Найти в Дзене
Mavie Clinique

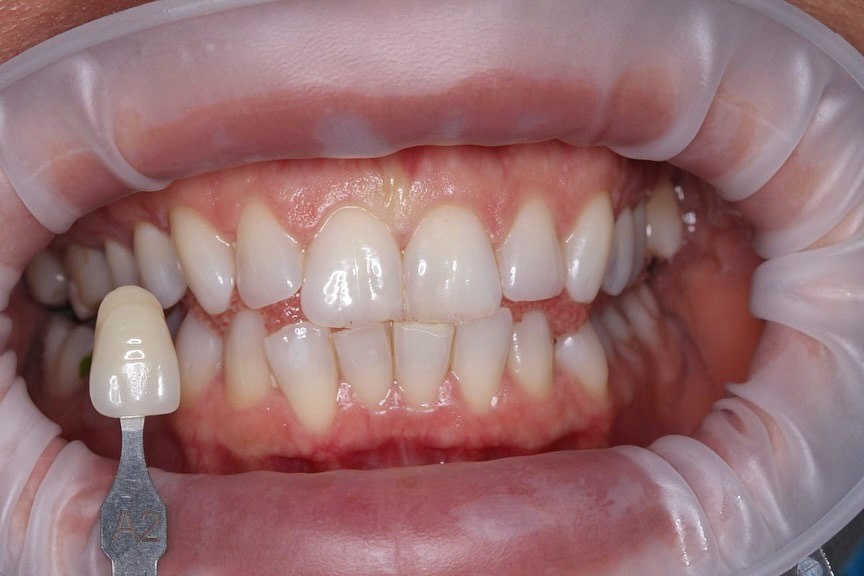
Как долго держится эффект отбеливания зубов?

Разберем частные вопросы об отбеливании ☺️ Как долго держится эффект, полученный после отбеливания ? Постепенное приобретение нового пигментного налета после процедуры отбеливания зубов – абсолютно естественный процесс. Он протекает очень медленно, однако может быть ускорен частым употреблением в пищу красящих веществ, таких как кофе, чай, табак, красное вино, темные газированные и цитрусовые напитки, фрукты и д.р. Но! При соблюдении ежедневных правил гигиены полости рта, «белой диеты» в первые 48 часов после отбеливания, полученный результат продержится от полугода до года. Как часто можно повторять процедуру ? При первичном проведении отбеливания для получения “WOW” эффекта процедуру можно провести в два этапа с интервалом 7-10 дней. Далее отбеливание проводят с интервалом в шесть месяцев и более. Будет ли отбеливание действовать на пломбы и композитные виниры? Нет. Зубное отбеливание не действует на пломбировочный материал. Гель отбеливает только натуральную эмаль. Существуют

Разберем частные вопросы об отбеливании ☺️

Как долго держится эффект, полученный после отбеливания ?

Постепенное приобретение нового пигментного налета после процедуры отбеливания зубов – абсолютно естественный процесс. Он протекает очень медленно, однако может быть ускорен частым употреблением в пищу красящих веществ, таких как кофе, чай, табак, красное вино, темные газированные и цитрусовые напитки, фрукты и д.р. Но! При соблюдении ежедневных правил гигиены полости рта, «белой диеты» в первые 48 часов после отбеливания, полученный результат продержится от полугода до года.

Как часто можно повторять процедуру ?

-2

При первичном проведении отбеливания для получения “WOW” эффекта процедуру можно провести в два этапа с интервалом 7-10 дней. Далее отбеливание проводят с интервалом в шесть месяцев и более.

Будет ли отбеливание действовать на пломбы и композитные виниры?

Нет. Зубное отбеливание не действует на пломбировочный материал. Гель отбеливает только натуральную эмаль.

-3

Существуют какие-нибудь побочные эффекты при отбеливании зубов?

Редкий возможный побочный эффект при отбеливании зубов по системе Amazing White – это повышенная чувствительность зубов и раздражение десен. Все эти симптомы временные и обычно проходят в течение первых суток после процедуры отбеливания.

Записаться на процедуру можно получить телефону+74950030301

Мы находимся по адресу: г. Москва, ул. Зубовский бульвар, д. 15, с. 4.