Найти в Дзене

Рецессия десны — лечить или оставить как есть?

Зубы стали больше? Нет, они точно не растут. Это рецессия десны, которую нужно лечить! Рецессия десны — это состояние, при котором десна «отступает», обнажая корень зуба. Десна перестает защищать ту часть зуба, которая обычно скрыта. Это не только влияет на внешний вид, но и создает благоприятную среду для проблем с зубами и деснами. Рецессия десны бывает: ❌Локализованной — затрагивает один или несколько зубов. Чаще происходит из-за механического воздействия на десну ❌Генерализованной — возникает на всем зубном ряду. Следствие воспалительного процесса или неправильной гигиены Неправильная гигиена полости рта. Десна может «отступать» из-за чрезмерно агрессивной чистки зубов, интенсивного воздействия нитью или сильного давления слишком жесткой щеткой. В этом случае рецессия чаще всего появляется на передних зубах, к их чистке люди относятся наиболее ответственно. Но если чистить плохо, рецессия тоже появится. В этом случае ее причиной станет скопление мягкого и твердого налета в пришеечн
Оглавление

Зубы стали больше? Нет, они точно не растут. Это рецессия десны, которую нужно лечить!

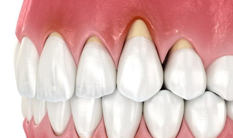
Что такое рецессия десны?

Рецессия десны — это состояние, при котором десна «отступает», обнажая корень зуба. Десна перестает защищать ту часть зуба, которая обычно скрыта. Это не только влияет на внешний вид, но и создает благоприятную среду для проблем с зубами и деснами.
Рецессия десны
Рецессия десны

Рецессия десны бывает:

❌Локализованной — затрагивает один или несколько зубов. Чаще происходит из-за механического воздействия на десну

❌Генерализованной — возникает на всем зубном ряду. Следствие воспалительного процесса или неправильной гигиены

Почему появляется?

Неправильная гигиена полости рта. Десна может «отступать» из-за чрезмерно агрессивной чистки зубов, интенсивного воздействия нитью или сильного давления слишком жесткой щеткой. В этом случае рецессия чаще всего появляется на передних зубах, к их чистке люди относятся наиболее ответственно.

Но если чистить плохо, рецессия тоже появится. В этом случае ее причиной станет скопление мягкого и твердого налета в пришеечной части зуба. Он вызывает воспаление и приводит к нарушению положения слизистой.

Твердый налет и рецессия десны
Твердый налет и рецессия десны

Неправильный прикус. Если зубы неправильно смыкаются, это создает избыточное давление на десну и провоцирует изменения в окружающих тканях.

Воспалительные заболевания. Генерализованная рецессия — симптом гингивита, пародонтита или пародонтоза. Без лечения эти заболевания приводят к нарушению питания костной ткани, мягких тканей и слизистой.

Отсутствие зубных единиц. Бывает, что отсутствие одного зуба не слишком беспокоит человека, и он не спешит на имплантацию. Если место «пустует» длительное время, начинается деструкция альвеолярного отростка. Десна в области отсутствующего зуба опускается, увлекает за собой мягкие ткани на соседних зубах, обнажая их корни.

Рецессия десны рядом с отсутствующим зубом
Рецессия десны рядом с отсутствующим зубом

Что будет, если не лечить?

Рецессия прогрессирует постепенно, и со временем ее последствия станут заметнее:

❗️Повысится чувствительность. Открытые корни реагируют на холодное, горячее, сладкое или кислое

❗️Без защиты десны корень зуба станет уязвимым для кариеса

❗️Улыбка будет выглядеть не так привлекательно из-за удлиненных зубов и межзубных промежутков

❗️Зуб начнет постепенно расшатываться и может выпасть

Коронковая часть зубов будет увеличиваться постепенно. Сначала будет казаться, что зубы стали немного длиннее, затем у их основания образуются промежутки в виде темных треугольников. Постепенно симптомы будут усиливаться, а зубы болеть, расшатываться и выпадать🤯

Генерализованная рецессия
Генерализованная рецессия

Как восстановить мягкие ткани десен?

Если обратиться к стоматологу на ранней стадии рецессии, можно обойтись без сложного лечения. В этом случае поможет профессиональная гигиена полости рта, пародонтологическая чистка, замена щетки на более мягкую.

Если причиной обнажения корня зуба стали заболевания десен, проводится медикаментозная терапия. Врач может назначить антибиотики, противовоспалительные препараты, полоскания и другие процедуры. Один из этапов консервативного лечения — использование биогелей, которые запускают процесс естественной регенерации мягких тканей.

Если консервативные методы неэффективны, проводится хирургическое лечение. Хирург выполняет «лоскутную операцию» — трансплантирует часть мягкой ткани с верхнего неба на область рецессии.

Лоскутная операция
Лоскутная операция

Альтернативный и менее травматичный метод хирургического лечения — фибриновая мембрана.

Фибриновая мембрана — это стимулятор роста тканей, который производится из собственной крови пациента. Она представляет собой плотный сгусток, богатый белками и факторами роста, стимулирующими регенерацию десны.

У пациента берут небольшое количество крови, обрабатывают в специальной центрифуге, чтобы выделить фибрин. Область рецессии очищают от налета, инфекций и поврежденных тканей. Фибриновую мембрану аккуратно укладывают на подготовленный участок десны. Мембрана фиксируется на месте рецессии, где она способствует восстановлению тканей.

🏥 Центр семейной стоматологии

Задать вопрос ✍️ WhatsApp

Позвонить 📞 +7 (495) 104-53-16

Мы рядом 🏥 Москва, ул. Барышиха, 12к1

📚 Читайте также

История пациента: восстановление всех зубов при стоматофобии
Центр семейной стоматологии в Митино8 ноября 2024
История пациента: Как выровнять зубы брекетами в 50 лет
Центр семейной стоматологии в Митино15 ноября 2024
История пациента: возвращаем зуб на место девочке 8-ми лет
Центр семейной стоматологии в Митино29 ноября 2024
История пациента: тотальное протезирование All-on-6 женщине в 42 года
Центр семейной стоматологии в Митино6 декабря 2024