Найти в Дзене
Parodoctor

Рецессия десны из-за прикуса, а не из-за пародонтита - как отличить и почему лечение разное. Разбор клинического случая

"Если дёсны убегают, корни оголяются, то зубы точно скоро выпадут". Знаю, что многих этим стращают. Но, прежде чем паниковать, давайте разберёмся в сути проблемы. Потому что рецессия рецессии рознь и подход к лечению будет разный, в зависимости от первопричины. В конце 2024 года ко мне, как к пародонтологу, на консультацию пришла пациентка. Жалобы классические - дёсны "уползают" куда-то с опасной скоростью, корни зубов оголяются. Страшно. Кажется, что ещё немного - зубы посыпятся изо рта. Посмотрим на срезы КТ: Затем рассматриваю ситуацию во рту - только комплексно можно оценить реальную картину и правильно интерпретировать состояние. Что вижу - признаков хронического воспаления тканей пародонта нет: Это не пародонтит. Это перегрузочный тип рецессий - невоспалительный. А прикус у пациентки весьма интересный. И вот тут начинается ключевой момент - от того, какая причина вызвала рецессию, зависит выбор специалиста для коррекции состояния и для дальнейшего лечения. Потому что два оголен
Оглавление

"Если дёсны убегают, корни оголяются, то зубы точно скоро выпадут". Знаю, что многих этим стращают. Но, прежде чем паниковать, давайте разберёмся в сути проблемы. Потому что рецессия рецессии рознь и подход к лечению будет разный, в зависимости от первопричины.

Оголение корней зубов (рецессии) - жалоба, с которой приходят к пародонтологу

В конце 2024 года ко мне, как к пародонтологу, на консультацию пришла пациентка. Жалобы классические - дёсны "уползают" куда-то с опасной скоростью, корни зубов оголяются. Страшно. Кажется, что ещё немного - зубы посыпятся изо рта.

Посмотрим на срезы КТ:

Затем рассматриваю ситуацию во рту - только комплексно можно оценить реальную картину и правильно интерпретировать состояние. Что вижу - признаков хронического воспаления тканей пародонта нет:

  • дёсны бледно-розовые, плотные;
  • кровоточивости нет;
  • межзубные сосочки на месте;
  • нет деструкции кости, костные перегородки сохранны, костные карманы не определяются.

Это не пародонтит. Это перегрузочный тип рецессий - невоспалительный. А прикус у пациентки весьма интересный.

Состояние до - невоспалительные рецессии
Состояние до - невоспалительные рецессии

И вот тут начинается ключевой момент - от того, какая причина вызвала рецессию, зависит выбор специалиста для коррекции состояния и для дальнейшего лечения.

-3

Потому что два оголения корней могут требовать абсолютно разного подхода.

"Воспалительные рецессии дёсен" - бактериальные, гингивит и пародонтит

Первый тип - рецессии, вызванные воспалением. Это территория гингивита и пародонтита.

При гингивите воспаление затрагивает только десну, кость не поражена, корни не оголяются. Обратимое состояние.

А вот при пародонтите всё гораздо серьёзнее. Воспаление вызывает деструкцию кости, разрушаются костные перегородки, страдают кортикальные пластинки (это определяется по рентгенологическому снимку). Десна теряет опору и "сползает" вниз за костью (которая уже в дефиците), обнажаются корни.

Пародонтит
Пародонтит

Как распознать? Обращаем внимание на комплекс симптомов:

  • Кровоточивость десён - при чистке зубов или спонтанная.
  • Межзубные сосочки - отёчные, гиперемированные (красные), сглаженные.
  • Чёрные треугольники - пространства между зубами, где сосочек "сплющился". При активном воспалении (как на фото выше) сосочки создают видимость своего присутствия. Но как только уйдёт отёк - они "схлопнутся" и уйдут за костью. Вот поэтому некоторым пациентам кажется, что после гигиены качественной стало хуже. На самом же деле хорошо уже и не было. А стало просто адекватно поражению кости.
Весь этот комплекс может свидетельствовать о пародонтите и об ответе иммунной системы на бактерии - поддесневые зубные отложения, микробную биоплёнку.

Такие рецессии затрагивают межзубные сосочки и костные перегородки, оголяя часть корня или корень целиком. По классификации Миллера это 3-4 класс рецессий.

Плохая новость - при потере межзубных сосочков и костных перегородок полностью закрыть оголённые корни хирургически на 100% нельзя.

"Невоспалительные рецессии дёсен" - когда причина в прикусе, а не в бактериях

Второй тип - рецессии без воспаления. Десна бледно-розовая, плотная, не кровоточит. Межзубные сосочки сохранны (или почти сохранны, от степени перегрузки зависит), костные перегородки целые.

Но корни тоже оголяются. Почему?

Потому что ткани пародонта перегружены. Неправильный прикус создаёт избыточное давление на отдельные зубы, и десна в этих зонах "уползает". Но не из-за бактерий, а из-за механики.

По Миллеру это 1–2 класс рецессий. Они могут быть очень глубокими и очень широкими, но (и это ключевое) - их можно закрыть. При помощи пластики десны с использованием соединительнотканного трансплантата. Да, не всегда за один этап, если рецессии обширные и множественные. Но успех реален.

А бывает сочетание факторов той или иной степени вовлечённости. Скуенность, перегрузка - всё это усугубляет течение воспалительных заболеваний.

Больше перегрузочного компонента, но есть и воспалительный
Больше перегрузочного компонента, но есть и воспалительный

Воспаление и перегрузка - разный подход к лечению

Воспаление - пациент направляется на профессиональную гигиену и очищение корней от поддесневых зубных отложений. Это серьёзная, кропотливая работа - убрать причину воспаления, остановить разрушение кости, стабилизировать ситуацию. Ввести состояние в ремиссию. Не вылечить - кость не вырастает заново.

Перегрузка - пациент направляется к ортодонту. На гигиену тоже, но в этом случае она не столь масштабная манипуляция. Главное и важное - исправить прикус, убрать перегрузку, устранить причину.

Исправление прикуса элайнерами при рецессии десны - результат через год

Вернёмся к нашей пациентке. Если вы тему усвоили, то увидите, что воспаления нет в её случае, кость цела.

Значит, рецессии перегрузочные.

Прикус интересный - скелетный третий класс, это когда нижняя челюсть выдвинута вперёд. Плюс перекрёстное смыкание в боковом отделе - нижние зубы перекрывали верхние, что создавало вынужденное положение челюсти.

Передаю пациентку в руки ортодонта Снитковой Ксении Владимировны. С начала 2025 года идёт коррекция прикуса на элайнерах.

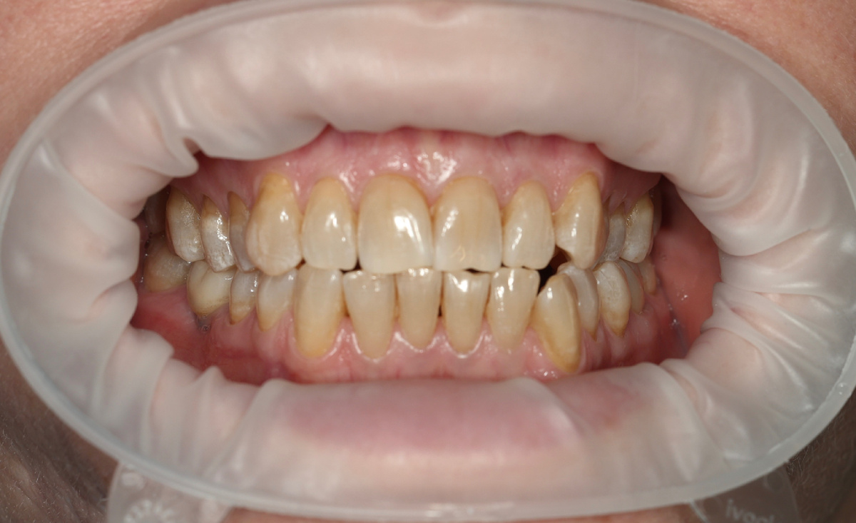
Февраль 2025:

В день установки
В день установки

Декабрь 2025:

Декабрь 2025
Декабрь 2025

Были аттачменты, кнопки, цепочки. Винтов не было.

Декабрь 2025 - верхняя и нижняя челюсти. Снизу один из зубов - коронка на имплантате
Декабрь 2025 - верхняя и нижняя челюсти. Снизу один из зубов - коронка на имплантате

Март 2026:

Март 2026
Март 2026

И со стороны зубных рядов:

-10

Что сделано к марту 2026 - коррекция перекрёстного прикуса с помощью кросс-эластиков (пациентка всё прекрасно отработала), устранение скученности, нормализация смыкания. Прошло чуть больше года.

Рецессии не усугубились, а некоторые даже уменьшились. После профгигиены зубы выглядят прекрасно. Осталось три месяца лечения и шесть пар элайнеров.

Результат за год, верхняя челюсть:

Верхняя челюсть
Верхняя челюсть

Нижняя челюсть:

Нижняя челюсть
Нижняя челюсть

И коллаж "до/после":

Пластика рецессий без исправления прикуса - косметика

Можно было бы пойти другим путём. Сразу закрыть рецессии хирургически - пластика десны, соединительнотканный трансплантат, красивый результат.

Но. Если причина в перегрузке тканей из-за прикуса, а прикус не исправлен явно - рецессии вернутся. Силу жевательных мышц не победить лоскутком мягких тканей. Это косметика, а не лечение. Если есть чувствительность - да, закрыть можно, чтобы убрать дискомфорт. Но процесс таким образом не остановишь и ситуация может усугубляться.

Самый верный путь всегда - это работа с фундаментом. Сначала прикус, потом, если потребуется и будет такая нужда, можно и пластикой десны заняться.

Вывод

Резюмируя - это не финишный результат, впереди ещё 3 месяца в элайнерах.

Если у вас оголяются корни зубов - отставить панику. Надо разобраться в причине, а не бежать сразу на операцию.

От причины зависит и тактика, и прогноз, и результат.

Зубы не выпадут, если нет пародонтита. Кариеса тоже не будет с вероятностью 99%. Рецессии вообще не всегда требуется закрывать. Иногда достаточно устранить причину и десна успокаивает свой стремительный бег.

Не лечите симптом. Ищите причину и разбирайтесь с ней.

И всегда помните - ортодонтов очень много, хороших - мало.

Больше ортодонтических материалов в подборке:

Ортодонтические варианты | Parodoctor | Дзен

Если вам интересны подобные клинические истории - подписывайтесь на канал Parodoctor в Telegram. Там я рассказываю о стоматологии без прикрас: сложные случаи, нестандартные решения и то, что остаётся за кадром обычного приёма. Именно там я отвечаю на вопросы подписчиков, привлекая к ответам врачей команды, если это требуется:

Parodoctor

Завела канал в MAX, чтобы был (чтобы выкладывать видео, которые не грузит Телеграмм), называется он Parodoctor:

Parodoctor

С уважением, Лежачёва Наталия Александровна, хирург-пародонтолог и главный врач стоматологии Parodent, СПб.