Найти в Дзене

Узнайте, что такое hallux valgus и в чём заключается его суть.

В практике я регулярно сталкиваюсь с тем, что пациенты не понимают, что такое hallux valgus и в чём заключается его суть. Попробую коротко и понятно объяснить, что это за деформация и как она исправляется. На примере чрескожной техники, которую я применяю в работе. 💙 Основной компонент hallux valgus - это вовсе не выпуклость на внутреннем крае стопы. Главная проблема - отклонение первой плюсневой кости кнутри. Если посмотреть на рентген, становится наглядно видно разницу. В норме угол между первой и второй плюсневыми костями составляет 6–10 градусов. При hallux valgus он увеличивается, например до 18 градусов и более. В результате такого отклонения первой плюсневой кости большой палец неизбежно уходит кнаружи. Именно так формируется деформация. ❓ Можно ли решить проблему простым спиливанием «шишки»? ✔️ В крайне редких случаях. Если убрать только выступающий край кости, ничего принципиально не изменится. А если спилить больше, будет затронута суставная поверхность большого пальца, а эт
Оглавление

В практике я регулярно сталкиваюсь с тем, что пациенты не понимают, что такое hallux valgus и в чём заключается его суть.

Попробую коротко и понятно объяснить, что это за деформация и как она исправляется. На примере чрескожной техники, которую я применяю в работе.

💙 Основной компонент hallux valgus - это вовсе не выпуклость на внутреннем крае стопы.

Главная проблема - отклонение первой плюсневой кости кнутри.

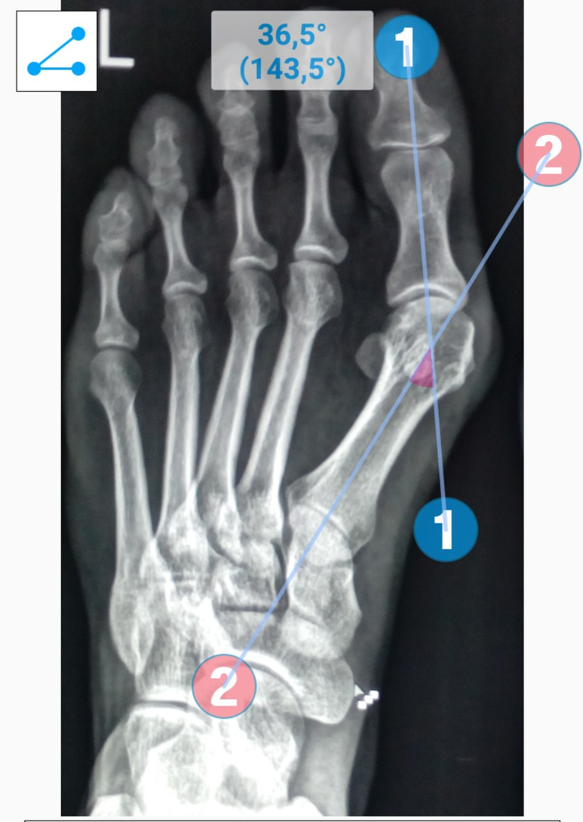
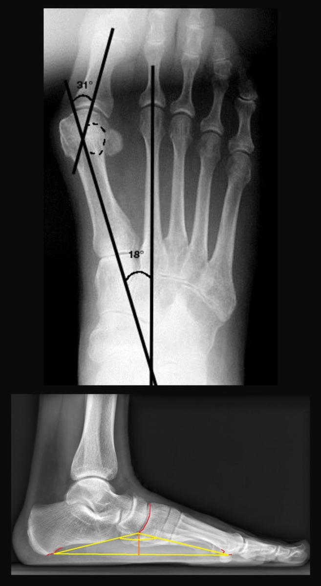
Если посмотреть на рентген, становится наглядно видно разницу.

В норме угол между первой и второй плюсневыми костями составляет 6–10 градусов. При hallux valgus он увеличивается, например до 18 градусов и более.

-2

В результате такого отклонения первой плюсневой кости большой палец неизбежно уходит кнаружи. Именно так формируется деформация.

Можно ли решить проблему простым спиливанием «шишки»?

✔️ В крайне редких случаях.

Если убрать только выступающий край кости, ничего принципиально не изменится. А если спилить больше, будет затронута суставная поверхность большого пальца, а этого делать нельзя.

Что же тогда делать?

В большинстве случаев коррекция выполняется с помощью остеотомий, то есть искусственных переломов. Их задача уменьшить угол между первой и второй плюсневыми костями и выпрямить большой палец.

При чрескожной технике сначала через маленький доступ около 1 см микрофрезой удаляется боковая выпуклость головки первой плюсневой кости. Затем через этот же доступ кость пересекается и с помощью тонкой спицы смещается в нужном направлении. Полученное положение фиксируется повязкой или, в отдельных случаях, тонким титановым винтом.

При необходимости через прокол кожи выполняется коррекция основной фаланги большого пальца.

Надеюсь, теперь принцип коррекции hallux valgus стал немного понятнее. Это, конечно, упрощённое объяснение, но без понимания основы невозможно понять и саму операцию.

#Красильников_польза

-----------------------------------------

Если вы хотите узнать, подходит ли в вашем случае чрескожный метод без металлоконструкций, переходите в наш бот-помощник

t.me/valgo_med_bot

t.me/valgo_med_bot

t.me/valgo_med_bot

-3
VALGO Хирургия стопы | Подология
Центр хирургии стопы в Москве: малоинвазивные операции у врача, отзывы
Всё срастётся! | Доктор Красильников