Добавить в корзинуПозвонить
Найти в Дзене

Можно ли проводить ортодонтическое лечение без рентгена?

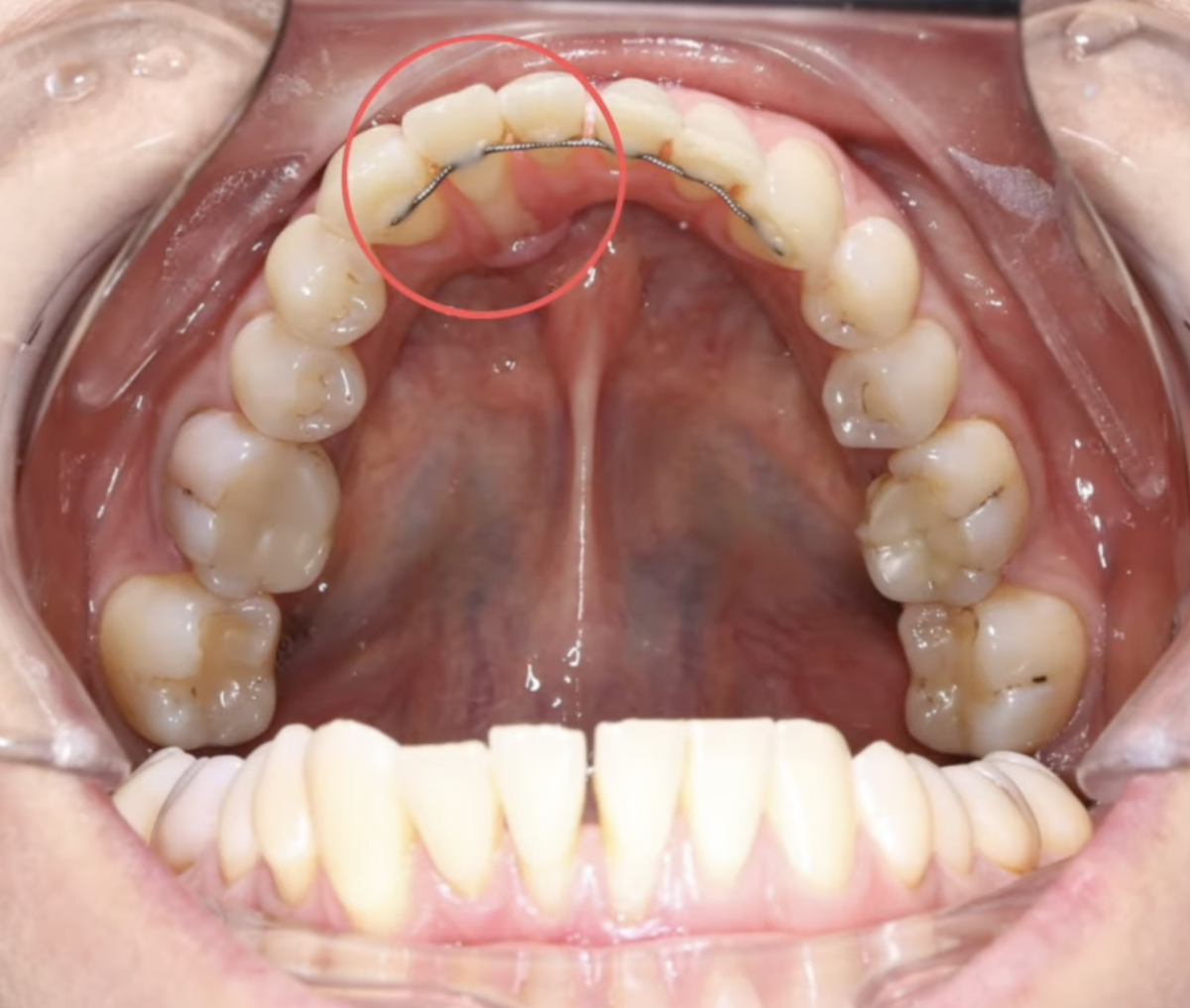
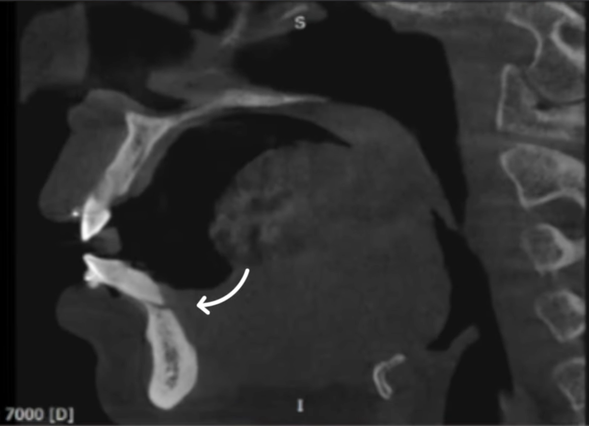
«Ну как это без рентгена нельзя проводить ортодонтию?» — возразите вы. Конечно можно: приклеить брекеты и вперёд. А вот к каким последствиям это может приводить, я сейчас расскажу. Самое грозное осложнение — рассасывание корней зубов с возможностью их потери. Об этом мы подробно рассказали в прошлой статье. Но есть и другое, не менее серьёзное осложнение — выход корней зубов из костной ткани. К нам в клинику обратилась пациентка за повторным ортодонтическим лечением. Ранее она уже проходила лечение. Обратите внимание на нижнюю челюсть. Зуб №42 — с язычной стороны мы видим достаточно сильное оголение корня. Теперь посмотрим на данные компьютерной томографии. Что мы видим: То есть перед нами классический пример выхода корня зуба за пределы кортикальной пластинки. Я думаю, что одна из основных причин — устранение скученности резцов при помощи «расчепиздривания». То есть зубы просто «расчепиздрили» — и они, в общем, «расчепиздрились». Корень зуба просто вышел за пределы костной ткани.
Мож
Оглавление

«Ну как это без рентгена нельзя проводить ортодонтию?» — возразите вы. Конечно можно: приклеить брекеты и вперёд.

А вот к каким последствиям это может приводить, я сейчас расскажу.

Самое грозное осложнение — рассасывание корней зубов с возможностью их потери. Об этом мы подробно рассказали в прошлой статье.

Но есть и другое, не менее серьёзное осложнение — выход корней зубов из костной ткани.

Клинический случай

К нам в клинику обратилась пациентка за повторным ортодонтическим лечением. Ранее она уже проходила лечение.

Обратите внимание на нижнюю челюсть.

Зуб №42 — с язычной стороны мы видим достаточно сильное оголение корня.

Теперь посмотрим на данные компьютерной томографии.

-2

Что мы видим:

  • полное отсутствие костной ткани вокруг части корня
  • небольшую резорбцию верхушки корня
  • корень практически полностью вышел за пределы костной ткани
  • частичную утрату связочного аппарата
  • рецессию десны

То есть перед нами классический пример выхода корня зуба за пределы кортикальной пластинки.

Почему это происходит

Я думаю, что одна из основных причин — устранение скученности резцов при помощи «расчепиздривания».

То есть зубы просто «расчепиздрили» — и они, в общем, «расчепиздрились». Корень зуба просто вышел за пределы костной ткани.

Можно сказать так: абонент вышел за пределы сети. Примерно то же самое произошло и здесь.

Что нужно делать, чтобы этого избежать

Главное правило — не впихивать невпихуемое.

Если у нас маленькая челюсть и много зубов, то есть два варианта решения:

  1. увеличивать челюсть
  2. уменьшать количество зубов

Как минимум можно было сделать сепарации — уменьшить размеры зубов, чтобы они могли поместиться в челюсти.

-3

Другой клинический случай

Вот клинический пример того, как такое осложнение удалось предотвратить в нашей клинике.

У нас внедрены протоколы контроля положения корней зубов в процессе ортодонтического лечения.

До лечения — корень зуба стоит на грани, костной ткани мало, но она есть.

До начала ортодонтического лечения
До начала ортодонтического лечения

Во время лечения — корень вместе с зубом вышел за пределы костной ткани (с небольшой резорбцией).

В процессе ортодонтического лечения
В процессе ортодонтического лечения

Мы это вовремя увидели и поняли, что зуб нужно возвращать на место.

На следующей компьютерной томографии видно, что корень удалось вернуть вглубь костной ткани.

-6

Что это дало:

  • не будет рецессии десны
  • сохранится связочный аппарат зуба
  • прогноз для зуба станет хорошим

Да, это может быть не идеальное ведение случая. Но это предотвращение серьёзной проблемы, которая могла бы возникнуть, если бы мы не сделали контрольную томографию.

Почему важно делать КТ перед снятием брекетов

Теперь ещё один клинический пример.

Посмотрите на данные компьютерной томографии — как стоят седьмые зубы.

-7

Вот пример того, как они должны стоять

-8

Мы видим:

  • язычный наклон нижнего седьмого зуба
  • контакт с верхним зубом только краешком бугров

Увидеть это просто глазами в полости рта практически невозможно.

С дальними зубами это всегда проблема:

  • шестые зубы ещё иногда можно увидеть
  • а как смыкаются седьмые — зачастую вообще непонятно

Поэтому наш врач-ортодонт перед снятием брекетов решил убедиться, что всё хорошо. И оказалось, что лечение пока рано завершать. Зубы нужно было дотянуть, чтобы контакты стали максимально плотными.

Почему это важно

Плотность окклюзионных контактов во всех отделах зубного ряда имеет решающее значение для стабильности результата лечения.

Поэтому этот этап крайне важен.

Откуда берутся такие протоколы

Часто спрашивают, почему нужно делать компьютерную томографию:

  • раз в полгода
  • перед снятием ортодонтической аппаратуры

Ответ простой. Такие протоколы появляются из-за ошибок.

Например, у одного из своих детей я однажды проглядел положение седьмых зубов. Это обнаружилось уже после снятия брекетов на гипсовых моделях, потому что компьютерная томография тогда не была сделана.

И именно такие ситуации подсказали нам, что необходимо внедрять новые протоколы контроля. Что мы и сделали.

Работа с ошибками

Нет людей, которые не ошибаются. Но есть люди, которые не работают со своими ошибками.

Я рекомендую к прочтению книгу Принцип «Чёрного ящика». Она посвящена тому, как правильно работать с ошибками.

Изначально этот принцип используют лётчики, поэтому авиация считается одним из самых безопасных видов транспорта.

Как это реализовано в нашей клинике

У нас внедрена система разбора ошибок.

Например:

  • у врачей есть таблица «Косяки врачебного процесса»
  • у медицинских сестёр — своя
  • у администраторов — своя
  • есть также общая сводная таблица
-9

В этих таблицах разбираются все ошибки, чтобы их видел весь коллектив.

Именно на основе таких разборов мы:

  • корректируем протоколы лечения
  • создаём новые алгоритмы
  • совершенствуем работу клиники

Это помогает совершать ошибки как можно реже.

Если у вас остались вопросы — задавайте их в комментариях.

А также приглашаем вас в наши соцсети: телеграм-канал, ВК, MAX. Там мы каждую среду публикуем видео-ответы на ваши вопросы и обсуждаем актуальные стоматологические темы!

Ставьте лайк, подписывайтесь и всего вам хорошего.