Найти в Дзене

Зубы: “неважные” симптомы

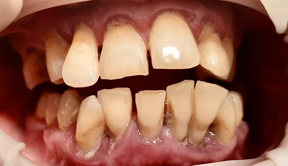
Я понимаю, что жизненные обстоятельства иногда заставляют игнорировать даже видимые признаки проблем с зубами. Иначе у нас не было бы такого количества ртов, требующих глобальных многомесячных реабилитаций. Но всё же ситуация меняется. Пациенты знают: когда появляется боль в зубе, часто лечить уже поздно. Рассказываю, какие проблемы требуют действий до того, как они ударят по кошельку и здоровью. Отношение к этой проблеме двоякое среди пациентов. Кто-то воспринимает три капли крови в процессе интенсивной чистки как признак неминуемой катастрофы и бьёт в набат. Хотя это вариант нормы. Кто-то игнорирует приличные порции крови, появляющиеся на постоянной основе. И вот эту особенность как раз-таки заслуживает вашего пристального внимания. Регулярное появление крови при чистке зубов – это зачастую единственный признак развивающегося пародонтита. Коварство этого заболевания в том, что на начальных стадиях оно протекает совершенно безболезненно. Пародонтит начинается с воспаления дёсен (гинги
Оглавление

Как понять, что вам срочно нужен стоматолог, даже если ничего не болит?

Я понимаю, что жизненные обстоятельства иногда заставляют игнорировать даже видимые признаки проблем с зубами. Иначе у нас не было бы такого количества ртов, требующих глобальных многомесячных реабилитаций. Но всё же ситуация меняется. Пациенты знают: когда появляется боль в зубе, часто лечить уже поздно.

Рассказываю, какие проблемы требуют действий до того, как они ударят по кошельку и здоровью.

1. Кровоточивость дёсен

Отношение к этой проблеме двоякое среди пациентов. Кто-то воспринимает три капли крови в процессе интенсивной чистки как признак неминуемой катастрофы и бьёт в набат. Хотя это вариант нормы. Кто-то игнорирует приличные порции крови, появляющиеся на постоянной основе. И вот эту особенность как раз-таки заслуживает вашего пристального внимания.

Регулярное появление крови при чистке зубов – это зачастую единственный признак развивающегося пародонтита. Коварство этого заболевания в том, что на начальных стадиях оно протекает совершенно безболезненно. Пародонтит начинается с воспаления дёсен (гингивита), при котором патогенные бактерии зубного налёта атакуют мягкие ткани. Постепенно воспаление распространяется глубже, поражая весь комплекс тканей пародонта: цемент зуба, периодонтальную связку, альвеолярную кость.

Пока человек успокаивает себя мыслью, что "ничего не болит", заболевание прогрессирует:
  1. Формируются пародонтальные карманы (3-5 мм и более)
  2. Появляется подвижность зубов (II-III степени)
  3. Возникает рецессия десны (оголение корней)
Пародонтит на стадии, когда спасти все зубы не удастся
Пародонтит на стадии, когда спасти все зубы не удастся

К моменту, когда появляется болезненность, подвижность зубов или их смещение, требуется уже сложное комплексное лечение, а в запущенных случаях речь идёт вообще о сохранении зубов.

2. Неприятный запах изо рта

Не драматизиуруем, если появился не совсем благоуханный аромат в конце дня, который улетучивается после качественной чистки. А вот если даже после основательных гигиенических процедур вы чувствуете подозрительный запах - это повод насторожиться.

Что может быть причиной:

1. Кариозные поражения
Гнилостный запах часто возникает при скрытом межзубном или пришеечном кариесе. Бактерии в кариозной полости активно размножаются, выделяя летучие сернистые соединения. Особенно опасны полости под десной или между зубами, которые невозможно качественно очистить в домашних условиях.

Кариес на контакте был незаметен пациенту
Кариес на контакте был незаметен пациенту

2. Хроническое воспаление дёсен
Здесь мы возвращаемся к теме гингивита и пародонтита, о которых рассказал в первой части.

3. Проблемы с пломбами и ортопедическими конструкциями: коронками, вкладками, мостами. Особого внимания требуют случаи, когда неприятный запах появляется после протезирования:

-3
  • Плохое прилегание коронки создаёт карман, где скапливаются бактерии и остатки пищи
  • Под коронкой может развиваться вторичный кариес
  • Нависающие края пломб вызывают хроническое воспаление десны

4. Периимплантит
Появление стойкого неприятного запаха – возможный признак воспаления тканей вокруг импланта. Это может быть связано со слабой гигиеной или атрофией десны. О важности здоровой полноценной десны при имплантации рассказал в этой статье.

3. Эмаль меняет цвет

Когда на поверхности зуба появляются неестественные пятна или он внезапно меняет оттенок – это не просто косметический дефект, а сигнал о происходящих патологических процессах. Умение правильно "читать" эти изменения позволяет вовремя принять меры и сохранить зуб.

Белые меловидные пятна

Эти матовые участки на эмали. представляют собой зону деминерализации – самую раннюю стадию кариеса. Именно на этом этапе болезнь можно остановить без сверления и пломбирования. Современная стоматология предлагает эффективные методы: реминерализующая терапия, метод Icon, глубокое фторирование. При своевременном обращении такие процедуры позволяют полностью восстановить структуру эмали в 80-90% случаев.

Результат лечения кариеса в стадии пятна методикой Icon
Результат лечения кариеса в стадии пятна методикой Icon

Тёмные пятна

Коричневые или чёрные участки свидетельствуют о среднем или глубоком кариесе, который требует классического лечения с препарированием.

-5

Потемнение всего зуба

Может указывать на yекроз пульпы, внтрипульпарное кровоизлияние, травматическое повреждение

-6

В таких случаях промедление с лечением грозит периодонтитом, образованием кисты, удалением.

Часто зубы молчат до тех пор, пока разрушение не станет необратимым. Кровь на щётке? Запах, который не перебить жвачкой? Эмаль, теряющая прозрачность? Это сигналы. Стоматолог нужен не тогда, когда боль заглушает мысли, а когда мозг ещё способен трезво оценить риски.

Давно не проходили диагностику полости рта? Рекомендую посмотреть мои закрепленные статьи
https://dzen.ru/ax_dentist