Найти в Дзене
Фокус эндоскописта

Люблю смотреть гистофото

Новая статья от врача-эндоскописта, к.м.н., Леонида Владимировича Ким. Текст был изначально опубликован в Телеграм-канале Леонида Владимировича и перепечатан без изменений с разрешения автора. Когда-то даже задумывался о патанатомии, но это было мимолетно (специальность потеряла самородок 😂😂😂). Врач-эндоскопист обязательно должен общаться с врачом-патологоанатомом, в тандеме с которым он работает, чем теснее это общение, тем лучше конечный результат, я уже не говорю об общении с врачами-специалистами, которые назначают и направляют на исследования (гастроэнтерологи, онкологи, терапевты, хирурги и т.д.), за что им большое спасибо (направляйте, как можно чаще 😂). Междисциплинарная коммуникация всему голова, один в поле здесь не воин. Как говорит Михаил Юрьевич Агапов - «чем хуже морфолог, тем лучше результаты у эндоскописта» 😁. Гистофото НЭО 1 типа из предыдущего поста, любезно предоставлены Мариной Юрьевной. Удалил обычными биопсийными щипцами, радикально. Необходимо индивидуально
Новая статья от врача-эндоскописта, к.м.н., Леонида Владимировича Ким. Текст был изначально опубликован в Телеграм-канале Леонида Владимировича и перепечатан без изменений с разрешения автора.

Когда-то даже задумывался о патанатомии, но это было мимолетно (специальность потеряла самородок 😂😂😂).

Врач-эндоскопист обязательно должен общаться с врачом-патологоанатомом, в тандеме с которым он работает, чем теснее это общение, тем лучше конечный результат, я уже не говорю об общении с врачами-специалистами, которые назначают и направляют на исследования (гастроэнтерологи, онкологи, терапевты, хирурги и т.д.), за что им большое спасибо (направляйте, как можно чаще 😂). Междисциплинарная коммуникация всему голова, один в поле здесь не воин.

Как говорит Михаил Юрьевич Агапов - «чем хуже морфолог, тем лучше результаты у эндоскописта» 😁.

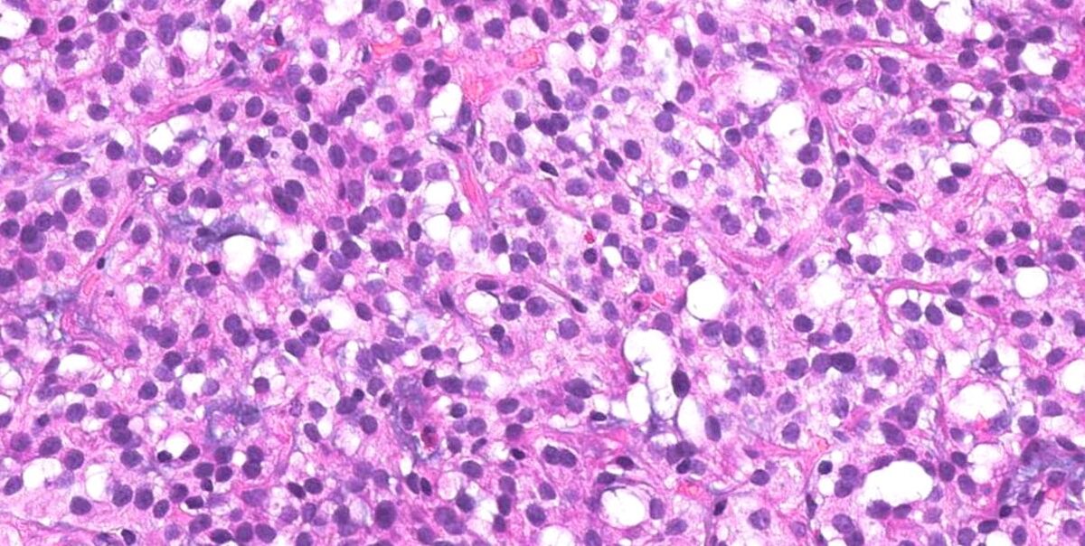
Гистофото НЭО 1 типа из предыдущего поста, любезно предоставлены Мариной Юрьевной.

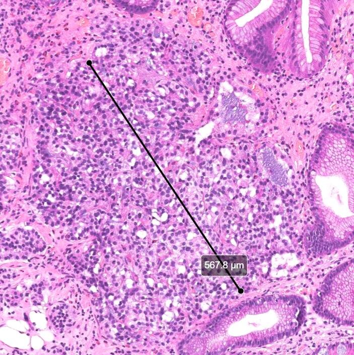
Удалил обычными биопсийными щипцами, радикально. Необходимо индивидуально подбирать метод удаления в каждой конкретной ситуации. Главные критерии — радикальность и безопасность.

Здесь наглядно продемонстрировано, почему это образование НЕ подслизистое (субэпителиальное).

▶️ Источник: Телеграм-канала Леонида Владимировича Кима.

▶️ Фото выполнены с использованием видеоэндоскопической системы Concemed V-1000 и гастроскопа VG-H1000Z с оптическим ZOOM.

#endovi_clinical_case
Имеются противопоказания. Перед применением необходимо проконсультироваться со специалистом или ознакомиться с инструкцией.