Найти в Дзене
НАУКА из первых рук

Нарушение суточных ритмов увеличивает риск развития рака груди

Все живое на планете так или иначе подчиняется природным ритмам: смене дня и ночи, света и темноты, времен года… Эти циклы синхронизируют биологические процессы, выступая в роли молекулярного фундамента биологических часов. А неправильная работа последних может вести к развитию заболеваний, включая онкологические Циркадными ритмами называют циклические колебания интенсивности различных биологических процессов, связанные со сменой дня и ночи. Как показывают многочисленные эпидемиологические исследования, их нарушение (например, при сменной работе или частых поездках через часовые пояса) существенно влияет на здоровье человека. Сбои в работе биологических часов увеличивают риск развития сердечно-сосудистых заболеваний, расстройств обмена веществ и онкологических болезней, включая рак молочной железы. Однако молекулярный механизм, лежащий в основе такого канцерогенеза, практически не изучен. Исследователи из США провели эксперименты на мышах – генетических моделях очень агрессивного трижд

Все живое на планете так или иначе подчиняется природным ритмам: смене дня и ночи, света и темноты, времен года… Эти циклы синхронизируют биологические процессы, выступая в роли молекулярного фундамента биологических часов. А неправильная работа последних может вести к развитию заболеваний, включая онкологические

Циркадными ритмами называют циклические колебания интенсивности различных биологических процессов, связанные со сменой дня и ночи. Как показывают многочисленные эпидемиологические исследования, их нарушение (например, при сменной работе или частых поездках через часовые пояса) существенно влияет на здоровье человека. Сбои в работе биологических часов увеличивают риск развития сердечно-сосудистых заболеваний, расстройств обмена веществ и онкологических болезней, включая рак молочной железы. Однако молекулярный механизм, лежащий в основе такого канцерогенеза, практически не изучен.

Исследователи из США провели эксперименты на мышах – генетических моделях очень агрессивного трижды негативного рака молочной железы. Одна группа таких животных жила с возраста 8 недель в условиях нормального (день-ночь) светового суточного цикла, а другая, экспериментальная, – нарушенного. В качестве контроля использовались обычные лабораторные мыши, которых также помещали в экспериментальные условия. Все исследование заняло 20 недель.

У самок мышей-моделей рака опухоли обычно развиваются в возрасте
примерно 22 недели. Но у мышей со сбитыми биологическими часами они
появились на 4 недели раньше, также у них было больше очагов метастазов в
легких, что служит ключевым показателем летальных исходов.

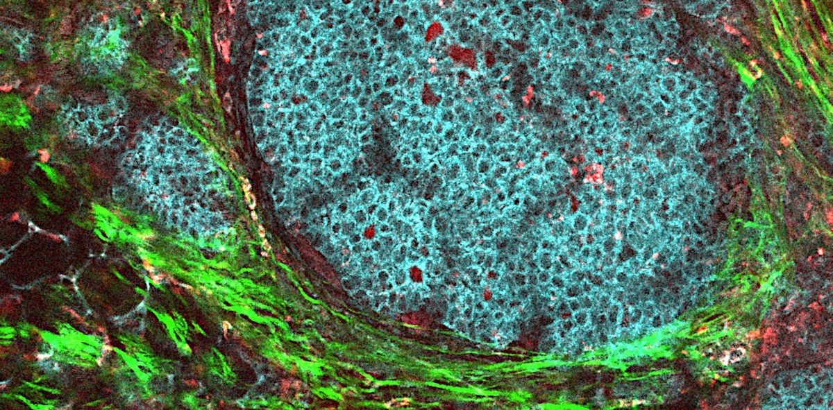
Клетки опухоли молочной железы (голубым цветом) и ее микроокружение у мыши. Красным цветом отмечены иммунные клетки макрофаги, зеленым –коллагеновые волокна. Многофотонная микроскопия и эндогенная флуоресценция. © CC BY-NC 2.0/National Cancer Institute, NIH
Клетки опухоли молочной железы (голубым цветом) и ее микроокружение у мыши. Красным цветом отмечены иммунные клетки макрофаги, зеленым –коллагеновые волокна. Многофотонная микроскопия и эндогенная флуоресценция. © CC BY-NC 2.0/National Cancer Institute, NIH

Как выяснилось, у животных со сбитыми биологическими часами структура
здоровой ткани молочной железы оказалась нарушена таким образом, что
она стала более уязвимой для рака. У них также формировалась
благоприятная среда для роста раковых клеток: микроокружение опухоли
становилось иммуносупрессивным, а опухоли – «холодными». Опухоли
называют «горячими», когда в них обнаруживаются иммунные Т-клетки,
мобилизующиеся для борьбы с раковыми клетками. «Холодные» опухоли не
содержат таких клеток, что затрудняет иммунную атаку, в том числе при
использовании иммунотерапевтических препаратов.

При анализе активности генов у экспериментальных мышей внимание ученых привлек ген Lilrb4a, который кодирует лейкоцитарный иммуноглобулин-подобный рецептор 4a (LILRB4). Белок LILRB4 известен своей способностью подавлять иммунный ответ при нескольких видах рака. В норме он служит «предохранителем», препятствуя чрезмерному развитию воспаления, но при раке мешает проникновению в опухоль цитотоксических Т-клеток.

Как оказалось, уровень LILRB4 был выше в образцах опухолей и ткани
здоровых молочных желез, взятых у мышей с нарушенными циркадными
ритмами. Когда исследователи ввели таким животным антитела против этого
белка, процесс метастазирования в легкие у них замедлился. Это
подтверждает гипотезу, что повышенный уровень LILRB4 способствует
агрессивному канцерогенезу, индуцированному сбоем внутренних
биологических часов.

Результаты указывают на LILRB4 как на связующее звено между нарушениями циркадных ритмов и раком молочной железы. Этот белок может стать терапевтической мишенью для снижения риска развития рака молочной
железы у людей, чей образ жизни или профессия связаны с хроническими
нарушениями циркадных ритмов.

Фото: https://commons.wikimedia.org

Публикации по теме:

Камертон старения

Открытие молекулярных механизмов работы циркадного ритма

Мелатонин – при диабете и ожирении показан

Иммунотерапия рака, или как обучить иммунитет команде «фас!»

Во власти опухоли: почему метастазы так трудно остановить?