Найти в Дзене

Энцефалит: когда воспаляется мозг

Энцефалит — это острое инфекционное воспаление самого вещества головного мозга, характеризующееся поражением нейронов и глиальных клеток. Заболевание отличается тяжелым течением и высоким риском летального исхода или инвалидизации. Ежегодно в мире регистрируется около 5-10 случаев на 100 000 населения. По этиологии: Основные возбудители: Вирусные: Бактериальные: Аутоиммунные: Стадии развития: Особенности при герпетическом энцефалите: Общемозговые симптомы: Очаговая неврологическая симптоматика: Психические нарушения: Люмбальная пункция: МРТ головного мозга: ЭЭГ: Дополнительные исследования: Ранние осложнения: Поздние последствия: Роль ЭМС-тренировок в восстановлении Показания к применению: Механизмы лечебного действия: 1. Восстановление нервно-мышечной передачи: 2. Борьба с мышечной атрофией: 3. Улучшение микроциркуляции: Практические протоколы ЭМС: Ранний восстановительный период (1-6 месяцев): Основной восстановительный период (6-12 месяцев): Поздний восстановительный период (после 1
Оглавление

Что такое энцефалит?

Энцефалит — это острое инфекционное воспаление самого вещества головного мозга, характеризующееся поражением нейронов и глиальных клеток. Заболевание отличается тяжелым течением и высоким риском летального исхода или инвалидизации. Ежегодно в мире регистрируется около 5-10 случаев на 100 000 населения.

Классификация и причины

По этиологии:

  • Первичный — прямое поражение мозга вирусами
  • Вторичный — постинфекционный, аутоиммунный

Основные возбудители:

Вирусные:

  • Вирус простого герпеса 1-го типа (20% случаев)
  • Вирус клещевого энцефалита
  • Цитомегаловирус
  • Вирус Эпштейна-Барр
  • Энтеровирусы

Бактериальные:

  • Боррелии (болезнь Лайма)
  • Микобактерии туберкулеза
  • Риккетсии

Аутоиммунные:

  • Анти-NMDA-рецепторный энцефалит
  • Энцефалит с антителами к LGI1
-2

Патогенез: что происходит в мозге?

Стадии развития:

  1. Проникновение возбудителя через гематоэнцефалический барьер
  2. Репликация вируса в нейронах и глиальных клетках
  3. Воспалительная реакция с выделением цитокинов
  4. Повреждение и гибель нейронов
  5. Нарушение нейротрансмиссии и проводящих путей

Особенности при герпетическом энцефалите:

  • Поражаются височные и лобные доли
  • Выраженный некроз ткани мозга
  • Образование внутриядерных включений
-3

Клиническая картина

Общемозговые симптомы:

  • Головная боль распирающего характера
  • Тошнота, рвота без облегчения
  • Нарушения сознания от оглушения до комы

Очаговая неврологическая симптоматика:

  • При герпетическом энцефалите:
    Афазия (нарушение речи)
    Гемипарезы (слабость в конечностях)
    Изменения личности
  • При клещевом энцефалите:
    Бульбарные нарушения
    Парезы и параличи
    Эпилептические приступы

Психические нарушения:

  • Дезориентация
  • Галлюцинации
  • Психомоторное возбуждение
  • Когнитивные расстройства

Диагностика

Люмбальная пункция:

  • Лимфоцитарный плеоцитоз
  • Умеренное повышение белка
  • Нормальный уровень глюкозы
  • ПЦР на вирусы герпеса

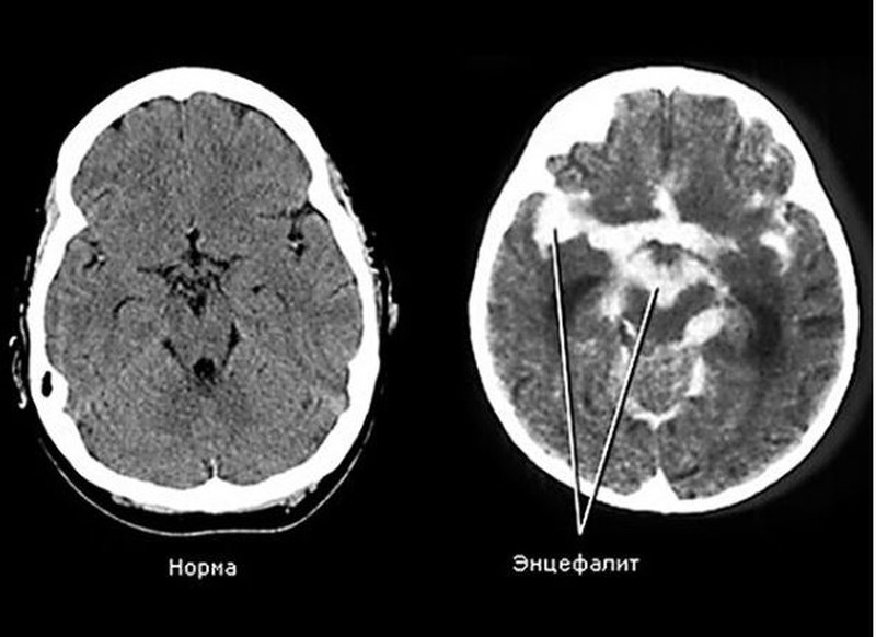
МРТ головного мозга:

  • При герпетическом энцефалите: гиперинтенсивность в медиальных отделах височных долей
  • При аутоиммунном энцефалите: изменения в лимбической системе
  • При клещевом энцефалите: поражение ствола мозга и таламусов

ЭЭГ:

  • Периодические эпилептиформные разряды
  • Диффузное замедление активности
  • Электрический статус медленного сна

Дополнительные исследования:

  • Серологические тесты
  • Исследование крови на аутоантитела
  • Биопсия мозга (в сложных случаях)
-4

Осложнения энцефалита

Ранние осложнения:

  • Отек головного мозга
  • Дислокационный синдром
  • Эпилептический статус
  • Острая дыхательная недостаточность

Поздние последствия:

  • Стойкие парезы и параличи
  • Речевые нарушения (афазия)
  • Когнитивный дефицит
  • Эпилепсия
  • Психические расстройства
-5

Реабилитация после энцефалита

Роль ЭМС-тренировок в восстановлении

Показания к применению:

  • Периферические парезы и параличи
  • Мышечная слабость и атрофия
  • Нарушения нервно-мышечной передачи
  • Спастичность

Механизмы лечебного действия:

1. Восстановление нервно-мышечной передачи:

  • Стимуляция сохранных двигательных единиц
  • Улучшение координации мышечных сокращений
  • Активация синтеза нейротрофических факторов

2. Борьба с мышечной атрофией:

  • Стимуляция синтеза мышечных белков
  • Увеличение мышечной силы и выносливости
  • Профилактика контрактур

3. Улучшение микроциркуляции:

  • Усиление регионарного кровотока
  • Улучшение трофики тканей
  • Ускорение выведения продуктов метаболизма

Практические протоколы ЭМС:

Ранний восстановительный период (1-6 месяцев):

  • Частота: 15-25 Гц
  • Длительность: 10-15 минут на группу мышц
  • Интенсивность: минимальная, безболезненная
  • Курс: 20-30 процедур ежедневно

Основной восстановительный период (6-12 месяцев):

  • Частота: 25-50 Гц
  • Длительность: 20-30 минут
  • Интенсивность: постепенное увеличение
  • Периодичность: 3-4 раза в неделю

Поздний восстановительный период (после 12 месяцев):

  • Индивидуальный подбор параметров
  • Циклический режим
  • Сочетание различных частот

Методики стимуляции при различных нарушениях:

При спастических парезах:

  • Низкочастотная стимуляция (15-25 Гц)
  • Акцент на мышцы-антагонисты
  • Сочетание с миорелаксантами

При бульбарных нарушениях:

  • Стимуляция мышц глотки и гортани
  • Особенная осторожность при проведении
  • Под контролем логопеда

Когнитивная реабилитация:

  • Нейропсихологический тренинг
  • Компьютерные когнитивные программы
  • Логопедические занятия

Физическая терапия:

  • Лечебная физкультура
  • Механотерапия
  • Роботизированная реабилитация

Профилактика энцефалита

Специфическая профилактика:

  • Вакцинация против клещевого энцефалита
  • Прививка от кори, паротита, краснухи
  • Вакцина против японского энцефалита

Неспецифическая профилактика:

  • Защита от укусов клещей
  • Соблюдение личной гигиены
  • Укрепление иммунитета
  • Своевременное лечение инфекций

Прогноз и исходы

Факторы, влияющие на прогноз:

  • Своевременность начала лечения
  • Вид возбудителя
  • Возраст пациента
  • Исходное состояние здоровья

Статистика исходов:

  • Полное восстановление: 20-30%
  • Умеренный неврологический дефицит: 40-50%
  • Грубая инвалидизация: 20-30%
  • Летальный исход: 10-20%

Заключение

Энцефалит остается одним из самых тяжелых заболеваний нервной системы. Успех лечения зависит от ранней диагностики и своевременно начатой терапии. Современные методы реабилитации, включая грамотное применение ЭМС-тренировок, позволяют значительно улучшить функциональные исходы и качество жизни пациентов.

Важно помнить: при появлении симптомов, указывающих на возможный энцефалит, необходимо немедленное обращение за медицинской помощью. Раннее начало лечения — залог благоприятного прогноза. Комплексный подход к реабилитации с использованием современных методов, включая ЭМС-терапию, позволяет достичь максимального восстановления неврологических функций.