Найти в Дзене
Parodoctor

Зуб 2.6 под старой коронкой заболел - перелечивание каналов, кариес корня и коронка через 4 месяца. Рискованно?Нет

В мае писала про масштабную работу - терапевт делал билдапы на 4 зуба, ортопед ставил коронки из диоксида циркония. Остальное лечение пациентка хотела перенести на осень, но начал беспокоить 2.6 зуб под старой коронкой. Обещала рассказать, как будет двигаться лечение - оно многоэтапное. Рассказываю. Обнаружили проблему Пациентка пришла на плановую работу - лечить зубы, менять старые несостоятельные коронки. Сегодня речь пойдёт о лечении 2.6 зуба (первый моляр слева сверху), он под дефектной коронкой: Зуб 2.6 под дефетной коронкой На КТ картина не очень радостная, но и не патовая - такое сейчас лечится: Кариес корня проник глубоко под коронку, на верхушках корней видны очаги воспаления - периодонтит. Каналы запломбированы фрагментарно, яркий белый наполнитель прослеживается слабовато. Под коронкой годами развивался кариес, инфекция в недолеченных каналах вызвала воспаление на корнях. Варианта два - перелечивать или удалять. Решили бороться за зуб, естественно. Перелечивание каналов
Оглавление

В мае писала про масштабную работу - терапевт делал билдапы на 4 зуба, ортопед ставил коронки из диоксида циркония. Остальное лечение пациентка хотела перенести на осень, но начал беспокоить 2.6 зуб под старой коронкой. Обещала рассказать, как будет двигаться лечение - оно многоэтапное.

Рассказываю.

Обнаружили проблему

Пациентка пришла на плановую работу - лечить зубы, менять старые несостоятельные коронки. Сегодня речь пойдёт о лечении 2.6 зуба (первый моляр слева сверху), он под дефектной коронкой:

На КТ картина не очень радостная, но и не патовая - такое сейчас лечится:

-2

Кариес корня проник глубоко под коронку, на верхушках корней видны очаги воспаления - периодонтит. Каналы запломбированы фрагментарно, яркий белый наполнитель прослеживается слабовато. Под коронкой годами развивался кариес, инфекция в недолеченных каналах вызвала воспаление на корнях.

Варианта два - перелечивать или удалять. Решили бороться за зуб, естественно.

Перелечивание каналов 2.6 зуба

Ортопед убрал старую коронку. То, что под ней - лучше не вспоминать. Кариес "съел" часть зуба, старая пломба в каналах частично выпала, частично превратилась в труху. Работы на полтора часа с микроскопом.

Первый этап всегда самый сложный. Нужно убрать весь кариес, а он дошёл почти до десны. Найти все каналы - в верхнем моляре их, обычно, три-четыре штуки. Когда-то где-то что-то могли и прпустить (по КТ это можно увидеть). Убрать старый пломбировочный материал - он прикипел, задубел, вычищать приходится микроинструментами по крупицам. Пройти каналы до самой верхушки, промыть специальными растворами, продезинфицировать.

Всё получилось. Успех.

Через две недели вторй этап. Зуб не беспокоит.

Второй этап технически проще, но не менее важен. Убрали временную пломбу, провели финальную обработку каналов, запломбировали их гуттаперчей с силером. Каналы запломбировали на всю длину, плотно, без пустот.

Сразу же восстановили коронковую часть - выполнили билдап с СВШ (Макролок). Нужно, чтобы было на что коронку надевать и чтобы эта основа выдержала жевательную нагрузку на годы вперёд. Мы сейчас именно через билдапы пациентов ведём, не через культевые вкладки. Результаты радуют.

Установка коронки из диоксида циркония на 2.6 зуб

Прошло четыре месяца - самое время оценить результат. Эндодонтия - это не быстрая история. Кость восстанавливается медленно, воспаление уходит постепенно. Нельзя пролечить каналы и через неделю ставить коронку - нужно дождаться, пока организм справится с последствиями инфекции, нужно понаблюдать.

Снимок не информативный, сделан в после пломбировки каналов, в тот же день - залегание макролока, материал в каналах до верхушек. Мелкие очаги на корнях заживают быстро.

Заживший периодонтит 2.6 зуба
Заживший периодонтит 2.6 зуба

Через 4 месяца точно можно ставить постоянную коронку. Ортопед сделал всё в лучших традициях современной стоматологии. Обточка минимальная, щадящая, только то, что необходимо для посадки коронки:

Обточенный под коронку билдап
Обточенный под коронку билдап

Цифровой слепок сканером:

Цифровой слепок
Цифровой слепок

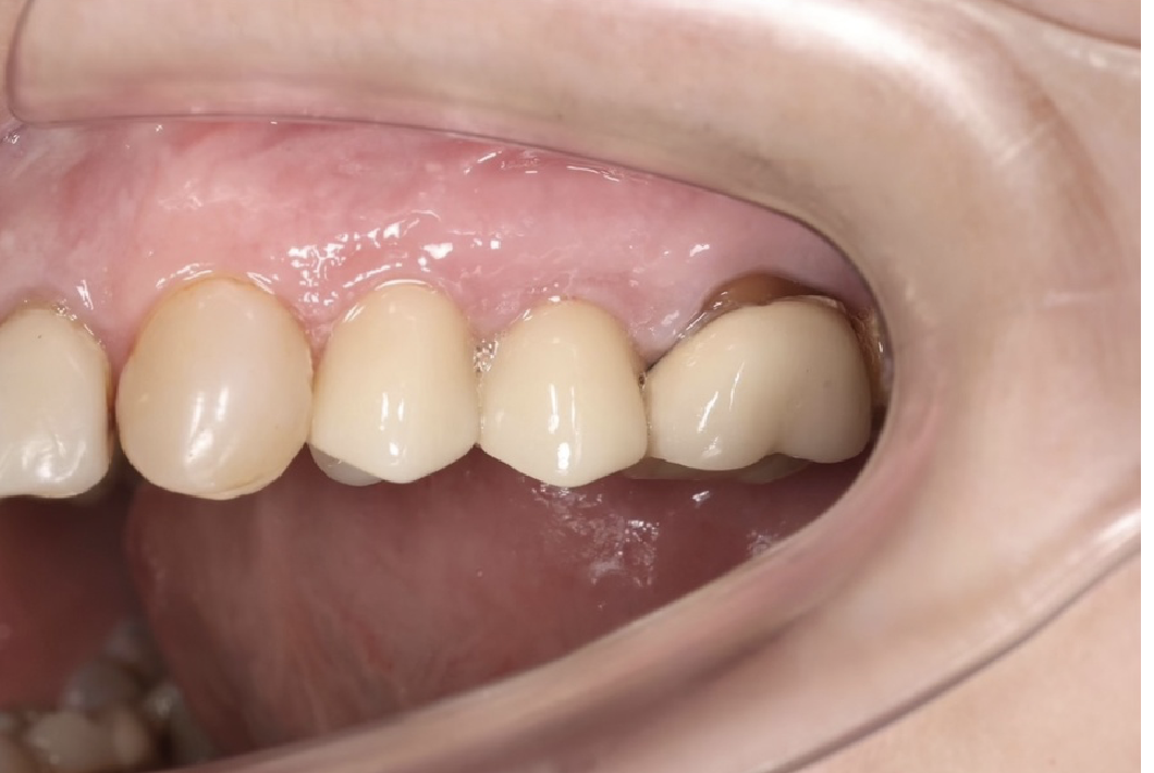
Коронка из диоксида циркония:

Результат - зуб спасён:

-7

Он функционирует, не беспокоит, эстетика хорошая, не "залепуха".

Разговор с терапевтом - про неудачи, которых, собственно, и нет

Сегодня разговаривала с терапевтом, который лечил вёл этот случай. Говорит он: - "Надо бы написать про какие-то неудачи. Прям хотелось бы такой материал разобрать".

"И много ли случаев наскребсти реально?" - спрашиваю.

Задумался. Морщил лоб, перебирал в памяти что-то. Мыслитльный процесс активно шёл.

"Ну... несколько лет назад что-то было подобное. Но там не то чтобы неудача - хуже не стало, просто особо лучше тоже не стало. Пациента ничего не беспокоит, периодически приходит на контроль, наблюдаем".

Вот и вся "коллекция неудач" за несколько лет работы. Один случай, который даже неудачей не назовёшь в полной мере - просто не блестящий результат. Доктор - жууууткий перфекционист. Если взялся и сказал, что случай не безнадёжный - вылечит.

Пусть так будет всегда.

Почему у хороших врачей мало неудач

Секрет простой - хороший врач не берётся за заведомо безнадёжные случаи. Это не трусость и не перестраховка. Это профессионализм и понимание.

Когда терапевт смотрит на КТ и видит, что зуб не спасти - трещина уходит под десну, перфорация стенки, резорбция корня - он честно говорит: - "К хирургу". Не тратит время и деньги пациента на бессмысленные попытки героически спасти то, что спасти невозможно. Увы, но и обратное встречается повсеместно - мы приговариваем зуб к удалению, а кто-то где-то его "лечит". Смотреть на это "лечение" больно, кроме шуток. Как-нибудь напишу статью, что ли.

Если кто-то из моих врачей берётся за лечение очень сложного зуба - значит, уверен в успехе на 95% (это много). Потому что сотни таких случаев вылечили. Знают, что сработает, а что нет. Умеют отличить спасаемое от безнадёжного. Понимают, где граница между "сложно, но можно" и "невозможно, не мучайте зуб".

Поэтому и неудач практически нет. Не потому что врачи волшебники, которые творят чудеса. А потому что профессионалы, которые знают границы возможного и не берутся за невозможное.

Вывод

Эта история - скучная, ничего захватывающего дух в ней нет. Как и многие другие истории на канале.

Пришёл пациент с проблемой - решили проблему. Было плохо - стало хорошо. Болел зуб - перестал болеть. Некрасиво было - красиво стало. Воспаление было - прошло. Каналы были недолечены - перелечили.

Как же меня радует эта скука и банальщина.

Наши пациенты в надёжных руках. Руках профессионалов, которые берутся за дело, только когда уверены в результате. И пусть это будет самая скучная история успеха в мире стоматологических клиник. Зато с хеппи-эндом.

Начало истории пациентки:

Вопросы задавайте в моём Telegram-канале - там я их точно увижу и отвечу. В Дзене сотни комментариев под сотнями статей и я физически не успеваю всё всегда мониторить. В Telegram все вопросы в одном месте, удобно отвечать, можно фото прикрепить. Так что жду в тг:

Parodoctor

С уважением, Лежачёва Наталия Александровна, хирург-пародонтолог и главный врач стоматологии Parodent, СПб.