Добавить в корзинуПозвонить
Найти в Дзене

НЕСГИБАЕМЫЕ ЭНДОПРОТЕЗЫ… ИЛИ ПАЦИЕНТЫ?

Активности после эндопротезирования тазобедренного сустава - одна из любимых моих тем. На фото выше - мой пациент, о котором я уже писал неоднократно. Самый, на мой взгляд, уникальный триатлонист, который в 62 года НАЧАЛ заниматься триатлоном. В процессе тренировок сломал шейку бедра, эндопротезирование; сломал бедро вокруг ножки протеза - ревизионное эндопротезирование. Сейчас ему 74. Вчера получаю сообщение от товарища-реабилитолога: «9 числа Леонид, катаясь на горных лыжах в Италии по ледяному склону, упал, и врезался правым боком в деревянное ограждение. Вывихнул фалангу большого пальца кисти, сломал нижние рёбра, ударился бедром; онивесь ушибленный, ушиб всего Леонида… (дальше вопросы)… Бедро у него болит в паху, когда ходит медленно, акогда он подбегивает (со сломанными рёбрами!!!), или когда занимается на эллипсе - не болит….. (детали)…. В целом у Леонида вообще всё отлично - он опять стал бегать, со спортивной ходьбы перешел на бег, и уже 20 км он бегал, в ближайшее время по

Активности после эндопротезирования тазобедренного сустава - одна из любимых моих тем. На фото выше - мой пациент, о котором я уже писал неоднократно. Самый, на мой взгляд, уникальный триатлонист, который в 62 года НАЧАЛ заниматься триатлоном. В процессе тренировок сломал шейку бедра, эндопротезирование; сломал бедро вокруг ножки протеза - ревизионное эндопротезирование. Сейчас ему 74.

Вчера получаю сообщение от товарища-реабилитолога: «9 числа Леонид, катаясь на горных лыжах в Италии по ледяному склону, упал, и врезался правым боком в деревянное ограждение. Вывихнул фалангу большого пальца кисти, сломал нижние рёбра, ударился бедром; онивесь ушибленный, ушиб всего Леонида… (дальше вопросы)… Бедро у него болит в паху, когда ходит медленно, акогда он подбегивает (со сломанными рёбрами!!!), или когда занимается на эллипсе - не болит….. (детали)…. В целом у Леонида вообще всё отлично - он опять стал бегать, со спортивной ходьбы перешел на бег, и уже 20 км он бегал, в ближайшее время полную марафонскую дистанцию должен бежать»…

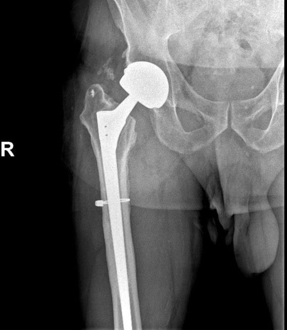
Чтобы было понятно - стоит вот такой протез:

-2

Кстати, без него бедро вполне могло бы сломаться при падении.

Сегодня же получаю от пациента, которому три недели назад заменил тазобедренный сустав, такое видео:

-3

Плывёт в бассейне с противотоком. ТРИ НЕДЕЛИ после замены тазобедренного сустава:

-4

Профессиональный борец, очень больной позвоночник - под операцию. Плывёт. Не даёт себе засохнуть!

Понимаете, к чему я клоню? Не к тому, что залог успеха операции - крутой хирург/крутой протез/крутая реабилитация. Это всё очень важно. Но не менее важно - это сам пациент. Его настрой, жажда жизни, потребность в активных движениях.

Современное эндопротезирование тазобедренного сустава позволяет полноценно пользоваться оперированной ногой уже в ранние сроки после операции. Не жалеть себя и протез, а нагружать. Лучше в разумных рамках, конечно. Кроме того, многое зависит от модели и комплектации сустава, но в целом - максимально полноценная жизнь.