Найти в Дзене

Кейс из практики. Когда витальная терапия пульпы заканчивается стационаром

Коллеги сегодня хочу поделиться очень интересным клиническим случаем. Ребенку 7 лет, через 8 месяцев после лечения 36 зуба в условиях наркоза в другой клинике, семья попадает в стационар. Пациент поступает с выраженным отёком нижней челюсти слева, высокой температурой, сильной болью. В течение двух недель — антибиотики, врачи, ухудшение состояния. В стационаре хирурги выполняют разрез, дренаж для оттока гноя и направляют родителей искать специалиста, который возьмётся за лечение зуба с обширным переапикальным абсцессом. Состояние на момент обращения ⬇️ Ребёнок с сохраняющимся отёком, не может нормально открыть рот, не жуёт, плохо спит, принимает уже второй или третий антибиотик за короткий срок — без положительной динамики. Вся семья в состоянии сильного стресса. Мы принимаем решение о начале эндодонтического лечения. Так как ранее не было лечения в сознании до начала лечения даю Нурофен в возрастной дозировке, также применили закись азота-кислородную седацию для снижения тревоги. Перв

Коллеги сегодня хочу поделиться очень интересным клиническим случаем.

Ребенку 7 лет, через 8 месяцев после лечения 36 зуба в условиях наркоза в другой клинике, семья попадает в стационар.

Пациент поступает с выраженным отёком нижней челюсти слева, высокой температурой, сильной болью.

В течение двух недель — антибиотики, врачи, ухудшение состояния. В стационаре хирурги выполняют разрез, дренаж для оттока гноя и направляют родителей искать специалиста, который возьмётся за лечение зуба с обширным переапикальным абсцессом.

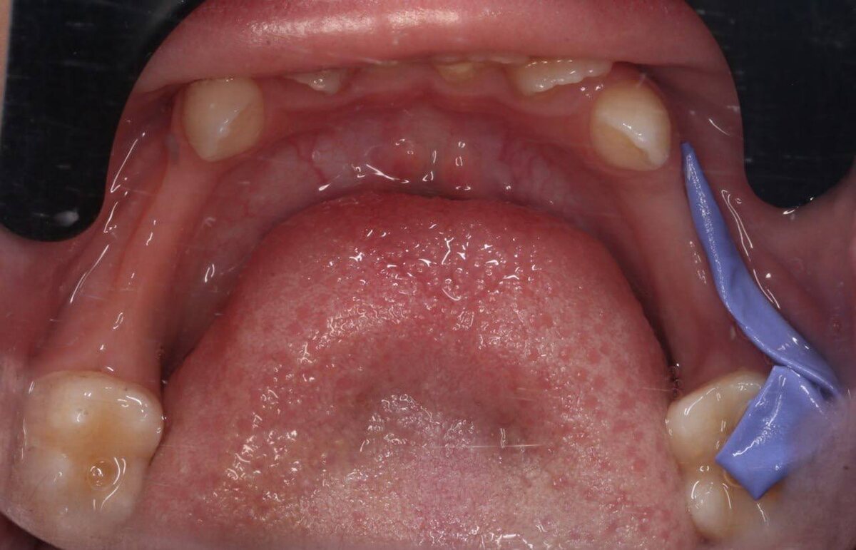
Состояние на момент обращения ⬇️

Ребёнок с сохраняющимся отёком, не может нормально открыть рот, не жуёт, плохо спит, принимает уже второй или третий антибиотик за короткий срок — без положительной динамики. Вся семья в состоянии сильного стресса.
Мы принимаем решение о начале эндодонтического лечения.
Так как ранее не было лечения в сознании до начала лечения даю Нурофен в возрастной дозировке, также применили закись азота-кислородную седацию для снижения тревоги.

Первый этап — эндодонтическое лечение. Удаление распада пульпы, механическая и медикаментозная обработка каналов.

Что я увидела в зубе ⬇️

Снаружи — состоятельная композитная реставрация. Под пломбой кариозные ткани.
Есть серьёзное подозрение, что:
• не была выполнена полноценная
некроктомия,
диагностика состояния пульпы на этапе первичного лечения была недостаточной,
• работа могла вестись
без увеличения.
Косвенно это подтвердилось позже: я предложила папе пациента заменить остальные реставрации на шестых зубах — под всеми пломбами были обнаружены кариозные ткани.


Почему это важно?
Оценка витальности пульпы, правильная диагностика и качественная некроктомия — критически важные этапы.
Ошибки на них не всегда проявляются сразу. Иногда через месяцы. Как здесь, через 8 месяцев — стационар, абсцесс, деструкция кости.

Дальнейшее лечение и результат ⬇️

После первого этапа убрали дренаж, пациент допил курс антибиотиков.
Через 2 недели при повторном вскрытии зуб был чистый, свищевой ход закрылся — важный признак правильно выбранной тактики, подвижность уменьшилась.
Провели второй этап — пломбировку корневых каналов. Несмотря на большой очаг деструкции, вовлечение области бифуркации, выраженное поражение периапикальных тканей.
Далее динамическое наблюдение и плановая замена всех композитных реставраций.


Этот кейс про то, насколько
дорогой может быть цена диагностических и технических ошибок, особенно в детской эндодонтии.

Именно поэтому я так много внимания уделяю диагностике, алгоритмам принятия решений, нюансам работы с несформированными корнями ❤️