Добавить в корзинуПозвонить
Найти в Дзене

Ваши мышцы позвоночника видно на МРТ

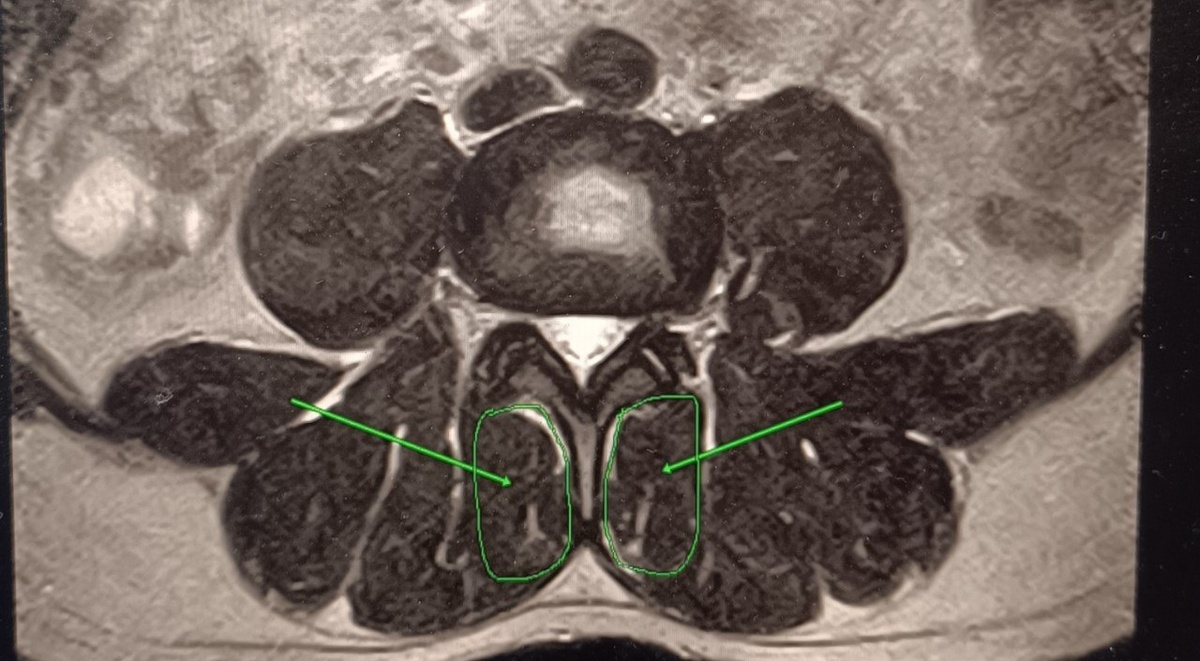
И это многое объясняет Когда я смотрю ваши МРТ-снимки, я оцениваю не только диски и «есть ли грыжа». Есть ещё один важнейший элемент, на который редко обращают внимание пациенты — мышцы позвоночника. На что я всегда смотрю: — размер мышц — их тонус — есть ли атрофия — произошло ли замещение мышечных волокон жировой и соединительной тканью Это видно на МРТ. И это напрямую влияет на боль и риски грыж. Особое внимание — многораздельным мышцам Именно они являются глубокими стабилизаторами позвоночника. Это мышцы, которые держат сегменты позвоночника в правильном положении при движении, сидении, нагрузке. 📸 На примере снимков: — на первом фото — здоровые мышцы: плотные, эластичные, хорошо выраженные — на втором фото — патологические изменения: мышцы частично замещены соединительной тканью ( обведены в малые кружочки) Такие мышцы: — слабые — неэластичные — хуже кровоснабжаются — легче воспаляются — не способны стабилизировать позвоночник В результате нагрузка ложится не туда, куда до

Ваши мышцы позвоночника видно на МРТ. И это многое объясняет

Когда я смотрю ваши МРТ-снимки, я оцениваю не только диски и «есть ли грыжа».

Есть ещё один важнейший элемент, на который редко обращают внимание пациенты — мышцы позвоночника.

На что я всегда смотрю:

— размер мышц

— их тонус

— есть ли атрофия

— произошло ли замещение мышечных волокон жировой и соединительной тканью

Это видно на МРТ. И это напрямую влияет на боль и риски грыж.

Особое внимание — многораздельным мышцам

Именно они являются глубокими стабилизаторами позвоночника.

Это мышцы, которые держат сегменты позвоночника в правильном положении при движении, сидении, нагрузке.

📸 На примере снимков:

— на первом фото — здоровые мышцы: плотные, эластичные, хорошо выраженные

— на втором фото — патологические изменения: мышцы частично замещены соединительной тканью ( обведены в малые кружочки)

Такие мышцы:

— слабые

— неэластичные

— хуже кровоснабжаются

— легче воспаляются

— не способны стабилизировать позвоночник

В результате нагрузка ложится не туда, куда должна.

И тогда страдают диски, фасеточные суставы, связки.

▶️ В видео в предыдущем посте я показываю, как во время осмотра можно заподозрить такие изменения даже без МРТ — по реакции мышц в положении стоя и лёжа.

❓А теперь вопрос вам:

у кого, как вы думаете, выше риск образования грыжи позвоночника — на первом или втором фото?

Напишите своё мнение в комментариях 👇

Обо мне | Грыжи До и После | Отзывы | ВКонтакте

-2