Добавить в корзинуПозвонить
Найти в Дзене

Квоты на операцию Hallux valgus или шишки стопы

Много написано статей и много написано работ по лечению шишки на стопе, но важно понимать одно, что самое эффективное лечение у данного заболевания является - операция. Операция заключается в создании искусственного перелома 1 плюсневой кости и фиксации ее в правильном положении винтами. Звучит страшно, но по итогу данная операция является золотым стандартом и показывает самые лучшие результаты уже десятки лет. Реабилитация у данных пациентов обычно составляет не больше 6 недель в обуви Барука и 2 недели, чтобы "расходится" в удобной обуви. Итоговый срок реабилитации составляется 2 месяца. 2 месяца и мы возвращаемся к полноценной жизни, но уже без боли в стопе и красивой ножкой, которую будет не стыдно показать на пляже. А самое главное что хотелось донести, так это что в Клиническом госпитале Лапино, находящимся в Одинцовском районе Московской области, появились квоты на проведению данной операции по полису ОМС, для людей проживающих во всех регионах России и Московской области имеющ

Много написано статей и много написано работ по лечению шишки на стопе, но важно понимать одно, что самое эффективное лечение у данного заболевания является - операция.

Операция заключается в создании искусственного перелома 1 плюсневой кости и фиксации ее в правильном положении винтами. Звучит страшно, но по итогу данная операция является золотым стандартом и показывает самые лучшие результаты уже десятки лет.

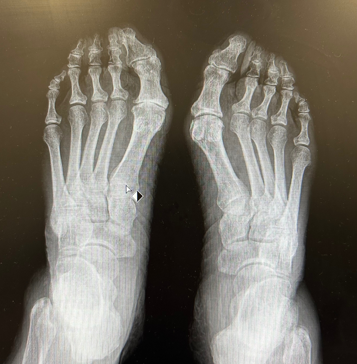
Рентген стопы до операции(хоть на правой ноге деформации выраженней, но на левой ноге явно выражен артроз сустава, который приносит боль)
Рентген стопы до операции(хоть на правой ноге деформации выраженней, но на левой ноге явно выражен артроз сустава, который приносит боль)

Реабилитация у данных пациентов обычно составляет не больше 6 недель в обуви Барука и 2 недели, чтобы "расходится" в удобной обуви. Итоговый срок реабилитации составляется 2 месяца. 2 месяца и мы возвращаемся к полноценной жизни, но уже без боли в стопе и красивой ножкой, которую будет не стыдно показать на пляже.

Рентген стопы после операции( суставная щель увеличилась и ходить будет не больно, к тому же выпрямили пальчик)
Рентген стопы после операции( суставная щель увеличилась и ходить будет не больно, к тому же выпрямили пальчик)

А самое главное что хотелось донести, так это что в Клиническом госпитале Лапино, находящимся в Одинцовском районе Московской области, появились квоты на проведению данной операции по полису ОМС, для людей проживающих во всех регионах России и Московской области имеющих прописку и прикрепление полиса к вашему региону.

По квоте операция будет выполнена совершенно бесплатно.

По всем вопросам можно писать лично мне на почту baranovRehab@yandex.ru

https://prodoctorov.ru/media/photo/odincovo/lpuimage/37749/699872-klinicheskiy-gospital-lapino-_mat-i-ditya_l.jpg
https://prodoctorov.ru/media/photo/odincovo/lpuimage/37749/699872-klinicheskiy-gospital-lapino-_mat-i-ditya_l.jpg