Добавить в корзинуПозвонить
Найти в Дзене
Felix Shamirov

Зубы

Сегодня поговорим о зубах. Хотя я врач и по идее должен знать о медицине больше чем люди других профессий, но всё таки я не стоматолог. Тем не менее мне хочется поделиться своим опытом в решении своих проблем. Так как мне почти 57 лет, то к этому возрасту я уже (увы) потерял несколько зубов. Новые зубы у людей пока ещё не вырастают (хотя, насколько я знаю работы в этом направлении ведутся). Но пока ещё самым распространённым и надёжным способом восстановления утраченных зубов является установка имплантов. Именно этим я и начал заниматься. Зачем это надо? Ну самое главное: если не восстановить зубы, то нарушается прикус зубов (окклюзия). В норме прикус обеспечивает равномерное распределение нагрузки во время жевания, помогает правильно произносить звуки, способствует здоровью дёсен и зубов, а также поддерживает нормальное функционирование височно-нижнечелюстных суставов. При потере коренных зубов жевать придётся передними зубами. А они на это не рассчитаны. Они начинают ускоренно стира
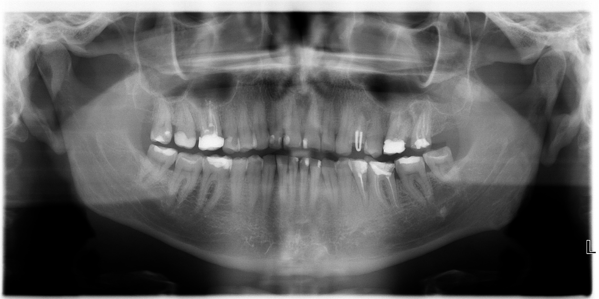
Панорамный снимок
Панорамный снимок

Сегодня поговорим о зубах. Хотя я врач и по идее должен знать о медицине больше чем люди других профессий, но всё таки я не стоматолог. Тем не менее мне хочется поделиться своим опытом в решении своих проблем.

Так как мне почти 57 лет, то к этому возрасту я уже (увы) потерял несколько зубов. Новые зубы у людей пока ещё не вырастают (хотя, насколько я знаю работы в этом направлении ведутся). Но пока ещё самым распространённым и надёжным способом восстановления утраченных зубов является установка имплантов. Именно этим я и начал заниматься.

Зачем это надо? Ну самое главное: если не восстановить зубы, то нарушается прикус зубов (окклюзия).

В норме прикус обеспечивает равномерное распределение нагрузки во время жевания, помогает правильно произносить звуки, способствует здоровью дёсен и зубов, а также поддерживает нормальное функционирование височно-нижнечелюстных суставов. При потере коренных зубов жевать придётся передними зубами. А они на это не рассчитаны. Они начинают ускоренно стираться. Ну и конечно эстетика начинает страдать.

Сразу хочу сказать, что я не буду рассматривать никаких других методов кроме имплантации. Попробую рассказать по пунктам как это сделать наилучшим образом. Погнали.

1) Зубы надо беречь. Желательно с самого детства. Чистить утром и вечером, полоскать после приёма пищи. Не ложиться спать с конфетой во рту (не шутка если что). Главная причина появления кариеса это остатки пищи, на которых начинают размножаться бактерии. Именно они и растворяют эмаль и приводят к появлению кариеса. Если после каждого приёма пищи её удалять щёткой с пастой, то есть высокая вероятность ни разу за всю жизнь не посетить стоматолога. Увы, ко мне это не относится, хотя у моего сына Гриши есть шанс. Я слежу чтобы он всё делал как надо.

2) регулярно заглядывать себе в рот. И если там увидишь чёрное пятно, то это значит, что кариозные монстры уже живут у тебя на эмали. Срочно иди к стоматологу, лечи, ставь пломбу.

3) Если залеченный или даже незалеченный зуб болит и не проходит, то надо идти. Да, стоматологов многие боятся, но зря. Лечение неосложнённого кариеса совершенно не больно. И даже приятно если врач молодая и красивая)) Но даже если ты довёл себя до зубной боли, то это тоже нестрашно. Ультракаин или лидокаин творит чудеса. Тебе всё депульпируют, прочистят каналы и запломбируют. Потом будут смотреть рентген. Там обычно всё видно. Далее возможны варианты, но стоматологи-терапевты обычно до последнего пытаются спасти зуб. Депульпированный зуб тоже может болеть. Я не буду вдаваться в подробности, для этого надо знать очень много того, чему учат в стоматологических ВУЗах. И если уже они говорят, что это только удаление, то значит так оно и есть. Многие думают так: перетерплю, а потом он сам пройдёт. Нет, не пройдёт. Будет болеть и болеть, потом появится свищ и будете наблюдать истечение гноя из очага инфекции. А потом всё равно пойдёте на удаление. Только промучаетесь какое то время, но итог всё равно не изменится.

4) После того, как зуб удалили надо подождать пару недель когда рана заживёт. А потом можно заниматься имплантацией. Сразу ИМХО не стоит, так как имплант может не прижиться. Он будет болеть и болеть и всё равно его придётся удалить. Лучше подождать.

5) Итак, рана зажила и вы можете идти на на операцию по вживлению импланта. Процедура эта платная и полисом ОМС не покрывается. У нас в Москве в нашей государственной стоматологической поликлинике эта операция стоит 35 тысяч.

6) Далее надо ждать когда имплант врастёт в кость. Для верхней челюсти это шесть месяцев, для нижней три месяца.

7) Когда срок прошёл и если всё нормально, то можно приступать к протезированию. Эта процедура также платная и состоит из трёх этапов

а) Установление формирователя десны. Это стоит у нас 6 тыс.

б) Снятие слепка и изготовление коронки. Через 2 недели после этапа "а"

в) Установка коронки. Через 2-3 недели после этапа "б"

Протезирование с использованием коронки из циркония в Москве стоит 40 тыс в нашей поликлинике.

Итог: на всю процедуру имплантации одного зуба на верхней челюсти у меня ушло примерно семь месяцев и около 80 тысяч рублей. На то же самое, но на нижней челюсти ушло четыре месяца и та же сумма денег.

После того, как мне установили часть потерянных зубов, жевать стало значительно проще. И истирание передних зубов замедлилось. В идеале надо восстанавливать все потерянные зубы кроме зубов мудрости восьмёрок. Я понимаю, что эта работа долгая и стоит много денег. Но поверьте, оно того стоит.

А у меня на сегодня всё. Всем добра.