Добавить в корзинуПозвонить
Найти в Дзене

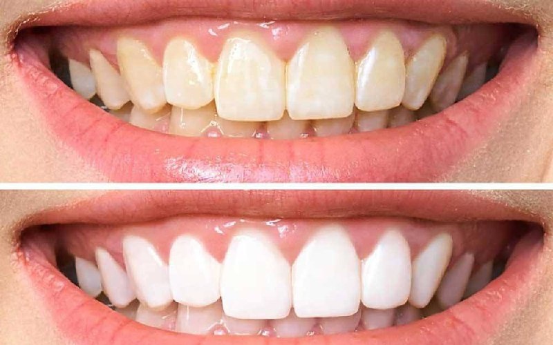
Как можно быстро отбелить зубы без посещения стоматолога

? Прежде чем я поделюсь с вами домашним рецептом, давайте разберёмся в причинах. Почему зубы не имеют белый оттенок? Самое очевидное это когда мы употребляем много чая, кофе и все газированные напитки. Они неблагоприятно влияют на эмаль, так что чем меньше вы будете это все пить, тем светлее будут ваши зубы. Второе – это плохая гигиена полости рта, это и так понятно. Если чистим зубы пастой, в которой много фтора. Много лекарств, особенно от астмы и от высокого давления, тоже влияют на цвет эмали зубов. Ну и курение, это тоже всё очевидно. Теперь домашний рецепт – вам просто нужна соль, лучше берите розовую гималайскую соль и кокосовое масло. Если нет масла кокоса, то подойдет миндальное или оливковое. В пропорции ¼ чайной ложки соли и 2 чайные ложки масла. Смешайте и делайте массаж дёсен и зубов, в течение 1-2 минут. Делайте это каждый день, если вы будете это делать месяц без перерыва, то вы заметите результат однозначно. Но, убирайте пасту, где много фтора. Отдавайте предпочтение

Как можно быстро отбелить зубы без посещения стоматолога?

Прежде чем я поделюсь с вами домашним рецептом, давайте разберёмся в причинах. Почему зубы не имеют белый оттенок?

Самое очевидное это когда мы употребляем много чая, кофе и все газированные напитки. Они неблагоприятно влияют на эмаль, так что чем меньше вы будете это все пить, тем светлее будут ваши зубы.

Второе – это плохая гигиена полости рта, это и так понятно.

Если чистим зубы пастой, в которой много фтора. Много лекарств, особенно от астмы и от высокого давления, тоже влияют на цвет эмали зубов.

Ну и курение, это тоже всё очевидно.

Теперь домашний рецепт – вам просто нужна соль, лучше берите розовую гималайскую соль и кокосовое масло. Если нет масла кокоса, то подойдет миндальное или оливковое. В пропорции ¼ чайной ложки соли и 2 чайные ложки масла. Смешайте и делайте массаж дёсен и зубов, в течение 1-2 минут.

Делайте это каждый день, если вы будете это делать месяц без перерыва, то вы заметите результат однозначно. Но, убирайте пасту, где много фтора. Отдавайте предпочтение травяным пастам или вовсе чистите зубы порошком пажитника, или куркумой (наносим на зубную щётку) как это делаю я.

Чем меньше будет химии, тем больше у нас будет здоровья!👌🏼

#Masya_medicine #Masya_wellness #будьтездоровы