Найти в Дзене

Ранний атеросклероз, три операции на сосудах - но дело не в холестерине

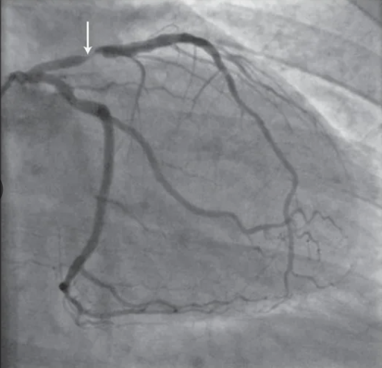
Женщина 45 лет, первая операция - коронарное стентирование, выполнена 9 лет назад - установлен стент в переднюю нисходящую артерию. То есть в возрасте, который для женщин совершенно нетипичен в отношении развития атеросклероза.

Уровень холестерина ЛПНП был не оптимальный, но и не какой-то запредельный, чтобы списать именно на него столь ранний клинически значимый атеросклероз. Диабета нет, не курила, артериальную гипертонию не вполне оптимально, но лечила. После стентирования начала принимать статин в приличной дозе, холестерин ЛПНП был не такой, как надо, но все же уменьшился почти в 2 раза: стал около 2,5 ммоль/л.

Через несколько лет выполнена операция на сонной артерии - каротидная эндартерэктомия. Поскольку сформировался гемодинамически значимый стеноз. Терапия была усилена, добавлен ингибитор всасывания холестерина на букву Э. С противоположной стороны в сонной артерии также была бляшка, но не того размера, чтобы оперировать. Операция потребовалась через четыре года, когда стеноз достиг того уровня, чтобы его оперировать.

Такое быстрое прогрессирование атеросклероза вызвало подозрение на генетически обусловленную патологию, был измерен уровень липопротеина (а). И вот тут уже я удивился. Обычно мы видим уровни 150-200 мг/дл в подобных случаях. У одного из моих пациентов с неоднократными рецидивами атеросклероза липопротеин (а) 221 мг/дл.

А здесь уровень оказался еще выше. Какой - смотрите на бланке лабораторного анализа.

-2
Мы добились, чтобы за счет средств бюджета пациентка получала дорогостоящий ингибитор PCSK9 - это позволит в дополнение к статинотерапии снизить холестерин ЛПНП еще процентов на 40-50, плюс к тому снизится процентов на 20-25 уровень липопротеина (а). Однако радикальное решение проблемы придет тогда, когда появится пелакарсен. В РФ он может появиться в 2027 году. Этот препарат дозозависимо снижает липопротеин (а) в 2-5 раз.

И это будет спасением для всех пациентов, у кого мы сейчас не можем радикально повлиять на этот важный липидный параметр. Конечно, бюджет будет оплачивать его применение только у людей с очень высоким уровнем липопротеина (а) и уже наступившими атеросклеротическими заболеваниями. На первичную профилактику, просто по факту повышенного уровня липопротеина (а), никаких бюджетов ни у одной страны мира не хватит. Ибо повышенный уровень липопротеина (а) регистрируется у 20% населения.

Мой блог в Телеграм: https://t.me/drzafiraki

Там я могу публиковать более подробные материалы, с упоминанием названий лекарств.