Добавить в корзинуПозвонить
Найти в Дзене

#онкопревенция

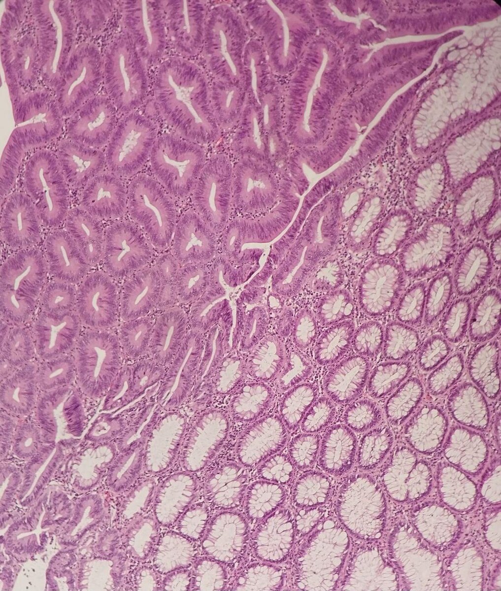
#онкопревенция Вот так выглядит момент ДО диагноза. Коллега, врач-патологоанатом, онкоморфолог, показала фото из лаборатории. На снимке — аденома толстой кишки с дисплазией эпителия тяжелой степени. Проще говоря — клетки уже перестали подчиняться правилам. Еще чуть-чуть — и начнётся рак. 📊 Так выглядит болезнь, которую можно было остановить, если бы вовремя нашли воспаление, скорректировали питание, проверили микробиом, прошли чекап. Онкопроцессы начинаются не внезапно. Они растут годами — на фоне хронических воспалений, гормональных сбоев, дефицитов, нарушений пищеварения. ⚕️ Именно поэтому наш международный проект "Здоровье без химии" запускает интенсив «Онкопревенция. Как защитить себя и своих близких». 👇👇👇

#онкопревенция

Вот так выглядит момент ДО диагноза.

Коллега, врач-патологоанатом, онкоморфолог,

показала фото из лаборатории.

На снимке — аденома толстой кишки с дисплазией эпителия тяжелой степени.

Проще говоря — клетки уже перестали подчиняться правилам.

Еще чуть-чуть — и начнётся рак.

📊 Так выглядит болезнь, которую можно было остановить, если бы вовремя нашли воспаление, скорректировали питание, проверили микробиом, прошли чекап.

Онкопроцессы начинаются не внезапно.

Они растут годами — на фоне хронических воспалений,

гормональных сбоев, дефицитов, нарушений пищеварения.

⚕️ Именно поэтому наш международный проект "Здоровье без химии" запускает интенсив

«Онкопревенция. Как защитить себя и своих близких».

👇👇👇