Добавить в корзинуПозвонить
Найти в Дзене
НАУКА из первых рук

Что помогает сохранить остроту ума при болезни Альцгеймера?

Болезнь Альцгеймера считается основной причиной старческого слабоумия. При этом некоторые такие больные сохраняют умственные способности, несмотря на характерные патологические изменения в тканях. Исследователи обнаружили гены, отвечающие за эту устойчивость, что может помочь в разработке методов ранней диагностики болезни и стратегий по предотвращению развития деменции Болезнь Альцгеймера – это прогрессирующее нейродегенеративное
заболевание, характеризующееся отложением в тканях мозга скоплений
патологических белков (бета-амилоида и фосфорилированного тау-белка). Амилоидные бляшки и нейрофибриллярные клубки долгое время считались обязательными спутниками деменции. Позже выяснилось, что у 20–30% пожилых людей когнитивные функции сохраняются до конца жизни, несмотря на выраженную патологию мозга. Биологические механизмы этой устойчивости долгое время оставались плохо изученными. Исследователи из Калифорнийского университета в Сан-Диего (США)
проанализировали активность генов в тысяч
Тау-белок из нейрофибриллярных клубков пациента с болезнью Альцгеймера
Тау-белок из нейрофибриллярных клубков пациента с болезнью Альцгеймера

Болезнь Альцгеймера считается основной причиной старческого слабоумия. При этом некоторые такие больные сохраняют умственные способности, несмотря на характерные патологические изменения в тканях. Исследователи обнаружили гены, отвечающие за эту устойчивость, что может помочь в разработке методов ранней диагностики болезни и стратегий по предотвращению развития деменции

Болезнь Альцгеймера – это прогрессирующее нейродегенеративное
заболевание, характеризующееся отложением в тканях мозга скоплений
патологических белков (
бета-амилоида и фосфорилированного тау-белка). Амилоидные бляшки и нейрофибриллярные клубки долгое время считались обязательными спутниками деменции. Позже выяснилось, что у 20–30% пожилых людей когнитивные функции сохраняются до конца жизни, несмотря на выраженную патологию мозга. Биологические механизмы этой устойчивости долгое время оставались плохо изученными.

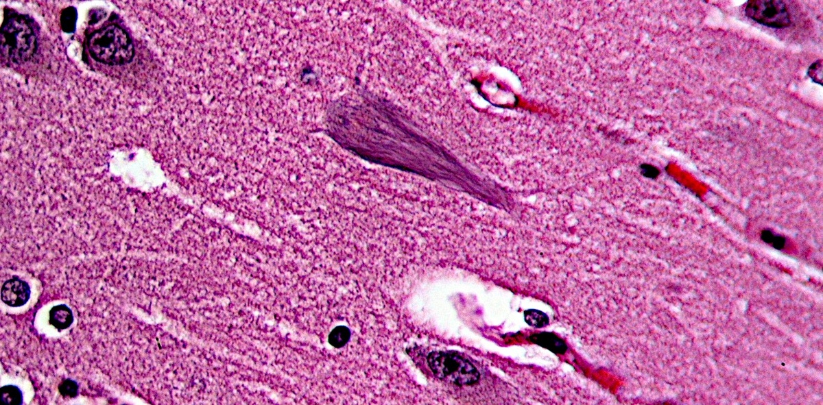
Нейрофибриллярные клубки в структуре головного мозга гиппокампа у пожилого человека с патологией, характерной для болезни Альцгеймера.  © CC BY-SA 3.0/Patho
Нейрофибриллярные клубки в структуре головного мозга гиппокампа у пожилого человека с патологией, характерной для болезни Альцгеймера. © CC BY-SA 3.0/Patho

Исследователи из Калифорнийского университета в Сан-Диего (США)
проанализировали активность генов в тысячах образцов тканей человеческого мозга. Используя алгоритмы на основе систем искусственного интеллекта, они 
выявили устойчивые «отпечатки» активности генов, связанные как с прогрессированием болезни Альцгеймера, так и с защитой от нее.

Чтобы проверить достоверность этих результатов, ученые применили этот алгоритм к данным пяти линий лабораторных мышей, предрасположенных к накоплению патологического тау-белка. В большинстве случаев алгоритм подтвердил прогрессирование болезни. И лишь одна линия CgA-KO/PS19, у которой не работал ген CHGA, кодирующий белок хромогранин А (CgA), стала исключением.

На молекулярном и клеточном уровне у животных этой линии наблюдалась
обычная картина болезни Альцгеймера, однако их память оставалась в
норме. При этом важно отметить, что самки оказались устойчивее самцов: в
их мозге было меньше фосфорилированного
тау-белка, лучше сохранялась ультраструктура синапсов – межклеточных контактов, по которым проходит нервный импульс.

Полученные данные позволили ученым идентифицировать линию CgA-KO/PS19 как модель «бессимптомного» течения болезни Альцгеймера.

В норме белок CgA локализован в секреторных везикулах
(клеточных пузырьках) нейроэндокринных клеток, где он контролирует
секрецию гормонов и нейромедиаторов, а также участвует в модуляции
иммунного ответа и реакциях организма на стресс. Этот белок уже
связывали с предрасположенностью к болезни Альцгеймера, так как в мозге
больных он локализован в нейрофибриллярных клубках, а в спинномозговой
жидкости его уровень связан с количеством патогенного
тау-белка. Предполагалось, что CgA может усиливать токсичность тау-белка, а при его дефиците нейропатология и когнитивные нарушения могут быть разобщены.

Оказалось, что, по крайней мере, у мышей, предрасположенных к накоплению тау-белка, это предположение работает. Дефицит CgA действительно защищает мозг от повреждений, переводя болезнь в бессимптомную форму. В мозге таких животных ученые выявили своего рода «защитный сценарий»: снижение активности генов, ответственных за накопление тау-белка, и сопуствующая интенсивная работа систем реагирования на стресс.

Полученные результаты, в частности, подтверждают роль половой
принадлежности в поддержании устойчивости к нейродегенерации. Как
известно из реальной клинической практики, у женщин риск развития
болезни Альцгеймера выше, а поражение мозга
тау-белком на поздних
стадиях сильнее. Однако на ранних, бессимптомных этапах болезни они
проявляют большую когнитивную устойчивость, их мозг справляется лучше,
чем у мужчин. По мере прогрессирования болезни это защитное преимущество
исчезает.

Что касается мышей с бессимптомным течением болезни Альцгеймера, эту
модель можно использовать для поиска ранних биомаркеров и разработки
профилактических терапевтических стратегий болезни Альцгеймера с учетом
механизмов заболевания, а также для изучения специфических, в том числе
связанных с полом, механизмов устойчивости.

Фото: https://commons.wikimedia.org

Публикации по теме:

Новый кандидат на лекарство от болезни Альцгеймера

Депрессия и нейродегенерация: новые стратегии диагностики и терапии

Википедия мозга»против слабоумия, психических заболеваний и мозговых «катастроф»

«Убежать» от деменции и болезни Альцгеймера поможет гормон ирисин

Болезнь Альцгеймера можно обнаружить по анализу крови