Найти в Дзене

Нашли бляшку со стенозом 30%. Это опасно?

Бывает, пациент приходит с результатом уже выполненного ультразвукового исследования сосудов и задаёт один и тот же вопрос. В заключении описана атеросклеротическая бляшка и стеноз - когда 25%, когда 30%, а когда и больше. Значит ли это, что сосуд уже перекрыт значительно и впереди инфаркт или инсульт? Стеноз 30% означает, что просвет артерии уменьшен примерно на треть. Для кровотока это, как правило, не существенно. В большинстве случаев такие бляшки не вызывают симптомов и не требуют ни операции, ни установки стента. Обычно клинические проблемы возникают, когда сужение достигает 60-70% и более. Но возникает логичный вопрос: если бляшка всего 30%, почему врачи всё равно обращают на неё внимание? Потому, что важна не только степень сужения сосуда. Сам факт наличия бляшки говорит о том, что атеросклероз уже начался. Атеросклероз - системное заболевание, поражающее артерии в любом сосудистом бассейне. Если бляшка появилась в сонной или бедренной артерии, это зачастую означает, что изме
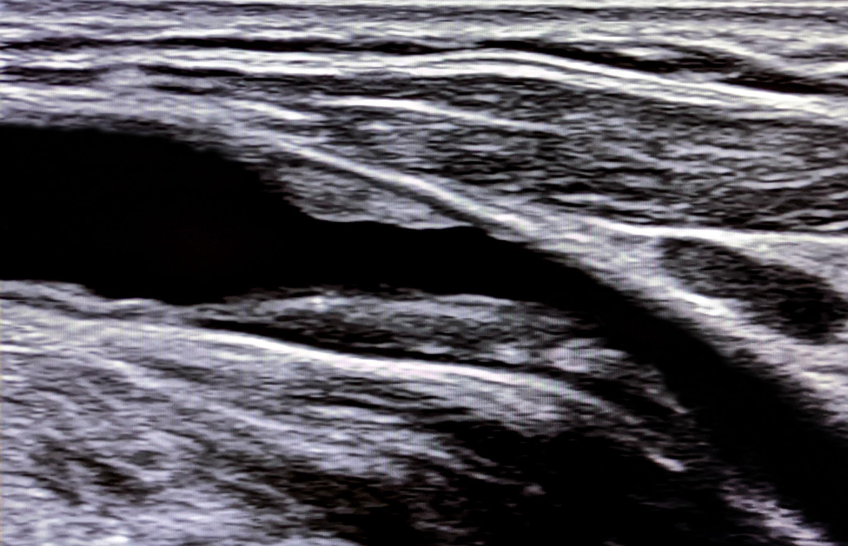
Здесь бляшка создает стеноз побольше, чем 30%
Здесь бляшка создает стеноз побольше, чем 30%

Бывает, пациент приходит с результатом уже выполненного ультразвукового исследования сосудов и задаёт один и тот же вопрос. В заключении описана атеросклеротическая бляшка и стеноз - когда 25%, когда 30%, а когда и больше.

Значит ли это, что сосуд уже перекрыт значительно и впереди инфаркт или инсульт?

Стеноз 30% означает, что просвет артерии уменьшен примерно на треть. Для кровотока это, как правило, не существенно. В большинстве случаев такие бляшки не вызывают симптомов и не требуют ни операции, ни установки стента. Обычно клинические проблемы возникают, когда сужение достигает 60-70% и более.

Но возникает логичный вопрос: если бляшка всего 30%, почему врачи всё равно обращают на неё внимание?

Потому, что важна не только степень сужения сосуда. Сам факт наличия бляшки говорит о том, что атеросклероз уже начался.

Атеросклероз - системное заболевание, поражающее артерии в любом сосудистом бассейне.

Если бляшка появилась в сонной или бедренной артерии, это зачастую означает, что изменения есть и в других сосудах - например, в коронарных артериях или в артериях мозга.

Поэтому врачи рассматривают такую находку прежде всего как маркер повышенного сердечно-сосудистого риска. Риска чего? Инфаркта миокарда, инсульта, смерти.

Это подтверждают и популяционные исследования. Наличие атеросклеротических бляшек в сонных артериях связано с более высокой вероятностью инфаркта и инсульта даже в тех случаях, когда сужение сосуда относительно небольшое.

Просто потому, что то сигнал неблагополучия. В ходе наблюдения за десятками тысяч людей было показано, что у людей с бляшками в сонных артериях риск сердечно-сосудистых событий значительно выше, чем у людей без них.

Есть одна интересная деталь.

Атеросклеротические бляшки на самом деле встречаются гораздо чаще, чем многие думают.

В российских популяционных исследованиях, в том числе в известном проекте ЭССЕ-РФ, ультразвуковое обследование жителей городов показало очень высокую распространённость атеросклероза.

В исследовании, проводившемся в Ивановской области, бляшки в сонных или бедренных артериях обнаруживали примерно у трёх четвертей мужчин и более чем у половины женщин среднего и старшего возраста!

Другими словами, после 45-50 лет такие находки становятся довольно обычными. Но это не означает, что их можно игнорировать. У нас в стране частота инфарктов и инсультов, а также преждевременных смертей от этих причин крайне высокая. В сравнении с Европой.

Интересно, что опасность может определяться не столько размером бляшки, сколько её структурой. Например, если внутри бляшки есть кровоизлияние, и это так называемая "нестабильная бляшка" в сонной артерии, то риск инсульта может увеличиваться примерно в 2-4 раза по сравнению с людьми, у которых таких изменений нет.

Есть и другой парадокс атеросклероза. Долгое время считалось, что инфаркт или инсульт возникают только тогда, когда сосуд сильно сужен. Сейчас известно, что это не всегда так.

Многие острые сосудистые события возникают из-за разрыва бляшек, которые вызывали стеноз менее 50%. Бляшка повреждается, на её поверхности образуется тромб, и сосуд может перекрыться тромбом, а не бляшкой, уже внезапно.

Если на УЗИ обнаружена бляшка со стенозом около 30%, врач обычно оценивает общий сердечно-сосудистый риск. Важно учитывать возраст, уровень артериального давления, наличие диабета, курение, семейную историю сердечно-сосудистых заболеваний.

Сама по себе такая бляшка уже позволяет записать человека в категорию как минимум высокого риска. При наличии усугубляющих факторов (названы выше) категория риска может стать "очень высокий".

Обязательно оценивают липидный профиль, особенно уровень холестерина липопротеинов низкой плотности. Если бляшка уже есть, целевые значения холестерина обычно должны быть ниже, чем у людей без признаков атеросклероза.

Итак, бляшка со стенозом 30% - это не опасная "закупорка" сосуда и не повод для паники. Но это ранний сигнал того, что атеросклероз уже начался. Что биохимические изменения состава крови уже привели к структурным изменениям сосудистой стенки.

И именно на этой стадии есть возможность повлиять на процесс - изменить образ жизни, отрегулировать артериальное давление и уровень холестерина, а также глюкозы, чтобы свести к минимуму риск инфаркта и инсульта в будущем.

Часть материалов, которые не всегда уместны в формате Дзена, я размещаю в телеграм-канале:

https://t.me/drzafiraki