Найти в Дзене
Parodoctor

Первый этап большого комплексного лечения зубов. С чего начать зубную эпопею

А можно не все зубы сразу лечить? По частям разбить мероприятие, по сегментам, с самых проблемных начать? Бывает, что ситуация во рту очень сложная и требуется капитального ремонта, а это - не один месяц работы. Да и не у всех сходу найдётся такое большое количество времени и/или денег. Одно дело, когда нужно вылечить пару зубов, да гигиену выполнить. Тут всё просто. Когда же пациент "влип по крупному", возникает путаница, иногда граничащая с отчаянием. Начинать любое лечение рекомендую с качественной профессиональной гииены. Это база. При тотальной хирургической работе (когда ни одного родного зуба сохранить не получится) существует большая зависимость от прикуса - если он устраивает всех, то можно делать имплантацию и протезирование в два захода, между манипуляциями может пройти хоть год, хоть три. Если же прикус потерян (зубы отсутствуют или разъехались из-за пародонтита) и требуется его новое определение и фиксация, то придётся делать всё и сразу. Отложить удовольствие не получи
Оглавление

А можно не все зубы сразу лечить? По частям разбить мероприятие, по сегментам, с самых проблемных начать?

Бывает, что ситуация во рту очень сложная и требуется капитального ремонта, а это - не один месяц работы. Да и не у всех сходу найдётся такое большое количество времени и/или денег.

Одно дело, когда нужно вылечить пару зубов, да гигиену выполнить. Тут всё просто. Когда же пациент "влип по крупному", возникает путаница, иногда граничащая с отчаянием.

Начинать любое лечение рекомендую с качественной профессиональной гииены. Это база.

Хирургический тотал

При тотальной хирургической работе (когда ни одного родного зуба сохранить не получится) существует большая зависимость от прикуса - если он устраивает всех, то можно делать имплантацию и протезирование в два захода, между манипуляциями может пройти хоть год, хоть три.

Если же прикус потерян (зубы отсутствуют или разъехались из-за пародонтита) и требуется его новое определение и фиксация, то придётся делать всё и сразу. Отложить удовольствие не получится.

Ортодонтия - исправление прикуса

Крайне редко допускается работа только с одной челюстью, потому что прикус зависит от взаимного расположения зубов обеих челюстей. Если пытаться выравнять зубной ряд на одной из челюстей, вторая не факт, что подстроится самостоятельно.

Терапия

Терапия может быть как полностью самостоятельной, так и являться этапом подготовки перед другим лечением (ортопедия, ортодонтия).

Во втором варианте "рулят" логистикой те, кто к терапевту пациента направил. Например, перед изменением прикуса очень важно провести санацию полости рта, ликвидировав все кариозные очаги. Современный ортопед тоже без терапевта как без рук - кто под коронку остатки зуба подготовит? Кто билдап выплнит качественный? Он самый, терапевт-трудяга.

А теперь рассмотрим наш клинический случай - маленький этап большой комплексной работы

Сканирование 3Д, цифровой слепок
Сканирование 3Д, цифровой слепок

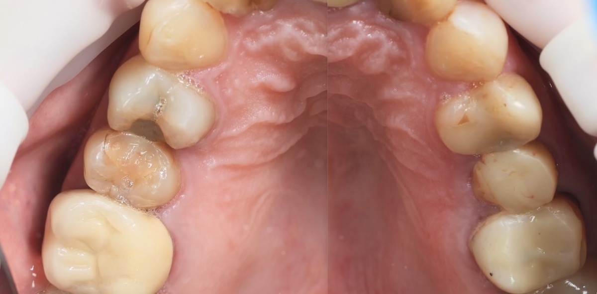
Тут проблем сразу много - от поддесневых зубных отложений и воспалённых дёсен, до клиновидных дефектов и разрушенных зубов, состоящих из пломбирововчного материала. Что бы всё привести в хороший вид, нужно потратить большое количество сил, времени и денег.

Первым делом - гигиена.

Основное лечение решено было начать с самых "слабых" мест, с зубов, которые могли бы разрушиться от хлебного мякиша - 1.4, 1.5, 2.4 и 2.5, премоляры.

Ситуация с премолярами ДО лечения
Ситуация с премолярами ДО лечения

Очень большие сомнения были по спасению зуба 2.5, от нёбной стенки которого мало что осталось. Но терапевт СМОГ - эндодонтически все 4 зуба перелечил (перелечил каналы):

Перелечивание каналов зубов 1.4, 1.5, 2.4 и 2.5
Перелечивание каналов зубов 1.4, 1.5, 2.4 и 2.5

И сделал билд-апы с СВШ:

Билд-ап и СВШ (Макролок)
Билд-ап и СВШ (Макролок)

Затем настала очередь ортопеда - обточка зубов под коронки. Снимали видео и я его выкладывала на канале:

А теперь настало время самого главного действия - установка коронок из диоксида циркония.

1.4, 1.5:

-5

2.4 и 2.5:

-6

Пациентка оставшееся лечение хотела перенести на осень, но начал беспокоить 2.6 зуб под коронкой (где видны оголённые корни).

Можно заметить проблемы с десной в области фронтальных зубов верхней челюсти нёбно - воспаление. Купировать его качественно и надолго не выйдет, потому что причина в нависающих краях реставраций. Бактерии поселились там основательно, переезжать не желают. Ну ничего, ортопед выселит их принудительно, но теперь уже не совсем скоро - осень, так осень.

Вот пример частичной врачебной работы. Прикус не трогали, зубов у пациентки своих много (нет лишь 1 шт) и сохранить их, пока что, удаётся. Помним, что родные зубы прощают многое хозяину. Скорее всего, потребуется вернуть на место зуб, который выдвинулся из-за того, что антагонист его отсутствует. Каким образом это будет выполнено, узнаем позже. Зависит от того, что там с корнями, жив ли он, может ли его перемещение "заблокировать" челюсть. Но всё это, как вы понимаете, позже.

Больше материалов по ортопедии в подборке:

Ортопедия и материалы | Parodoctor | Дзен

Связь со мной, ответы на комментарии и вопросы, всякие актуальные новости - в моём ТГ канале:

Parodoctor

С уважением, Лежачёва Наталия Александровна, хирург-пародонтолог и главный врач стоматологии Parodent, СПб.

Телефон клиники +7 (981) 727-89-69

Почта parodent.spb@yandex.ru