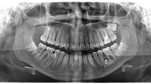
Загадка природы: почему у человека всего лишь 32 зуба?
Вы наверняка знаете, что у человека должно быть 32 зуба. И пасту зубную, и клинику с таким названием видели. Конечно, в природе не обошлось без исключений из правила: бывают сверхкомплектные зубы. Кто из нас не помнит советский фильм "Тридцать три"? Главные роли в нём исполнили Евгений Леонов и Нонна Мордюкова. Этот фильм стал настоящей сенсацией своего времени благодаря сюжету о герое, обладающем невероятным количеством зубов — аж 33 штуки! Впрочем, если вы любите кино, посмотрите этот фильм. Он достаточно смешной...
2 года назад
Почему у человека 32 зуба?
У человека 32 зуба взрослого возраста из-за исторических причин и приспособления к растительной пище. У древних людей были большие челюсти и более широкие зубные дуги, что позволяло помещать больше зубов. Кроме того, у древних людей питание было более жестким и включало больше растительной пищи, что требовало большего количества зубов для жевания. С течением времени челюсти человека стали меньше, но количество зубов осталось прежним. А нам хватает 32 зубов? Да, обычно человеку достаточно 32 зубов для правильного пищеварения пищи и поддержания здоровья полости рта...
6 лет назад
Почему у человека именно 32 зуба?
У большинства существ на нашей планете есть зубы. Будь это зубы хищника, травоядного или всеядного животного, они всегда максимально приспособлены к той пище, которую потребляет их хозяин и тому образу жизни, который он ведет. А вот происхождение всех на свете зубов — общее. Странно осознавать, но наши зубы — это эволюционировавшая рыбья чешуя. Сотни миллионов лет назад древние рыбы использовали для захвата и расчленения добычи выступающие твердые чешуйки, расположенные в районе челюстей. Позднее эти чешуйки трансформировались в полноценные зубы. Этим и объясняется сходство в строении зуба и рыбьей чешуи...