3D-снимок зубов всего за несколько минут! КТ позволяет получить детальную информацию о состоянии зубов и челюсти, выявить любую патологию.
💻3D снимок (клкт) зубов.
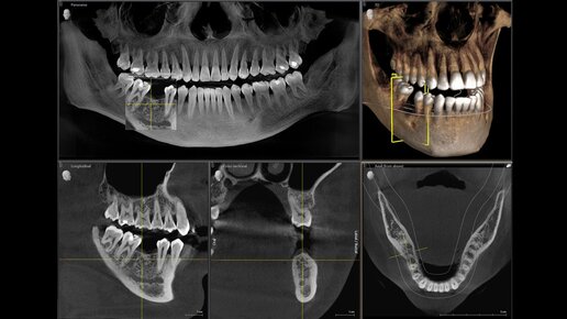
Диагностика один из ключевых этапов работы, поэтому уделите ей особое внимание. А правильно поставленный диагноз — уже половина успеха и выздоровления. 3D снимок зубов или 3D клкт исследование — это новый золотой стандарт в диагностике челюстной -лицевой области. Так выглядит снимок в программе: Что мы обычно на этих 3D срезах видим❓ Обычный обыватель-пациент, не обладающий специальными знаниями, вряд ли что-то в этом поймёт. Это выглядит как черно-белые картинки с непонятным смыслом. Но мы, специалисты (стоматологи всех направлений, лоры и т...