Найти в Дзене
m40r / AreaDNA

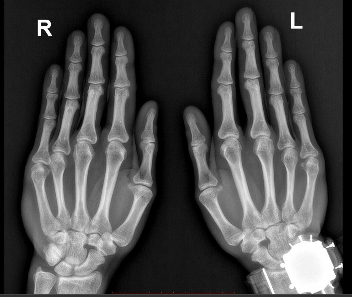
Рентгенограмма кисти

Как выглядит снимок перелома внутренней стороны второй фаланги соударением? Перелом второго пальца правой руки

Рентгенограмма кисти. Как выглядит снимок перелома внутренней стороны второй фаланги соударением? Перелом второго пальца правой руки

-2
-3