Найти в Дзене

✨ Заботьтесь о своей улыбке: профессиональная гигиена — залог красивых и здоровых зубов

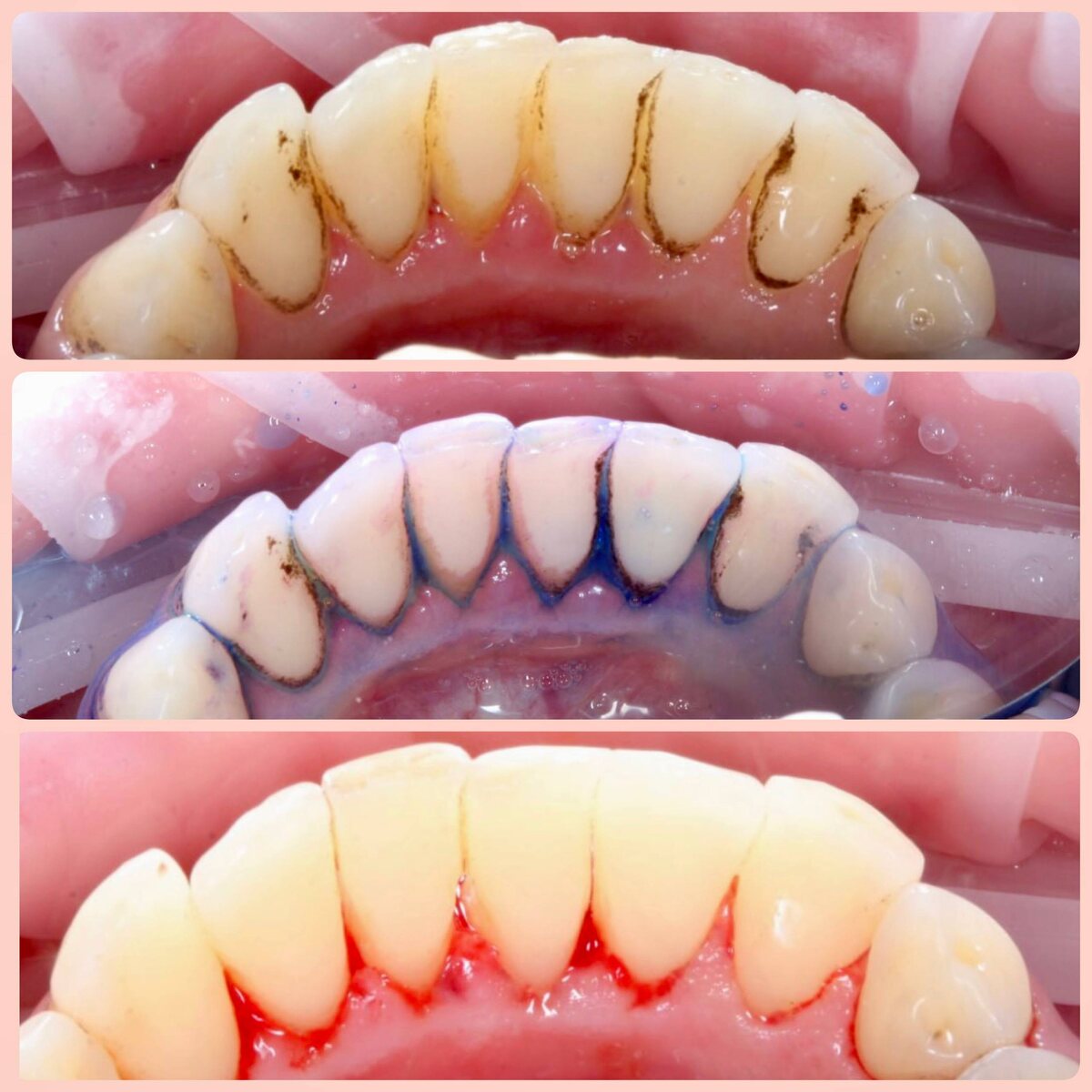
! ✨ Зачем делать профессиональную гигиену у стоматолога? 🔹 Удаление зубного камня и налёта — предотвращение кариеса и воспаления десен 🔹 Улучшение общего состояния полости рта 🔹 Обеспечение свежести дыхания на долгое время 🔹 Восстановление естественной белизны зубов и их привлекательности Профессиональная гигиена — это не только чистка, а комплекс мер по уходу за улыбкой, который помогает сохранить здоровье на долгие годы. Не откладывайте визит — заботьтесь о своих зубах регулярно! Ваша улыбка заслуживает особого внимания! 😁 Работа выполнена терапевтом Барановой Д.А

✨ Заботьтесь о своей улыбке: профессиональная гигиена — залог красивых и здоровых зубов! ✨

Зачем делать профессиональную гигиену у стоматолога?

🔹 Удаление зубного камня и налёта — предотвращение кариеса и воспаления десен

🔹 Улучшение общего состояния полости рта

🔹 Обеспечение свежести дыхания на долгое время

🔹 Восстановление естественной белизны зубов и их привлекательности

Профессиональная гигиена — это не только чистка, а комплекс мер по уходу за улыбкой, который помогает сохранить здоровье на долгие годы.

Не откладывайте визит — заботьтесь о своих зубах регулярно! Ваша улыбка заслуживает особого внимания! 😁

Работа выполнена терапевтом Барановой Д.А

-2