Добавить в корзинуПозвонить
Найти в Дзене
В мире медицины

Смерть мозга глазами рентгенолога

Такие методы нейровизуализации как КТ или МРТ не являются достоверными для объективной оценки данного состояния, однако могут использоваться как вспомогательные.
Специфичных признаков по нейровизуализации нет, но на консенсусе нейрорадиологов в 2023 г. по данному вопросу были предложены обобщенные критерии. Некоторые из них покажу на сканах ниже (часть примеров взята из статьи Т.Н. Трофимовой,
Смертью мозга называется необратимое состояние, при котором полностью утрачены все мозговые функции (фиксируемое с помощью инструментальных методов) при работающем сердце в условиях ИВЛ.

Такие методы нейровизуализации как КТ или МРТ не являются достоверными для объективной оценки данного состояния, однако могут использоваться в качестве вспомогательных.

Специфичных признаков по нейровизуализации нет, но на консенсусе нейрорадиологов в 2023 г. по данному вопросу были предложены обобщенные критерии. Некоторые из них покажу на сканах ниже (часть примеров взята из статьи Т.Н. Трофимовой, журнал "Лучевая диагностика и терапия", № 3(12) 2021).

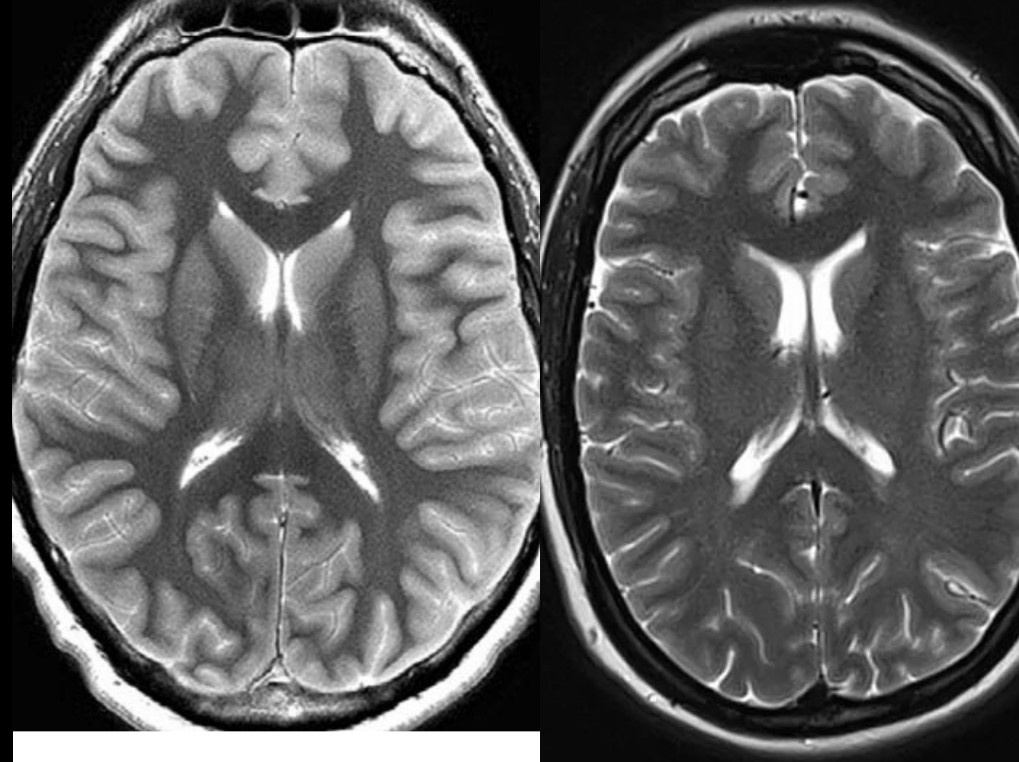
  • Повышение интенсивности сигнала от коры мозга:
Сравнение коры мозга на МРТ Т2-ВИ живого человека (справа) и человека после перенесенной клинической смерти на первые сутки (слева). Кроме повышения сигнала от коры отмечается сужение боковых желудочков мозга и его борозд, обусловленное отеком.
Сравнение коры мозга на МРТ Т2-ВИ живого человека (справа) и человека после перенесенной клинической смерти на первые сутки (слева). Кроме повышения сигнала от коры отмечается сужение боковых желудочков мозга и его борозд, обусловленное отеком.
  • Вклинение мозга:
Вклинение мозжечка в БЗО (показано белой стрелкой), гипоталамуса в турецкое седло (красной), сдавление цистерн основания мозга и водопровода. Повышение сигнала от спинного мозга (зелёные стрелки). Деформация вентральной поверхности мозга.
Вклинение мозжечка в БЗО (показано белой стрелкой), гипоталамуса в турецкое седло (красной), сдавление цистерн основания мозга и водопровода. Повышение сигнала от спинного мозга (зелёные стрелки). Деформация вентральной поверхности мозга.
  • Двусторонние очаги кровоизлияний в область базальных ядер:
МРТ Т1-ВИ того же пациента на 7-е сутки: появляются мелкие очаги кровоизлияний в область базальных ядер (преимущественно бледный шар и скорлупа), очаг гиперинтенсивного сигнала в островке слева (ламинарный некроз)
МРТ Т1-ВИ того же пациента на 7-е сутки: появляются мелкие очаги кровоизлияний в область базальных ядер (преимущественно бледный шар и скорлупа), очаг гиперинтенсивного сигнала в островке слева (ламинарный некроз)
  • Ложное кровоизлияние в субарахноидальное пространство (обусловлено стазом крови):
В области борозд больших полушарий, а также намета мозжечка и в проекции базальных цистерн определяется псевдокровоизлияние, обусловленное застоем крови (повышение сигнала на Т1-ВИ). 7-е сутки после перенесенной клинической смерти.
В области борозд больших полушарий, а также намета мозжечка и в проекции базальных цистерн определяется псевдокровоизлияние, обусловленное застоем крови (повышение сигнала на Т1-ВИ). 7-е сутки после перенесенной клинической смерти.
  • Отсутствие кровотока во внутренних сонных артериях (сигнал от них изоинтенсивен):
Срез на уровне кавернозного синуса, Т2-ВИ, отсутствие кровотока в интракраниальном отделе ВСА с обеих сторон
Срез на уровне кавернозного синуса, Т2-ВИ, отсутствие кровотока в интракраниальном отделе ВСА с обеих сторон

Таким образом, изменения на МРТ при смерти мозга довольно обширны, однако, то же вклинение не всегда указывает на данное состояние и встречается часто у пациентов, находящихся в коме. Наиболее "достоверным" признаком можно назвать отсутствие кровотока во внутримозговых артериях (кавернозный отдел ВСА).

Констатация смерти мозга является очень серьезной проблемой, а данный диагноз, как правило, устанавливается в условиях реанимационного отделения. Здесь на первый план уже выступают морально-этические аспекты, в первую очередь, вопрос о прекращении искусственного поддержания жизни в организме с погибшим мозгом, а также вопрос о возможном использовании органов и тканей для трансплантации.

А что думаете вы об этом ? Можете писать в комментариях.