На некоторые зубы смотреть не то что больно, но даже страшновато. Правда, страшно обычно тем, у кого они во рту находятся. Стоматологов, работающих со сложными случаями, мало что может удивить.
Вот и этот случай не назову чем-то невероятным, от чего захватывает дух. Спасли два родных зуба, на место удалённого ранее установили имплантат. Не обошлись пломбами - родные зубы покрыли коронками. Так надёжнее, это не прихоть.
Но история интересная. И поучительная.
Почему пациентка боялась коронок
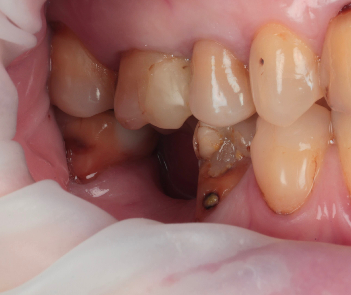
Смотрим на фотографию, с этого ракурса ещё ничего:
Семёрка - под обширной дефектной пломбой, шестёрка отсутствует, пятёрка имеет значительный скол пломбы со щёчной стороны. Вот этот ракурс уже интереснее выглядит:
С коронками у пациентки не заладилось ранее - был гальваноз. Это состояние, когда разнородные металлы во рту создают гальванические токи. Неприятные ощущения, металлический привкус, жжение. После такого опыта появились опасения и, можно сказать, поубавилась вера в стоматологию.
Понимаю её. Когда один раз обожглись - сложно снова довериться.
Каналы запломбированы идеально, коронковая часть разрушена
Смотрим снимок КТ:
Оцениваем пятёрку и семёрку. Каналы запломбированы отлично. Периапикальных изменений нет - никаких кист, гранулём, воспалений на верхушках корней не имеется. Аплодисменты эндодонтисту, который ранее занимался этими каналами. Не у нас в клинике работа выполнена, но выполнена качественно. Приятно видеть.
А вот коронковые части в упадке находятся. Пломбы огромные, из них, буквально, слеплены зубы. Бугры не перекрыты, сколы, дефекты. Повезло, что не случилось перелома корня. При такой нагрузке на ослабленные стенки - запросто могло случиться несчастье.
Невоспалительные рецессии
Ещё можно обратить внимание на частично оголившиеся тёмные корни - это рецессии.
Но пародонтита-то нет. Нет воспаления, кость не в деструкции, межзубные сосочки сохранны. Это не болезнь дёсен - это признаки перегрузки тканей пародонта.
Прикус неидеален. Зубы получают нагрузку не так, как должны. Десна "убегает" от этой нагрузки.
В данном случае был получен (и подписан) отказ от ортодонтической коррекции. Да, случается и так. Изменение прикуса, хоть и показано, но иногда можно закрыть на это глаза - если нашей будущей работе это не нанесёт урон.
Всё всегда индивидуально. Каждый случай рассматривается врачами персонально. Каждый пациент с его патологией уникален и неповторим. Что можно одному - не факт, что допустимо для другого. И дело не в нашей вредности, а в объективных клинических условиях.
Удалять или сохранять зуб - решение принимает ортопед, а не терапевт
Оставлять ли такие зубы, как наши пятёрка и семёрка, во рту?
Решение принимает не терапевт. Удивительно, правда?
Решение принимает ортопед.
Именно он оценивает, можно ли будет успешно установить коронки, хватит ли тканей, есть ли на что опираться, будет ли конструкция надёжной.
Если ортопед видит, что коронки установить можно - даёт добро. И вот тут подключается терапевт.
Билдапы на стекловолоконных штифтах - подготовка зубов под коронки
Раз каналы запломбированы адекватно и изменений на верхушках нет, перелечивать их не нужно. Терапевт выполняет подготовку под коронки - убирает старые пломбы и дефектные ткани. Вот что осталось после того, как убрали часть дефектных тканей:
Можно увидеть, что от зубов остались рожки да ножки после обработки. На такое коронки не установить - не за что цепляться.
Врач выполняет билдапы - культевые надстройки:
С обязательным укреплением качественными стекловолоконными штифтами. Мы используем Macrolock - дорого, но оно того стоит. Надёжная адгезия, предсказуемый результат.
И вот, новые красивые культи готовы ко встрече с ортопедом.
Имплантат Dentium tissue level - когда есть небольшой дефицит кости
Но у нас же есть дыра вместо шестого зуба. Что с ней делать?
Хирург оценил костные условия, выполнил цифровую примерку. Небольшой дефицит кости имелся, но его можно было обойти, установив имплантат с полированной шейкой - так называемый tissue level. Выбор пал на Dentium.
Имплантаты с полированной шейкой хороши тем, что полированная часть находится на уровне десны и не требует идеальных костных условий в пришеечной области. Кость может быть чуть ниже - и это нормально для такой конструкции.
Одна проблема - в библиотеке сканов лаборатории нет цифровых компонентов для этого имплантата. Слепки приходится снимать как в старые добрые времена - ложка со слепочной массой отправляется в рот пациента.
Ну, верим в развитие технологий. С цифрой чуть удобнее, но и классические методы никто не отменял.
Для работы в цифровом протоколе и для фиксации плана посредством изготовления хирургического шаблона полость рта сканируют - тут всё технологично.
Операцию по установке имплантата провели осенью. К ортопеду на коронки отправились зимой - после приживления.
Изготавливают сразу три коронки - и на родные зубы, и на имплантат. Единый блок, единая работа.
Коронки чуть светлее родных зубов - но это была просьба пациентки.
Вместо цвета А4 сделали А3. Всё равно их не видно при улыбке, а ей так больше нравится и радостно.
Через несколько месяцев после установки коронок хирург планирует немного добавить десны со щёчной стороны в области имплантата. Небольшая пластика для лучшей эстетики и защиты.
А пациентка, тем временем, понаблюдает за своими ощущениями. Главный вопрос - не вернётся ли гальваноз.
Мы начали с пробного сегмента. Три коронки и посмотрим на реакцию. Если всё хорошо, никаких неприятных ощущений нет - будем приступать к дальнейшему лечению. Это разумный подход, когда в анамнезе есть негативный опыт.
Смотрите, какое чёткое прилегание:
Вывод
Зубы под огромными пломбами - это зубы в зоне риска. Бугры не перекрыты, стенки ослаблены, нагрузка распределяется неправильно. Рано или поздно случится скол или перелом.
Коронка - не прихоть и не способ выкачать деньги. Это защита. Она берёт на себя жевательную нагрузку и распределяет её правильно. Зуб под коронкой живёт дольше, чем зуб под пломбой-монстром.
И ещё. Плохой опыт в прошлом - не повод отказываться от лечения навсегда. Гальваноз случился, но это не значит, что случится снова. Материалы разные, подходы разные, врачи разные.
Начать с пробного сегмента, понаблюдать, убедиться - и двигаться дальше, если получился успех. Будем надеяться, что у нас получится вернуть доверие пациентки к стоматологам.
Больше статей по ортопедии в подборке:
Вопросы задавайте в моём Telegram-канале - там я их точно увижу и отвечу. В Дзене сотни комментариев под сотнями статей и я физически не успеваю всё мониторить - не смотрю и не отвечаю, никого не удаляю (все вопросы к Дзен, обиды направляйте площадке, пожалуйста). В Telegram все вопросы в одном месте, удобно отвечать, можно фото прикрепить. Так что жду в тг:
Завела канал в MAX, чтобы был, называется он Parodoctor:
С уважением, Лежачёва Наталия Александровна, хирург-пародонтолог и главный врач стоматологии Parodent, СПб.
