Добавить в корзинуПозвонить
Найти в Дзене
Ильинская больница

Клинический случай: отсроченная боль в грудной клетке после травмы - перелом ребра и ушиб лёгкого

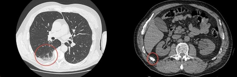
В отделение экстренной помощи обратился пациент 61 года. Неделю назад он упал во время катания на лыжах. В сторонней клинике был диагностирован перелом плечевой кости, выполнена иммобилизация руки косынкой. Существенных жалоб со стороны грудной клетки в тот момент пациент не отмечал. За сутки до обращения в Ильинскую больницу появилась локальная боль в грудной клетке, чётко усиливающаяся при глубоком вдохе. С учётом механизма травмы выполнена компьютерная томография органов грудной клетки, по данным которой выявлены перелом XII ребра и очаг ушиба лёгкого. Отсроченное появление боли при травмах грудной клетки — распространённая клиническая ситуация. В первые дни после травмы болевой синдром может быть минимальным за счёт компенсаторного ограничения дыхательных движений, перераспределения нагрузки и фокуса пациента на более выраженную боль в другой зоне повреждения, в данном случае — в области плеча. По мере нарастания локального воспалительного ответа, отёка мягких тканей и микрокровоиз

В отделение экстренной помощи обратился пациент 61 года. Неделю назад он упал во время катания на лыжах. В сторонней клинике был диагностирован перелом плечевой кости, выполнена иммобилизация руки косынкой. Существенных жалоб со стороны грудной клетки в тот момент пациент не отмечал.

За сутки до обращения в Ильинскую больницу появилась локальная боль в грудной клетке, чётко усиливающаяся при глубоком вдохе. С учётом механизма травмы выполнена компьютерная томография органов грудной клетки, по данным которой выявлены перелом XII ребра и очаг ушиба лёгкого.

Отсроченное появление боли при травмах грудной клетки — распространённая клиническая ситуация. В первые дни после травмы болевой синдром может быть минимальным за счёт компенсаторного ограничения дыхательных движений, перераспределения нагрузки и фокуса пациента на более выраженную боль в другой зоне повреждения, в данном случае — в области плеча. По мере нарастания локального воспалительного ответа, отёка мягких тканей и микрокровоизлияний в зоне перелома и ушиба лёгкого болевой синдром становится более выраженным и клинически значимым.

Характер боли, усиливающейся при глубоком вдохе, связан с анатомией грудной клетки. При дыхании рёбра активно смещаются, происходит натяжение межрёберных мышц и париетальной плевры. При переломе ребра и ушибе лёгочной ткани эти движения сопровождаются раздражением болевых рецепторов, что формирует типичную «плевритическую» боль, усиливающуюся также при кашле, чихании и разговоре.

Даже изолированные переломы рёбер и ограниченный ушиб лёгкого не являются безобидными находками. Болевой синдром приводит к поверхностному дыханию и снижению эффективности кашля, что увеличивает риск развития посттравматической пневмонии. Ушиб лёгкого может иметь тенденцию к прогрессированию в первые дни после травмы, а плевральные осложнения, включая гемоторакс или пневмоторакс, могут формироваться отсроченно. При недостаточном обезболивании возможна хронизация боли и замедление восстановления.

Этот клинический случай подчёркивает важность настороженности при любых болях в грудной клетке после травмы, даже если они появляются не сразу. Усиление боли на вдохе, кашле или движении является показанием к дообследованию, а компьютерная томография грудной клетки остаётся ключевым методом для выявления скрытых переломов рёбер и ушиба лёгкого и своевременного предотвращения осложнений.

Автор: заведующий отделением экстренной помощи по всем медицинским направлениям Эзугбая Бека Сосоевич.