Руки вверх - Как мне сегодня хочется...
Зубы
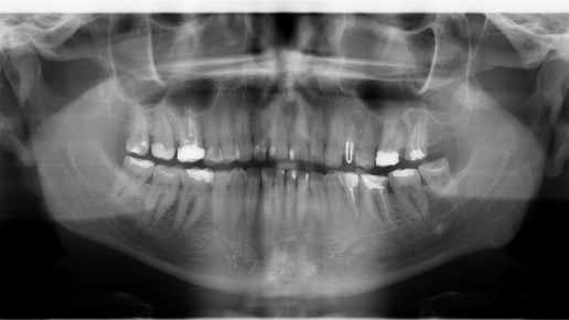
Сегодня поговорим о зубах. Хотя я врач и по идее должен знать о медицине больше чем люди других профессий, но всё таки я не стоматолог. Тем не менее мне хочется поделиться своим опытом в решении своих проблем. Так как мне почти 57 лет, то к этому возрасту я уже (увы) потерял несколько зубов. Новые зубы у людей пока ещё не вырастают (хотя, насколько я знаю работы в этом направлении ведутся). Но пока ещё самым распространённым и надёжным способом восстановления утраченных зубов является установка имплантов...