Добавить в корзинуПозвонить
Найти в Дзене

Рассасывание корней зубов при ортодонтическом лечении: о чем важно знать заранее

Ортодонтическое лечение несет в себе массу опасностей, и о некоторых из них мы уже рассказывали. Сегодня разберем еще одно серьезное последствие — рассасывание корней зубов. Давайте расскажу на примере истории. Ко мне обратилась пациентка, проходившая лечение на брекет-системе 3,5 года.
Изначально была выраженная скученность: маленькие челюсти и большое количество зубов. Зубы выпрямляли так, чтобы «уместить» их в зубную дугу. На компьютерной томографии мы увидели следующее: корни четырех верхних резцов укоротились практически в три раза. При этом сами зубы наклонились вперед — сформировалась протрузия. Это состояние уже невозможно вернуть обратно. Корни рассосались окончательно и бесповоротно. Скелетные формы аномалий не всегда корректно решать только брекетами. В ряде случаев требуется хирургическое вмешательство. Важно честно сказать: в моей практике был похожий случай. Пациент с дистальной окклюзией, глубоким прикусом, отсутствием части постоянных зубов (первичная адентия), наличие
Оглавление

Ортодонтическое лечение несет в себе массу опасностей, и о некоторых из них мы уже рассказывали. Сегодня разберем еще одно серьезное последствие — рассасывание корней зубов.

Клинический пример

Давайте расскажу на примере истории. Ко мне обратилась пациентка, проходившая лечение на брекет-системе 3,5 года.

Изначально была выраженная скученность: маленькие челюсти и большое количество зубов.

Зубы выпрямляли так, чтобы «уместить» их в зубную дугу.

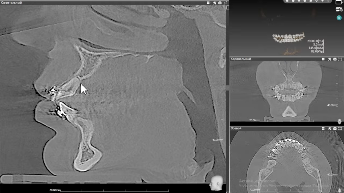
На компьютерной томографии мы увидели следующее: корни четырех верхних резцов укоротились практически в три раза.

При этом сами зубы наклонились вперед — сформировалась протрузия.

Это состояние уже невозможно вернуть обратно. Корни рассосались окончательно и бесповоротно.

Почему это могло произойти?

  1. Попытка «впихнуть невпихуемое» — сохранить все зубы без удаления или расширения челюсти.
  2. Возможная дистальная окклюзия — нижняя челюсть смещена кзади.
  3. Очень длительное лечение. Чем дольше длится лечение, тем больше риск рассасывания корней.

Скелетные формы аномалий не всегда корректно решать только брекетами. В ряде случаев требуется хирургическое вмешательство.

Клинический пример из моей практики

Важно честно сказать: в моей практике был похожий случай.

Пациент с дистальной окклюзией, глубоким прикусом, отсутствием части постоянных зубов (первичная адентия), наличием молочных зубов на их месте — сложная окклюзионная схема.

-2
-3

Лечение заняло 3,5–4 года.

Удалось добиться красивой улыбки, правильного резцового перекрытия и хороших окклюзионных контактов.

-4
-5

Но на контрольной КТ стало видно: примерно треть длины корня резцов была утрачена.

КТ до начала лечения
КТ до начала лечения
КТ под конец лечения
КТ под конец лечения

Причина — значительная дистализация. При перемещении зуб уперся в плотную кортикальную пластинку. Вместо того чтобы рассосалась кость, частично рассосался корень. Это необратимо.

Да, такие зубы могут стоять долго. Да, катастрофы может не произойти.

Но их ресурс снижен, требуется осторожность: не перегружать, не откусывать твердые предметы.

Основные причины рассасывания корней нашего случая

  1. Попытка консервативно решить скелетную форму аномалии.
  2. Большой объем перемещения зубов (дистализация более 3 мм становится менее предсказуемой).
  3. Длительное лечение (более 2,5 лет).
  4. Сложная исходная ситуация.
  5. Моя чрезмерная самонадеянность.

Этот опыт стал серьезным профессиональным уроком.

Какие выводы были сделаны

В нашей клинике сформирован новый алгоритм работы:

  • Скелетные формы аномалий — решать хирургическим путем.
  • Минимизировать объем перемещения зубов.
  • Избегать лечения дольше 2,5 лет.
  • Обязательно проводить контрольную КТ не только в начале, но и каждые 6 месяцев для раннего выявления рассасывания.

Этот протокол теперь применяется для каждого ортодонтического пациента.

Важность сбора анамнеза

Перед началом лечения крайне важно исключить заболевания, которые сами по себе могут приводить к выпадению зубов:

  • Гипофосфатазия
  • Синдром Элерса-Данлоса
  • Состояние после лучевой и химиолучевой терапии (особенно в детском возрасте)

Почему это опасно?

При гипофосфатазии снижается уровень щелочной фосфатазы, нарушается минеральный обмен, костная ткань становится рыхлой — зубы теряют опору.

При синдроме Элерса-Данлоса страдает соединительная ткань. При некоторых формах нарушается прикрепление зубов к десне, развивается тяжелый пародонтит и возможна потеря зубов.

После лучевой или химиолучевой терапии может не сформироваться корень зуба. Есть коронка — нет полноценной опоры. Такие зубы легко выпадают, особенно при активном ортодонтическом перемещении.

Нужно ли всем делать генетические анализы?

Нет. Это редкие заболевания. Достаточно грамотного сбора анамнеза, чтобы понять, требуется ли углубленная диагностика.

Мы всегда «пляшем» от анамнеза.

Главный вывод

Ортодонтическое лечение — это серьезный медицинский процесс с реальными рисками.

Важно:

  • осознанно выбирать врача,
  • понимать объем вмешательства,
  • не гнаться за быстрым или «любой ценой» результатом,
  • регулярно контролировать состояние корней.

Ответственный подход позволяет минимизировать риски и сохранить здоровье зубов на долгие годы.

Если вам понравилась статья, поддержите лайком. Также приглашаем вас в наши соцсети: телеграм-канал, ВК, MAX. Там мы каждую среду публикуем видео-ответы на ваши вопросы и обсуждаем актуальные стоматологические темы!