Найти в Дзене

Уникальная история комплексного преображения: от хирургии до идеальной улыбки. Часть 3. Финал.

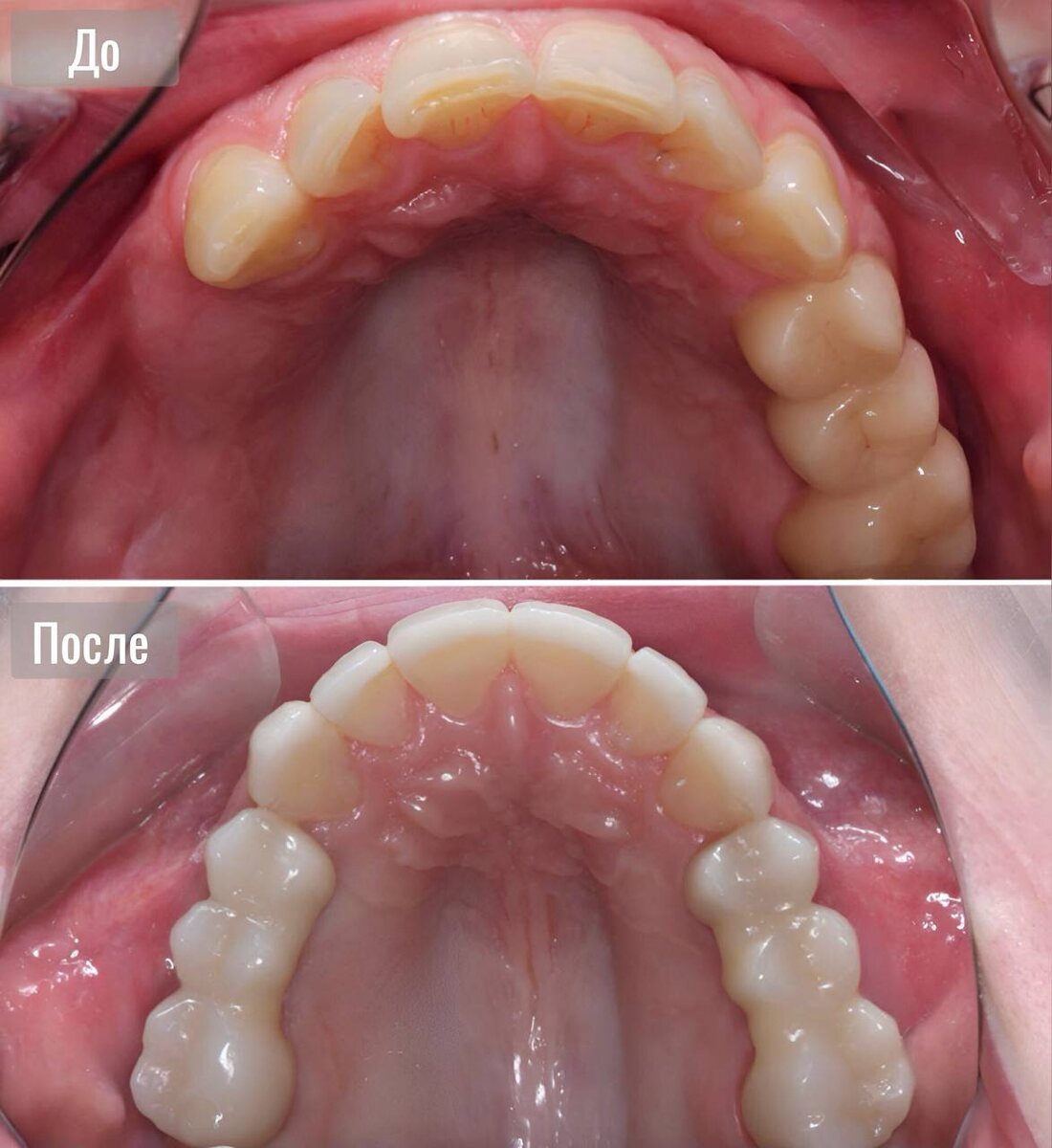
Мы подошли к финалу нашего большого и по-настоящему уникального случая! Напоминаем, что изначальный запрос пациента был восстановить отсутствие жевательных зубов на верхней и нижней челюсти. Ранее мы уже рассказали о сложных хирургических этапах лечения в этой и этой статье. Резюмируем: Первым и базовым этапом была проведена профессиональная гигиена и терапевтическое лечение. Вторым этапом и одним из самых значимых, очень индивидуальным и сложным — было проведение хирургии. Мы выполнили два синус-лифтинга на верхней челюсти, гингивопластику и костную пластику на нижней челюсти. Все эти процедуры были необходимы, чтобы создать надёжный фундамент для будущих ортопедических конструкций. Долгожданный завершающий этап: тотальное протезирование. После установки имплантатов и завершения заживления пациенту были изготовлены временные коронки. Они позволили восстановить эстетику и функцию на время, пока ткани адаптировались и стабилизировались. Временные конструкции помогают врачу точно выстрои
Оглавление

Мы подошли к финалу нашего большого и по-настоящему уникального случая!

Напоминаем, что изначальный запрос пациента был восстановить отсутствие жевательных зубов на верхней и нижней челюсти. Ранее мы уже рассказали о сложных хирургических этапах лечения в этой и этой статье. Резюмируем:

Первым и базовым этапом была проведена профессиональная гигиена и терапевтическое лечение.

Вторым этапом и одним из самых значимых, очень индивидуальным и сложным — было проведение хирургии.

Мы выполнили два синус-лифтинга на верхней челюсти, гингивопластику и костную пластику на нижней челюсти. Все эти процедуры были необходимы, чтобы создать надёжный фундамент для будущих ортопедических конструкций.

Этапы тотального протезирования

Долгожданный завершающий этап: тотальное протезирование.

Временные коронки

После установки имплантатов и завершения заживления пациенту были изготовлены временные коронки. Они позволили восстановить эстетику и функцию на время, пока ткани адаптировались и стабилизировались.

Временные конструкции помогают врачу точно выстроить прикус и форму будущих зубов, а пациенту — привыкнуть к обновлённому ощущению комфорта.

Диагностический мокап

Следующий шаг — временный мокап, прототип будущих реставраций.

Он даёт возможность примерить будущую форму, длину и пропорции зубов, оценить эстетику улыбки и внести необходимые коррективы ещё до финальной фиксации.

Постоянные конструкции

После финальной адаптации мы изготовили и зафиксировали индивидуальные конструкции:

  • в жевательном отделе: коронки на имплантатах, обеспечивающие стабильность, надёжность и полноценное жевание
  • во фронтальном отделе: виниры, которые подчеркнули эстетику, естественность и гармонию улыбки.
-2
-3

Результат — восстановленная функция, идеальные пропорции, сбалансированная эстетика и, главное, комфорт.

Подведение итога

Этот случай — наглядный пример того, как многоэтапная и продуманная работа врачей разных направлений позволяет достичь результата, где каждая деталь продумана до совершенства.

-4

Мы искренне верим, что красивая, здоровая улыбка — это не только про эстетику, а про внутреннее состояние уверенности, спокойствия и качества жизни!

В завершение

Завершение таких случаев — это всегда особая радость для всей команды!

Потому что за каждым результатом стоит не только профессионализм, но и забота, внимание и искреннее желание вернуть человеку комфорт и уверенность.

Теперь пациент может полноценно наслаждаться качеством жизни, не ограничивая себя в привычках и ощущениях.

-5

Благодарим пациента за доверие и терпение!

Так же благодарим всю команду — за слаженную работу и высочайший уровень исполнения!

А ещё приглашаем вас в наш
телеграм-канал, где каждую среду мы публикуем видео-ответы на ваши вопросы и обсуждаем актуальные стоматологические темы!

Будьте здоровы!