Найти в Дзене
Ильинская больница

🏥 Влияние состава тела на «возраст» мозга

Недавно завершилась одна из главных мировых конференций по радиологии RSNA в Чикаго. Учёные представили интереснейшее исследование, которое показывает прямую связь между составом тела и «возрастом» мозга. Суть исследования: Участники: более 1100 здоровых людей (~55 лет). Метод: всем сделали МРТ тела и мозга и с помощью ИИ изучили количество мышц, внутреннего (висцерального) и подкожного жира. Цель: определить биологический возраст мозга. Что выяснили? 🔹Мозг «молодеет», когда в теле больше мышечной массы, а внутреннего жира — меньше. 🔹Мозг «стареет» быстрее, если внутреннего жира много, а мышц мало. 🔹Подкожный жир (например, на бёдрах или животе) не показал такой сильной связи с возрастом мозга. Практические выводы для здоровья: 🔹 Смотрите не только на вес. Для здоровья мозга важно соотношение мышечной массы и висцерального жира, а не просто цифра на весах или индекс массы тела (ИМТ). 🔹Делайте ставку на мышцы. Лучшая профилактика — не просто похудеть, а увеличить мышечную массу

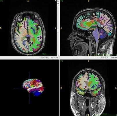
🏥 Влияние состава тела на «возраст» мозга

Недавно завершилась одна из главных мировых конференций по радиологии RSNA в Чикаго. Учёные представили интереснейшее исследование, которое показывает прямую связь между составом тела и «возрастом» мозга.

Суть исследования:

Участники: более 1100 здоровых людей (~55 лет).

Метод: всем сделали МРТ тела и мозга и с помощью ИИ изучили количество мышц, внутреннего (висцерального) и подкожного жира.

Цель: определить биологический возраст мозга.

Что выяснили?

🔹Мозг «молодеет», когда в теле больше мышечной массы, а внутреннего жира — меньше.

🔹Мозг «стареет» быстрее, если внутреннего жира много, а мышц мало.

🔹Подкожный жир (например, на бёдрах или животе) не показал такой сильной связи с возрастом мозга.

Практические выводы для здоровья:

🔹 Смотрите не только на вес. Для здоровья мозга важно соотношение мышечной массы и висцерального жира, а не просто цифра на весах или индекс массы тела (ИМТ).

🔹Делайте ставку на мышцы. Лучшая профилактика — не просто похудеть, а увеличить мышечную массу и уменьшить количество висцерального жира.

Что это значит для медицины?

Методы МРТ для оценки состава тела и мозга могут стать объективным инструментом, чтобы следить за эффективностью диет, тренировок и вовремя корректировать риски для когнитивного здоровья.

🔗 Подробнее об исследовании в телеграм-канале отделения Лучевой диагностики

#ЛучеваяДиагностика