ЧТО ТАКОЕ ЛЕЙКЕМИЧЕСКИЙ ПРОВАЛ
Что такое палочкоядерные нейтрофилы и причины повышенных у взрослого?
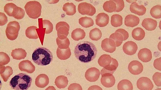
Не все люди знают, что такое палочкоядерные нейтрофилы, и какие функции они выполняют. Такие нейтрофилы являются одной из разновидностей лейкоцитов — наиболее важных компонентов крови, своевременный анализ отклонений от нормы позволяет предупредить или диагностировать различные заболевания. Лейкоциты в свою очередь представляют группу белых кровяных клеток, которые нейтрализуют и уничтожают множество болезнетворных бактерий и микробов. Палочкоядерная форма нейтрофилов выполняет защитную функцию, эти форменные элементы крови нейтрализуют все вредоносные элементы...
О чем говорят повышены сегментоядерные или палочкоядерные нейтрофилы в крови ребенка?
Нейтрофилы — это один из видов лейкоцитов, которые являются форменными элементами крови. Уровень нейтрофилов в крови человека лежит в пределах 42-72% всех лейкоцитарных клеток. При любом недомогании первым делом врач назначает сдачу клинического анализа крови. Если в показателях нейтрофилы повышены у ребенка, то это свидетельствует о наличии инфекционного воспалительного процесса. Показания к сдаче анализов Основными причинами повышения нейтрофилов у детей являются различные воспалительные процессы...
Нейтрофилы в крови: что это такое, о чем говорит отклонение от нормы
Один из важных показателей анализа крови - количество нейтрофилов, которые при различных патологиях могут быть повышены или понижены. Что представляют собой нейтрофилы, чем они отличаются от лимфоцитов, какие показатели нормы существуют для ребенка и взрослого человека - в материале РИА Новости. Нейтрофилы в крови Количество нейтрофилов - один из показателей, который отражается в результатах анализа крови. Они являются частью так называемой лейкоцитарной формулы, ведь нейтрофилы - это разновидность лейкоцитов...