Найти в Дзене

Обнаружили кавернозную ангиому на МРТ: что это значит?

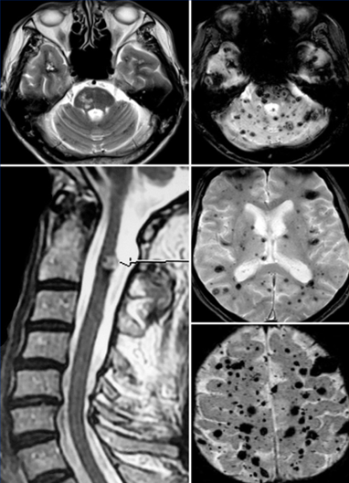
Кавернозные ангиомы - тема, которая почти всегда вызывает тревогу: на МРТ находят «сосудистое образование», и человек сразу думает про операцию или срочное лечение. На деле часто правильная тактика - спокойное наблюдение. Объясню простыми словами, чем кавернома отличается от АВМ и когда действительно нужно лечение. Кавернома (кавернозная ангиома) - это «клубочек» расширенных мелких сосудов, похожий на губку. Кровоток внутри него медленный. Именно поэтому каверномы часто ведут себя спокойно и годами никак не проявляются. Кавернома - это не опухоль. Это сосудистая особенность, которая у части людей обнаруживается случайно. 🌍Распространённость в популяции: 0,4–0,8% Этиология: •Спорадические — 80-90% случаев •Наследственные (аутосомно-доминантные) - до 20%, характеризуются множественностью. •Радио-индуцированные - очень редко (около 0,5%) Локализация: •Супратенториальные — 70–80% •Ствол головного мозга — 15–25% •Мозжечок, базальные ганглии и спинной мозг — около 5-10% Размеры: от малых (
Оглавление

Кавернозные ангиомы - тема, которая почти всегда вызывает тревогу: на МРТ находят «сосудистое образование», и человек сразу думает про операцию или срочное лечение.

На деле часто правильная тактика - спокойное наблюдение.

Объясню простыми словами, чем кавернома отличается от АВМ и когда действительно нужно лечение.

Кавернома (кавернозная ангиома) - это «клубочек» расширенных мелких сосудов, похожий на губку. Кровоток внутри него медленный. Именно поэтому каверномы часто ведут себя спокойно и годами никак не проявляются.

-2

Кавернома - это не опухоль. Это сосудистая особенность, которая у части людей обнаруживается случайно.

🌍Распространённость в популяции: 0,4–0,8%

Этиология:

•Спорадические — 80-90% случаев

•Наследственные (аутосомно-доминантные) - до 20%, характеризуются множественностью.

•Радио-индуцированные - очень редко (около 0,5%)

Локализация:

•Супратенториальные — 70–80%

•Ствол головного мозга — 15–25%

•Мозжечок, базальные ганглии и спинной мозг — около 5-10%

Размеры: от малых (1-2 мм) до гигантских (6 -7 см)

Возраст манифестации: от 20 до 50 лет; около 25% - в детском возрасте

Клиническая манифестация:

•Эпилептические приступы — 40–70% пациентов (до 80% при кортикальной локализации);

•Типичная картина внутримозгового кровоизлияния — 20–40% пациентов (частота – от 3,5% до 10% в год);

•Подостро развивающаяся очаговая неврологическая симптоматика — чаще при глубинной и стволовой локализации;

•Бессимптомное течение — до 20–30% (случайная находка при МРТ).

Лечение каверном

➡Золотой стандарт – микрохирургическое удаление.

➡Радиохирургия - как альтернатива хирургического лечению.

➡Консервативное лечение: симптоматическое лечение, динамическое наблюдение.

Показания к радиохирургии

В отличие от артериовенозных мальформаций, где радиохирургия направлена на полное закрытие (облитерацию) сосуда, при каверномах цель иная. Из-за особенностей строения каверномы не исчезают полностью. Задача облучения — вызвать утолщение стенок и склерозирование сосудов, что снижает риск разрыва.

Поэтому радиохирургия рекомендуется в следующих случаях:

Труднодоступное расположение: Каверномы ствола мозга, таламуса или подкорковых узлов, где хирургическое вмешательство сопряжено с высоким риском инвалидизации пациента .

Агрессивное клиническое течение: Наличие двух и более кровоизлияний в анамнезе или прогрессирующий неврологический дефицит.

Эпилепсия: В случаях, когда кавернома является доказанной причиной судорожных припадков, резистентных к противосудорожным препаратам.

Режимы и дозы облучения

Облучение проводится однократно (в один сеанс). Выбор дозы — это баланс между эффективностью и безопасностью.

Стандартная доза: Большинство центров придерживается дозы на край мальформации в пределах 12–15 Гр . Более высокие дозы (16–17 Гр) могут применяться для небольших каверном, расположенных вне критических зон .

Доза и локализация: Для стволовых структур дозу стремятся снижать (до 11–12 Гр), чтобы минимизировать риск отека и повреждения ядер черепных нервов .

Ограничения по объему: Чем больше объем, тем выше риск осложнений. Исследования показывают, что при объеме более 0,7–1,0 см³ и дозе свыше 13 Гр риск постлучевых изменений (отека, некроза) возрастает .

Противопоказания и ограничения

Важно понимать, что радиохирургия не является универсальной заменой операции.

Масс-эффект: Если кавернома или гематома сдавливает мозг и вызывает смещение структур (дислокацию), необходимо хирургическое вмешательство для срочной декомпрессии. Радиохирургия в острой фазе не применяется.

Судорожный синдром: Хотя радиохирургия может уменьшить частоту приступов, при эпилепсии, связанной с поверхностно расположенными каверномами, хирургическое удаление часто более эффективно.

Сложность верификации: Каверномы часто сочетаются с венозными ангиомами. Облучать венозную ангиому нельзя — это может привести к нарушению венозного оттока и венозному инфаркту. Поэтому перед лечением необходимо точно убедиться, что мишень — именно кавернома.

Резюме

Радиохирургия — это вариант лечения для пациентов с «неудобными» для скальпеля, но опасными (кровоточащими) каверномами. Доза обычно составляет около 13-15 Гр, а основной эффект в виде снижения риска кровотечения наступает спустя два года.