Добавить в корзинуПозвонить
Найти в Дзене

От зуба воспаление в гайморовой пазухе-спасти зуб или удалить?

Спойлер-все зависит от ситуации. По статистике, опубликованной в журнале Oral Surgery (Wiley), 51,7% воспалений в гайморовой пазухе (гайморита), вызваны заболеванием зубов. Если такое воспаление лечить исключительно у ЛОР-врачей, то эффект будет временным и полного излечения не произойдет. То есть пациенту обеспечены постоянные обострения и рецидивы. При междисциплинарном же подходе вероятность полного излечения гайморита приближается к 90-100%. Среди стоматологических причин гайморита (кстати, гайморит, вызванный заболеваниями, связанными со стоматологией, называется одонтогенным), выделяют несколько основных: Когда зуб можно спасти и приложить к этому максимум усилий-конечно же, когда это имеет смысл и вероятность благоприятного исхода высока. То есть зуб должен быть не катастрофически разрушен (чтобы после восстановления им можно было жевать, а не молиться лишь бы он не раскололся от хлебного мякиша), оснащение и опыт врача должны быть достаточны для проведения такого лечения. Это

Спойлер-все зависит от ситуации.

По статистике, опубликованной в журнале Oral Surgery (Wiley), 51,7% воспалений в гайморовой пазухе (гайморита), вызваны заболеванием зубов. Если такое воспаление лечить исключительно у ЛОР-врачей, то эффект будет временным и полного излечения не произойдет. То есть пациенту обеспечены постоянные обострения и рецидивы. При междисциплинарном же подходе вероятность полного излечения гайморита приближается к 90-100%.

Среди стоматологических причин гайморита (кстати, гайморит, вызванный заболеваниями, связанными со стоматологией, называется одонтогенным), выделяют несколько основных:

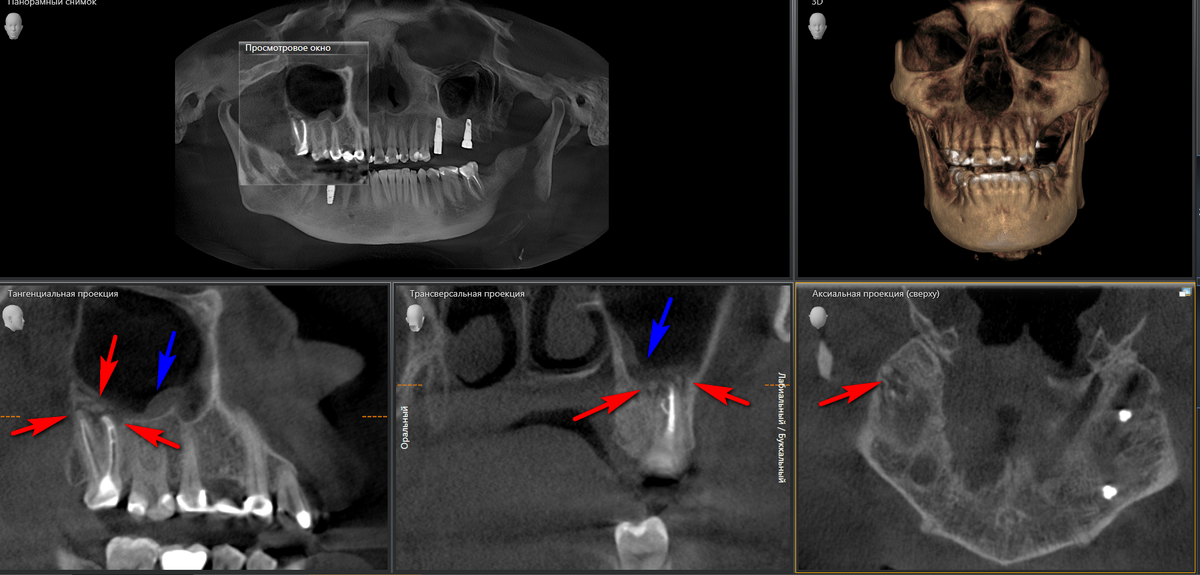
  • Инородные тела в пазухе (инфицированный пломбировочный материал, фрагменты зубов) - примерно 35,5%
  • Повреждение дна пазухи при удалении зубов - почти 31,5%
  • Очаги хронической инфекции от зубов, чьи корни расположены либо в гайморовой пазухе, либо близко к ней - примерно 30%
  • Другие причины - осложнения при имплантации, синуслифтинге и тд. 2-3%

Когда зуб можно спасти и приложить к этому максимум усилий-конечно же, когда это имеет смысл и вероятность благоприятного исхода высока. То есть зуб должен быть не катастрофически разрушен (чтобы после восстановления им можно было жевать, а не молиться лишь бы он не раскололся от хлебного мякиша), оснащение и опыт врача должны быть достаточны для проведения такого лечения. Это базовый минимум для успешного лечения.

Что может осложнить лечение:

  • если при предыдущем лечении в зубе был сломан инструмент (сам по себе это еще не приговор, какие-то отломки можно достать, какие-то обойти рядом инструментом и тем самым создать возможность для дезинфекции канала за этим отломком);
  • если при предыдущем лечении каналы были пройдены не на всю длину и, в результате, канал склерозировался (сильно сузился или совсем пропал в участке, который доктор не прошел до этого), часто такое осложнение встречается после лечения зуба резорцин-формалиновым методом (красные зубы, red russian cement - так их называют за границей);
  • инфицированный пломбировочный материал/инструмент/корень зуба/имплантат, который попал в просвет верхнечелюстной пазухи (гайморовой пазухи) - в этом случае без помощи ЛОР-врача проблему решить скорее всего не получится;
  • чем дольше существует воспаление в зубе, тем глубже микробы проникают в корень и за его пределы, соответственно с ними тяжелее бороться.
  • Если в зубе есть трещина корня, то лечение нецелесообразно и зуб подлежит удалению.

При условии, что все каналы найдены, обработаны и отмыты, а вышеперечисленных осложнений нет, то очень часто достаточно только лечения корневых каналов для устранения одонтогенного гайморита.

Если же вылечить гайморит эндодонтическим путем не получается, то для сохранения зуба и устранения причины, дополнительно проводится апикальная хирургия врачом стоматологом-хирургом совместно с терапевтом, и опционно гайморотомия у ЛОР-врачей. Если и эти манипуляции не приводят к стойкому успеху, то тогда уже приходится удалять зуб.