекват": смещены вперед шестые зубы, а ставят клыки на место, удаляя "невиновные" премоляры. А смещенные вперед шестерки, к тому же, дополнительно сужают зубной ряд (они же смещаются вперед - на меньший радиус). И получается: удалением премоляров (а это, заметьте, все же жертва) мы фиксируем, "увековечиваем" не очень благоприятную ситуацию с прикусом. А удалив в этом случае седьмые зубы, мы возвращаем назад (дистализируем) смещенные вперед "шестерки. Тем самым действуя более адекватно. Симметрично причине возникновения проблемы (скученности). И кроме того, расширяя зубной ряд (шестые зубы, смещаются назад - на больший радиус). Кстати именно такое расширение, а не расширение по трансверсали, всегда более стабильно. И значит, в плане рисков возникновения рецидива скученности, более безопасно. Не менее часто скученность фронтальных зубов бывает из за недоразвития т. н. премаксиллярной зоны
Оглавление

Если же при такой ситуации (см. предыдущую страницу) удалить премоляры, то получается вроде как "неадекват": смещены вперед шестые зубы, а ставят клыки на место, удаляя "невиновные" премоляры. А смещенные вперед шестерки, к тому же, дополнительно сужают зубной ряд (они же смещаются вперед - на меньший радиус). И получается: удалением премоляров (а это, заметьте, все же жертва) мы фиксируем, "увековечиваем" не очень благоприятную ситуацию с прикусом.

А удалив в этом случае седьмые зубы, мы возвращаем назад (дистализируем) смещенные вперед "шестерки. Тем самым действуя более адекватно. Симметрично причине возникновения проблемы (скученности). И кроме того, расширяя зубной ряд (шестые зубы, смещаются назад - на больший радиус).

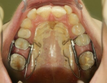
Дистализация (смещение назад) верхних моляров.
Дистализация (смещение назад) верхних моляров.

Кстати именно такое расширение, а не расширение по трансверсали, всегда более стабильно. И значит, в плане рисков возникновения рецидива скученности, более безопасно.

Не менее часто скученность фронтальных зубов бывает из за недоразвития т. н. премаксиллярной зоны (области резцовых костей). Тогда вообще ничего удалять не показано.

Куда удалять, если челюсть и так короткая спереди?

А ведь удаляют. И получают осложнения. Ведь в этом случае надо действовать наоборот. Не сокращать длину челюсти, а премаксиллу развивать. И снимать блок на уровне швов между верхнечелюстными и резцовыми костями. Опять же, разобраться с ситуацией поможет тщательный анализ ТРГ.

При дистальной окклюзии.

При диагнозе дистальная окклюзия тоже часто принято удалять премоляры. Ведь верхние зубы при дистальной окклюзии торчат, выпирают вперед. И нас учили, что если пациент взрослый, нерастущий, то мы не можем вырастить нижнюю челюсть. А значит, получить контакты между верхними и нижними передними зубами можно только сокращая верхний зубной ряд по длине. Т.е. удалять верхние зубы и закрывать полученные промежутки. Дистализацией фронтальной группы. И обычно "под щипцы" идут премоляры (см. "Об удалении премоляров").

Скажу сразу, невозможность лечения дистальной окклюзии ортопедическим путем, т.е. выдвижением нижней челюсти вперед - это миф. И очень опасное заблуждение. Практика показывает совсем иное. Ведь чаще всего виной (причиной) дистальной окклюзии и торчащих вперед верхних зубов является заднее от нормы (дистальное) положение нижней челюсти. Положение. Позиция. И при этом, чаще всего, сам размер нижней челюсти не нарушен. А значит её (нижнюю челюсть) можно "выставить" (выдвинуть) вперед. До нормы. И добиться её стабильного (в нормальной позиции) положения. Заметьте, не вырастить (это действительно невозможно у взрослых). А изменить позицию. А это можно сделать, в принципе, и в пенсионном возрасте. И опять "мух от котлет" можно определить по анализу боковой ТРГ. На которой чётко видно что страдает: размер или позиция челюстей. И это мы всегда стремимся выяснять в первую очередь. И для того анализ ТРГ (по специальной, уникальной и очень информативной методике) входит у нас в клинике в обязательную диагностику.

Бывает, что торчащие вперед зубы, не являются признаком скелетной дистальной окклюзии. А имеют причиной (так же как и скученность) то же самое мезиальное (переднее) смещение шестых зубов. Ведь скученность и протрузия - это "две стороны одной медали", два варианта размещения зубов на дефицитной "жилплощади" (см. здесь). И тогда, так же как и при скученности, адекватнее и правильнее будет удалив "семерки" вернуть на место первые моляры (шестые зубы).

Продолжение (ч.3) здесь:

Предыдушая статья (ч.1) здесь:

-2

Проект холистической стоматологии "Орто-Артель"

🏥 г. Москва, проспект Мира, д. 75, стр. 1

☎️ +7 (495) 128-11-74

➜ Наш сайт: https://www.ort-art.ru/

НАША ЦЕЛЬ НЕ ЛЕЧИТЬ, А ВЫЛЕЧИТЬ!

Рады видеть Вас в наших соцсетях:

➜ VK: https://vk.com/ortoartel

➜ Телеграмм: https://t.me/ortoart

➜ Дзен: https://dzen.ru/ortart

➜Facebook: https://www.facebook.com/ORTOARTEL/

➜Instagram: https://www.instagram.com/ortoartel/

➜YouTube: https://www.youtube.com/@ort-art

Статья взята с личного ресурса ортодонта Филатова:

Об альтернативах удалению премоляров (часть вторая)