Найти в Дзене
Parodoctor

Боль в ВНЧС, неправильный прикус, отсутствующие зубы- суставная шина (сплинт). Облегчение состояния после установки, клинический случай

Суставные пациенты - особая категория. Не потому, что с ними сложно общаться (хотя бывает и такое), а потому, что им очень легко навредить ещё больше. Любая неосторожная манипуляция в их прикусе, будь то новая коронка, изменение высоты пломбы, удалённый зуб - всё это может разрушить хрупкое равновесие, которое организм выстраивал годами. Поэтому главный принцип в работе с ВНЧС звучит не как "сделать сустав здоровым", а как "улучшить состояние, ввести в ремиссию и не сделать хуже". И это куда сложнее, чем кажется. Сегодня расскажу о том, как мы работаем с суставными пациентами в Parodent. С конкретным случаем, с цифрами и с неприятной правдой о том, чего в этой теме ждать не стоит. Начну с того, о чём многие пациенты слышать не хотят, но правду знать обязаны. Суставы не восстанавливаются. Ни в стоматологии, ни в ортопедии, ни в ревматологии. Если поражение уже затронуло суставной хрящ, диск или костную ткань головки - назад дороги нет. Сустав можно стабилизировать, ввести в ремиссию, о
Оглавление

Суставные пациенты - особая категория. Не потому, что с ними сложно общаться (хотя бывает и такое), а потому, что им очень легко навредить ещё больше. Любая неосторожная манипуляция в их прикусе, будь то новая коронка, изменение высоты пломбы, удалённый зуб - всё это может разрушить хрупкое равновесие, которое организм выстраивал годами.

Поэтому главный принцип в работе с ВНЧС звучит не как "сделать сустав здоровым", а как "улучшить состояние, ввести в ремиссию и не сделать хуже". И это куда сложнее, чем кажется.

Сегодня расскажу о том, как мы работаем с суставными пациентами в Parodent. С конкретным случаем, с цифрами и с неприятной правдой о том, чего в этой теме ждать не стоит.

Дисфункция ВНЧС - почему суставы челюсти сложнее в замене, чем суставы тазобедренные

Начну с того, о чём многие пациенты слышать не хотят, но правду знать обязаны.

Суставы не восстанавливаются. Ни в стоматологии, ни в ортопедии, ни в ревматологии. Если поражение уже затронуло суставной хрящ, диск или костную ткань головки - назад дороги нет. Сустав можно стабилизировать, ввести в ремиссию, остановить разрушение. Но вернуть утраченное не получится.

С тазобедренными суставами медицина нашла выход и их научились хорошо заменять. Эндопротезирование - предсказуемая, отработанная операция, спасающая качество жизни.

С ВНЧС же всё принципиально иначе. Технически, операции по замене височно-нижнечелюстного сустава существуют - хирурги проводят их уже давно и за это время перешли от стандартизированных протезов к индивидуальным, изготовленным с помощью 3D-моделирования. Но это операция совершенно другого порядка, сустав расположен в непосредственной близости от основания черепа, поэтому в бригаду входят нейрохирурги, сосудистые хирурги, отоларингологи. Показания - тяжёлые дефекты и деформации, при которых открыть рот уже почти невозможно. И даже в таких случаях опытный хирург никогда не обещает вернуть всё "как было".

Щелчки, боли, просто проблемы с открыванием рта - не показания для операции подобного рода. На неё идут тогда, когда жить с проблемой дальше не получается.

Почему же замена - не решение для большинства? Потому что ВНЧС устроен принципиально иначе, чем тазобедренный или коленный сустав. Он работает одновременно в трёх плоскостях - открывание и закрывание, движения вперёд-назад, смещения вправо-влево. К нему "подвязано" слишком много всего - зубы с их контактами, жевательные мышцы с их перегрузками, связки, костные структуры. Просто заменить это титановым аналогом и жить дальше - не получится. Нужно пересобирать всю челюстно-лицевую систему заново. Но и это не гарантирует, что в перспективе не случится проблем.

Щелчки в суставе и боли при жевании - когда это уже не норма

Симптомы дисфункции ВНЧС часто путают с чем угодно другим - c головной болью, проблемами с ухом, шейным остеохондрозом, стрессом. Пациенты могут годами ходить к неврологам и ЛОРам, пока кто-то, наконец, не посмотрит в сторону сустава.

Вот на что стоит обратить внимание:

  • щелчки и хруст при открывании рта;
  • ограничение открывания рта - широко рот открыть не получается;
  • боль или напряжение в висках, перед ухом, в жевательных мышцах;
  • головные боли по утрам - особенно, если сжимаете зубы ночью (бруксизм);
  • ощущение, что зубы смыкаются как-то не так, хотя раньше всё было нормально.

Ничего из этого не появляется вдруг. Просто до какого-то момента система челюстно-лицевая держалась сама за счёт резервов. А потом резервы закончились. Обычно в самый неподходящий момент организм начинает сдавать.

При этом важно понимать, что не каждый щелчок является поводом для лечения! Иногда это просто анатомическая особенность, которая не прогрессирует и не причиняет вреда. Разграничить одно от другого может только врач после осмотра и, при необходимости, оценки данных МРТ.

Гнатология (как и пародонтология) - не существующая в РФ специальность

Прежде чем идти к гнатологу, важно понимать, что такой специализации в российском здравоохранении официально не существует. Официального сертификата и диплома, как на ту же ортодонтию, получить не выйдет. И в клиниках нет лицензии на "гнатологию". Это либо дополнительное образование врача-стоматолога на платных курсах (тут важно их качество), либо (и это встречается нередко) - просто маркетинговое звание.

Человеку с реальной суставной проблемой могут навязывать бесконечные дорогостоящие "гнатологические" приёмы, которые ничего принципиально не меняют в лучшую сторону. Пациент ходит, платит, продолжает страдать и усугубляет своё состояние.

Но верно и противоположное. Тому, кому суставная работа действительно нужна, её могут не предлагать вовсе. Лечат зубы, ставят коронки, не задумываясь о том, что происходит с суставом. А там уже давно что-то происходит. И время упущено, состояние патовое.

Я считаю, что ортодонты и ортопеды должны оценивать состояние суставов у каждого обратившегося пациента перед началом работ - у нас аппарат КТ захватывает ВНЧС, это очень важно. Не для галочки, а потому что без этого невозможно нормально планировать ни ортодонтическое лечение, ни протезирование, ни имплантацию. Если нужно, если видим проблему - направляем на МРТ (нужно не всем). Проводим суставные пробы, аксиографию, ТЕНС. Используем лицевой сканер с записью и анализом движений нижней челюсти - он объединяет данные КЛКТ, внутриротового сканирования и сканирования лица и "подключает" к этому запись реальных движений челюсти. Не интуиция, не клинический "глаз" в одиночку - врачи опираются на цифровые протоколы, а не только на свои глаза.

Клинический случай - ротация суставных головок, боль и суставная шина

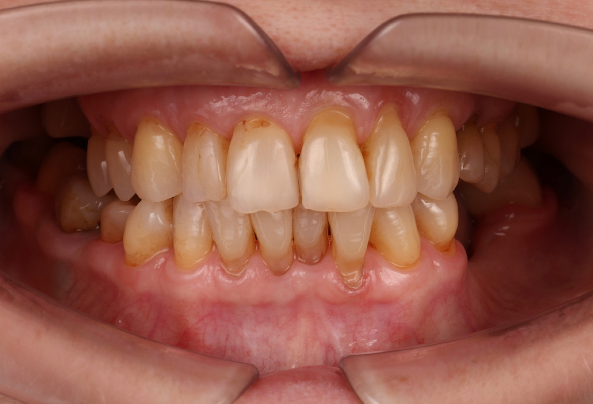
Пациентка попала к ортодонту Марии Сергеевне с нарастающими болями в суставах и жевательных мышцах. Исходная картина - неправильный прикус и частичное отсутствие жевательных зубов.

Уже в этом наборе содержится готовая формула перегрузки. Как пародонтолог отмечу, что пародонтита (воспалительное заболевание) тут нет. Когда жевательных зубов не хватает, нагрузка перераспределяется на те, что остались, а ещё на мышцы и на суставы. Неправильный прикус, смещение суставных головок... Система долгое время всё это компенсировала и, в конце концов, исчерпала ресурс (пациентке чуть больше 60 лет).

Рецессии, скученность, истираемость, сколы
Рецессии, скученность, истираемость, сколы

Первый шаг назначает ортодонт - МРТ. Без него двигаться дальше невозможно, так как нужно увидеть, что происходит внутри сустава, где расположены суставные головки, есть ли изменения диска.

А дальше я и вовсе передаю слово Марии Сергеевне. Этот случай лучше неё никто не опишет.

Суставная шина (сплинт)
Суставная шина (сплинт)

"Мы сегодня сдали пациентке суставную шину - она же сплинт. Жалобы болевого характера в последнее время нарастали. По данным МРТ и КТ - нарушение положения суставных головок: одна смещена назад, другая вперёд. Это называется ротация суставных головок.

Сплинт на нижней челюсти, рот приоткрыт
Сплинт на нижней челюсти, рот приоткрыт

Мы проанализировали возможности изменения их положения, запланировали всё в цифровом протоколе, оценили движения, при которых улучшается позиция нижней средней линии. Запланировали дистракцию на полтора миллиметра (увеличение верхнего пространства суставной щели) и ротацию - в правом суставе вперёд, в левом назад.

Сплинт на нижней челюсти, рот закрыт
Сплинт на нижней челюсти, рот закрыт

Рассчитываем, что терапевтическая позиция суставных головок будет найдена через 3-4 месяца. После этого примем решение о следующем этапе. Это либо ортодонтическое лечение (элайнеры, брекеты), либо ортопедическая работа (коронки, окклюзионные накладки). А, возможно, и то, и другое.

Пациентка прямо на приёме почувствовала себя лучше. Ей было достаточно комфортно сразу же».

Суставная шина на нижней челюсти
Суставная шина на нижней челюсти

Суставная шина (сплинт) - что это, зачем и на сколько

Суставная шина - это не лечение в привычном понимании. Это диагностико-терапевтический инструмент. Это индивидуально изготовленная твердая и толстая капа, которая фиксирует нижнюю челюсть в заданном положении - в том, которое врач рассчитал как терапевтическое для конкретного пациента.

Задача шины - перевести суставные головки из неправильного положения в более анатомически корректное. Снять мышечный спазм, дать суставу возможность "успокоиться".

Если пациенту комфортно с шиной уже на первом приёме, то шину можно носить сразу по 20 часов в сутки. Пациенты, как правило, не возражают - когда боль уходит, то капа воспринимается как облегчение, а не как неудобство.

Сколько носить? У всех по-разному. Обычно от 3 до 12 месяцев. За это время нервно-мышечная система привыкает к новому положению и "запоминает" его. И только тогда можно переходить к следующему этапу.

Шина - не на всю жизнь. Это лишь подготовительный этап - мы проверяем, как организм реагирует на новое положение суставов, комфортно ли ему в долгосрочной перспективе. И только получив устойчивый положительный ответ "да" от организма - фиксируем полученный результат.

Чем именно фиксируем - зависит от ситуации. Брекеты, элайнеры, коронки, виниры, окклюзионные накладки. Всё индивидуально.

Компенсаторные силы организма

Я часто говорю об этом и повторю здесь ещё раз. Свои родные зубы даже у самого беспечного пациента обладают удивительной адаптивностью. Они прощают многое - неправильный прикус, перегрузки. Пародонт амортизирует, мышцы перераспределяют усилие, сустав приспосабливается. Организм работает в режиме компенсации - тихо, незаметно, годами.

Но резерв у каждого свой. И когда он заканчивается - это неожиданно неприятно. Нарастающая боль, щелчки, которых раньше не было. Совсем страшно - ограничение открывания рта, появившееся впервые.

Но ничего не появляется вдруг и случайно. Просто система до этого держалась как-то.

С суставными пациентами нельзя торопиться, но и затягивать нельзя. Сначала требуется полная диагностика - МРТ, цифровой анализ движений, оценка позиции суставных головок. Потом поиск терапевтического положения. Затем - ожидание ответа организма. И только на финише и в безопасности - фиксация полученного результата.

Усугубить ситуацию неправильными действиями очень легко и это не страшилка. Это просто правда о том, как устроен ВНЧС.

Вывод

Если у вас болит в районе уха или виска при жевании, щёлкает или хрустит челюсть, ограничено открывание рта или болит голова по утрам - не ждите, пока пройдёт само.

Это сигнал и он требует качественной диагностики.

Хороший итог суставного лечения - это не обязательно шина. Это правильный диагноз, честный прогноз и план, соразмерный ситуации. Без лишнего ненужного! Но и без того, чтобы оставить пациента один на один с болью, которая нарастает, приближая его инвалидность.

Зубы прощают многое. Суставы - уже меньше. Но и с суставами можно работать, если делать это вдумчиво, не торопясь и с уважением к тому, что организм уже сделал сам.

Напоминаю - ортодонтов очень много, а хороших - очень мало. Цена ошибки в этом деле слишком велика.

Больше ортодонтических случаев и материалов в подборке:

Ортодонтические варианты | Parodoctor | Дзен

Если вам интересны подобные клинические истории - подписывайтесь на канал Parodoctor в Telegram и в MAX, возможность писать комментарии открыта на всех площадках. Там я рассказываю о стоматологии без прикрас: сложные случаи, нестандартные решения и то, что остаётся за кадром обычного приёма. Именно там я отвечаю на вопросы подписчиков, привлекая к ответам врачей команды, если это требуется.

Телеграмм:

Parodoctor

МАХ:

Parodoctor

С уважением, Лежачёва Наталия Александровна, хирург-пародонтолог и главный врач стоматологии Parodent, СПб.